Добавить в корзинуПозвонить
Найти в Дзене

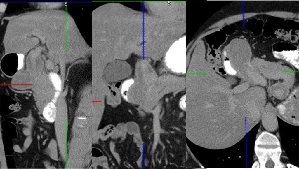
Что такое аневризма печеночной артерии

Аневризма печеночной артерии — это редкая, но очень опасная патология. Представляет собой патологическое выпячивание стенки сосуда. Аневризмы могут быть внутрипеченочными и внепеченочными. Сложность обнаружения заключается в том, что многие пациенты не предъявляют никаких жалоб вплоть до разрыва аневризмы печеночной артерии. При прорыве и кровоизлиянии пациенту требуется срочная медицинская помощь, поскольку риск смертельного исхода составляет 75%. Симптомы аневризмы печеночной артерии Неосложненные аневризмы не вызывают четкой клинической картины. 65% заболевших не предъявляют жалоб. Остальные 35% пациентов могут замечать: Выраженные симптомы аневризмы наблюдаются при тромбозе и разрыве. Но еще до наступления кризиса пациент может длительное время замечать боли в животе, которые отмечаются на протяжении 4-6 месяцев до разрыва. Тем не менее в большинстве случаев признаков нет, а обнаруживают аневризму при проведении инструментальной диагностики, назначенной по другой причине. Причины П
Оглавление

Аневризма печеночной артерии — это редкая, но очень опасная патология. Представляет собой патологическое выпячивание стенки сосуда. Аневризмы могут быть внутрипеченочными и внепеченочными. Сложность обнаружения заключается в том, что многие пациенты не предъявляют никаких жалоб вплоть до разрыва аневризмы печеночной артерии. При прорыве и кровоизлиянии пациенту требуется срочная медицинская помощь, поскольку риск смертельного исхода составляет 75%.

Симптомы аневризмы печеночной артерии

Неосложненные аневризмы не вызывают четкой клинической картины. 65% заболевших не предъявляют жалоб. Остальные 35% пациентов могут замечать:

  • Желтушность кожных покровов.
  • Признаки желудочно-кишечного кровотечения: боли в области правого ребра.
  • Симптомы воспаления желчных протоков: лихорадку, озноб, проливной пот, рвоту с примесью желчи, колики, кожный зуд.
  • Боль в животе.
  • Пульсации в животе.

Выраженные симптомы аневризмы наблюдаются при тромбозе и разрыве. Но еще до наступления кризиса пациент может длительное время замечать боли в животе, которые отмечаются на протяжении 4-6 месяцев до разрыва. Тем не менее в большинстве случаев признаков нет, а обнаруживают аневризму при проведении инструментальной диагностики, назначенной по другой причине.

Причины

Причинами аневризмы печеночной артерии могут выступать как невоспалительные, так и различные воспалительные заболевания. В ряде случаев аневризмы могут быть врожденными.

Основные причины:

  • Травма печени.
  • Воспаление желчных протоков.
  • Желчекаменная болезнь.
  • Бактериальные заболевания оболочек сердца.
  • Отложение солей кальция.
  • Атеросклероз.
  • Микроаневризмы мелких и средних сосудов.
  • Системные воспалительные заболевания.
  • Хирургическое вмешательство на желчекаменных путях, инвазивные исследования: биопсия, рентген с контрастом.

Травматичные аневризмы могут долгое время не проявлять себя. Ошибочно полагать, что симптомы появятся сразу после ДТП или удара в живот: до начала развития патологии может пройти значительное время.

Диагностика при аневризме печеночной артерии

В отсутствие жалоб аневризмы обнаруживают случайно при проведении УЗИ брюшной полости. Проходить плановые обследования для контроля состояния здоровья следует пациентам с сердечно-сосудистыми заболеваниями (в особенности с эндокардитом), болезнями ЖКТ и травмами живота в анамнезе после драк, падений, аварий.

-2

При подозрении на аневризму врач:

  • Проводит пальпацию: на аневризму может указывать пульсирующее образование.
  • Слушает живот на обнаружение систолических шумов.
  • Назначает УЗИ, дуплексное сканирование сосудов, ангиографию, КТ или МРТ с контрастом.

Аневризмы следует дифференцировать от кист поджелудочной железы, опухолей, язвы желудка, кровотечений при гипертензии. Инструментальная диагностика — основной помощник при постановке диагноза. В лабораторных анализах может не быть никаких изменений.

Осложнения и прогнозы

Аневризма печеночной артерии при больших размерах или истончении стенки чревата прорывом. Пациент ощущает тошноту, появляется кровавая рвота, черный стул, учащается сердцебиение.

Осложнения аневризмы: истечение крови в желчные пути, желудочно-кишечный тракт, брюшную полость. Спасти пациента с разорвавшимся сосудом чрезвычайно трудно, поэтому целесообразно предотвращать угрожающие жизни состояния.

Лечение аневризмы печеночной артерии

Пациентам с этой патологией требуется помощь сосудистого хирурга. Другими методами аневризмы не лечат. Метод выбирают в зависимости от расположения и размера аневризмы. Распространенный метод лечения — эмболизация артерии под контролем ангиографии. Это эндоваскулярный малотравматичный метод для лечения внутрипеченочных аневризм. При поражении общей артерии применяется открытая операция.

Аневризма в подавляющем большинстве случае протекает латентно. Такая простая и доступная процедура как ультразвук позволяет выявить патологию, дальнейшее зависит от квалификации сосудистого хирурга. В Чеховском сосудистом центре Московской области работают опытные врачи, спасшие не одну жизнь. Запишитесь к нам на диагностику, чтобы вовремя узнать о своем состоянии здоровья и возможностях лечения патологий.