Добавить в корзинуПозвонить
Найти в Дзене

История спасения младенца: упал, очнулся — порок головного мозга

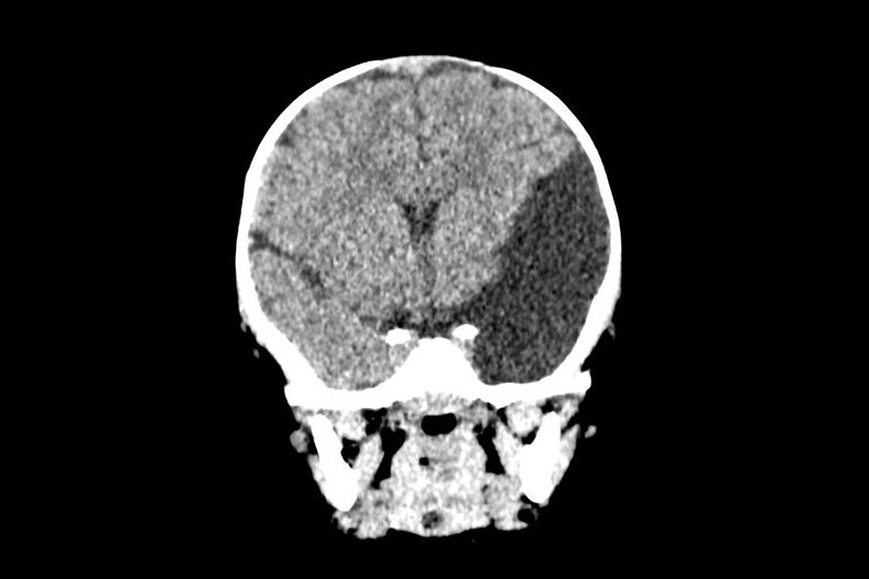
Ребенок 6 месяцев получил травму головы в результате падения со стула для кормления. Малыш чувствовал себя крайне плохо. Диагностика показала аномалию развития мозга. Читайте нашу статью: мы расскажем, как врачам удалось спасти новорожденного. Маленькие детки очень часто падают, и, да, не всегда эти падения безобидны. Малыши неусидчивые, слишком часто меняют положение тела, ерзают — все это может привести к падению со стула для кормления даже в пристегнутом виде. Неудачное падение героя нашей статьи повлекло за собой длительную головную боль, вялость, тошноту в течение нескольких дней. Родители ребенка обратились в стационар. Младенцу было проведено специализированное обследование — спиральная компьютерная томография головы. По результатам которой докторами был поставлен диагноз «сложный врожденный порок развития головного мозга: Арахноидальная киста левого полушария больших размеров, вызывающая выраженное сдавление височной и лобной долей». Описанное образование головного мозга сопр
Оглавление

Ребенок 6 месяцев получил травму головы в результате падения со стула для кормления. Малыш чувствовал себя крайне плохо. Диагностика показала аномалию развития мозга. Читайте нашу статью: мы расскажем, как врачам удалось спасти новорожденного.

Маленькие детки очень часто падают, и, да, не всегда эти падения безобидны. Малыши неусидчивые, слишком часто меняют положение тела, ерзают — все это может привести к падению со стула для кормления даже в пристегнутом виде.

Неудачное падение героя нашей статьи повлекло за собой длительную головную боль, вялость, тошноту в течение нескольких дней. Родители ребенка обратились в стационар. Младенцу было проведено специализированное обследование — спиральная компьютерная томография головы. По результатам которой докторами был поставлен диагноз «сложный врожденный порок развития головного мозга: Арахноидальная киста левого полушария больших размеров, вызывающая выраженное сдавление височной и лобной долей».

Фото из архива ДГКБ им. З.А. Башляевой
Фото из архива ДГКБ им. З.А. Башляевой

Описанное образование головного мозга сопряжено с высоким риском разрыва стенок кисты и резких ухудшением состояния ребенка, вплоть до неблагоприятного исхода даже при незначительных травмах головы.

Для продолжения специализированного лечения ребенок был переведен в нейрохирургическое отделение ДГКБ им. З.А. Башляевой. После проведения предоперационного диагностического комплекса, включающего электроэнцефалографическое (исследование активности мозга в разных точках головы, невролог по графику определяет расстройства ребенка), кардиологическое, неврологическое, офтальмологическое исследования, маленькому пациенту был определен план нейрохирургического вмешательства.

Решено применить высокотехнологичный малоинвазивный метод вмешательства — нейроэндоскопическую перфорацию (отверстие) стенок кисты с целью сообщения изолированной полости кисты с нормальными ликворными пространствами на основании головного мозга.

Ребенку было наложено микротрефинационное отверстие в костях черепа диаметром 8 мм, через которое в полость кисты был введен нейроэндоскоп. Под контролем интраоперационного нейросонографического мониторинга была проведена перфорация медиальной стенки кисты.

Этап операции. Ревизия полости арахноидальной кисты.

Фото из архива ДГКБ им. З.А. Башляевой
Фото из архива ДГКБ им. З.А. Башляевой

Этап операции. Коагуляции внутренней стенки кисты.

Фото из архива ДГКБ им. З.А. Башляевой
Фото из архива ДГКБ им. З.А. Башляевой

Этап операции. Вскрытие стенки кисты.

Фото из архива ДГКБ им. З.А. Башляевой
Фото из архива ДГКБ им. З.А. Башляевой

Этап операции. Перфорация кисты.

Фото из архива ДГКБ им. З.А. Башляевой
Фото из архива ДГКБ им. З.А. Башляевой

Операция прошла без осложнений. Удалось избежать кровотечения, показатели сердечной деятельности были стабильными на протяжении всего хирургического вмешательства. После операции ребенок был переведен к маме в послеоперационную палату. Через 3 часа после наркоза у малыша восстановился аппетит.

Послеоперационный период прошел планово и без осложнений, на 5-е сутки пациент был выписан домой в удовлетворительном состоянии.

Фото из архива ДГКБ им. З.А. Башляевой
Фото из архива ДГКБ им. З.А. Башляевой

При контрольном обследовании через 1 месяц специалистом было установлено, что ребенок активен, патологической неврологической симптоматики нет.

Проведена контрольная томография головного мозга. Арахноидальная киста сократилась в 2 раза, головной мозг хорошо расправляется.

Предполагается дальнейшее наблюдение в ДГКБ им. З.А. Башляевой за ребенком в течение 3 лет после операции.

Дорогие родители, не ждите, если ваш ребенок упал со стульчика. Своевременное обращение к специалисту часто помогает спасти жизнь или избежать серьезных последствий. Не пускайте ситуацию на самотек.

Статья носит информационный характер. Имеются противопоказания, необходима консультация специалиста.

#здоровье #здоровье ребенка #лечение ребенка #операция ребенку