Добавить в корзинуПозвонить
Найти в Дзене

Что такое аневризма почечной артерии

Аневризма почечной артерии — это чрезвычайно редкая жизнеугрожающая патология, которую довольно сложно диагностировать в силу отсутствия ярко выраженной симптоматики. Нередко о патологическом выпячивании сосуда становится известно после разрыва аневризмы почечной артерии, что часто ведет к смерти. Пациентам из группы риска приходится тщательно прислушиваться к любым изменениям в состоянии здоровья, чтобы вовремя обратиться за медицинской помощью. Причины аневризмы аорты почечной артерии Нарушения структуры сосудов наблюдаются у пациентов преклонного возраста, у курящих, употребляющих алкоголь, у людей с лишним весом. У больных сахарным диабетом отмечаются метаболические нарушения, что также сказывается на целостности сосудистой стенки. Аневризмы обычно растут медленно. В частности, кальцинированная аневризма почечной артерии развивается медленнее, а отсутствие кальцификации ускоряет рост. Стремительное прогрессирование может наблюдаться при гипертонии и беременности, когда сосуды стано
Оглавление

Аневризма почечной артерии — это чрезвычайно редкая жизнеугрожающая патология, которую довольно сложно диагностировать в силу отсутствия ярко выраженной симптоматики. Нередко о патологическом выпячивании сосуда становится известно после разрыва аневризмы почечной артерии, что часто ведет к смерти. Пациентам из группы риска приходится тщательно прислушиваться к любым изменениям в состоянии здоровья, чтобы вовремя обратиться за медицинской помощью.

Причины аневризмы аорты почечной артерии

Нарушения структуры сосудов наблюдаются у пациентов преклонного возраста, у курящих, употребляющих алкоголь, у людей с лишним весом. У больных сахарным диабетом отмечаются метаболические нарушения, что также сказывается на целостности сосудистой стенки. Аневризмы обычно растут медленно. В частности, кальцинированная аневризма почечной артерии развивается медленнее, а отсутствие кальцификации ускоряет рост. Стремительное прогрессирование может наблюдаться при гипертонии и беременности, когда сосуды становятся менее эластичными.

Причины:

  • Врожденные генетические заболевания соединительной ткани.
  • Инфекции.
  • Атеросклероз.
  • Травмы.
  • Артериит.
  • Медицинские манипуляции, к примеру, установка катетера.

Смерть от разрыва аневризмы почечной артерии может наступить после травм в области выпячивания, после интенсивной физической нагрузки, во время эндовазальной операции или ангиографии.

Симптомы аневризмы почечной артерии

Патология может никак себя не проявлять, выпячивание стенок артерии обычно обнаруживают при проведении ультразвукового исследования почек или системы кровообращения. Аневризма правой или левой почечной артерии может вызывать различные симптомы:

  • Боль и тянущие ощущения в пояснице.
  • Головные боли на фоне повышения АД.
  • Вазоренальная гипертензия — тяжелый вид АГ, развивающейся при данной патологии.
  • Дисфункция мочевыделительной системы.
  • Признаки интоксикации.

При разрыве часто появляется кровь в моче, может наступить геморрагический шок, затем кома и смерть.

Осложнения:

  • Микроскопические разрывы, гематомы, нагноение жировой ткани.
  • Тромбоз и инфаркт почки.
  • Некроз, сопровождающийся сильными болями в паху, животе, бедрах. При массивных очагах показано удаление почки.
  • Присоединение инфекции.
  • Сдавливание органов мочевыделительной системы, застойные явления.
  • Внутреннее кровотечение, на которое указывают режущие боли, учащение пульса, снижение давления.
  • Почечная недостаточность.
  • Сепсис.

При наступлении некроза и шокового состояния прогноз резко ухудшается. Пациенту требуется срочная медицинская помощь. Выживаемость после тяжелых осложнений составляет 30%.

Классификация

Аневризмы различаются по размерам, локализации, структурным особенностям:

  • Истинные. Выпячиванию подвержены все слои сосуда. Такие аневризмы образуются при генетических патологиях, сердечно-сосудистых и иных приобретенных заболеваниях.
  • Ложные. Затронут только внутренний слой, а мышечный остается неповрежденным. Аневризмы образуются после медицинских манипуляций, травм, ножевых и огнестрельных ранений.
  • Мешотчатая аневризма почечной артерии. Образование в виде мешка. Сам сосуд выглядит нормальным, но на определенном участке образуется мешочек, напоминающий шарик.
  • Веретенообразные (веретеновидные). Аневризма в стволе артерии, равномерное растяжение сосуда на всем поврежденном участке.
  • Внепочечные.
  • Внутрипочечные.
  • Большого диаметра (более 20 мм) и малого размера.
  • Быстро растущие (более 5 мм в год) или медленно прогрессирующие.

Для постановки точного и своевременного диагноза важно проходить плановое ежегодное обследование, если вы относитесь к группе риска. При наличии тревожных признаков необходимо обращаться к специалисту, который назначит обследование.

Диагностика

В начале заболевания анализы и физикальное обследование не дают исчерпывающей информации, но в ряде случаев позволяют заподозрить патологию и направить пациента на более подробное исследование.

-2

Методы диагностики:

  • Пальпация, измерение АД, пульса, осмотр языка, аускультация (обнаружение систолических шумов).
  • Анализ крови на калий, мочевину и креатинин.
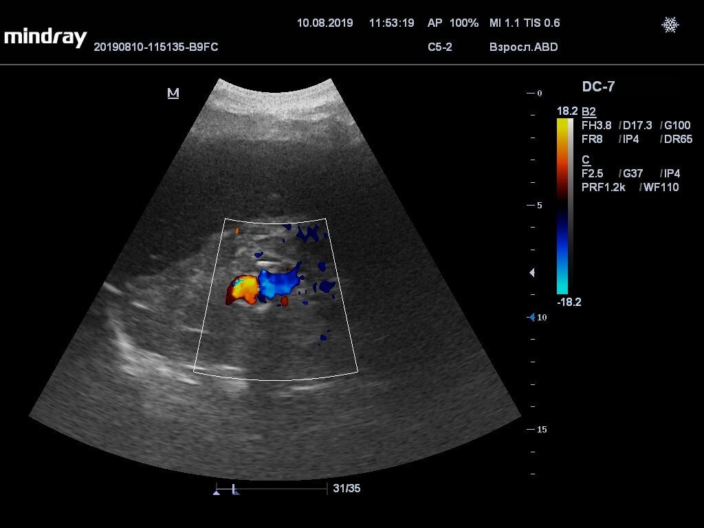
  • УЗИ артерий, ультразвуковое исследование с эффектом Доплера.
  • МСКТ с контрастом.
  • МРТ, если при аневризме почечной артерии КТ с контрастированием противопоказано.
  • Ангиографии: инвазивная процедура под контролем рентгенографии.

При обнаружении аневризм целью является профилактика разрыва, коррекция артериального давления, предупреждение эмболии тромбом.

Лечение аневризмы почечной артерии

При аневризме почечной артерии операция проводится в том случае, если образование достигло больших размеров (более 15-20 мм), обнаружены тяжелые формы АГ или планируется зачатие.

При аневризме назначают открытые или эндоваскулярные (внутрисосудистые) хирургические вмешательства. Возможно проведение протезирования, имплантации стента при аневризме ствола, эмболизации полости при мешковидной аневризме. Если реконструктивные операции малоэффективны, поврежденную артерию выключают из кровотока, создавая обходные пути для движения крови. Такие операции все чаще проводят с помощью эндоваскулярных методик. Открытые операции назначают при невозможности использования малотравматичных методов. Если не удается сохранить функцию почки после разрыва аневризмы, орган удаляют.

При своевременно выявленной патологии прогноз благоприятный. Удается сохранить 85-90% прооперированных почек. В дальнейшем важно избежать рецидива: усилия врачей направлены на лечение заболевания, послужившего толчком к образованию аневризм.

Пройти обследование, получить персональные рекомендации и лечение жители Москвы и Московской области могут в Чеховском сосудистом центре. У нас оперируют опытные сосудистые хирурги, выполняющие операции с ювелирной точностью. Запишитесь на диагностику и пройдите обследование без очередей.