Добавить в корзинуПозвонить
Найти в Дзене

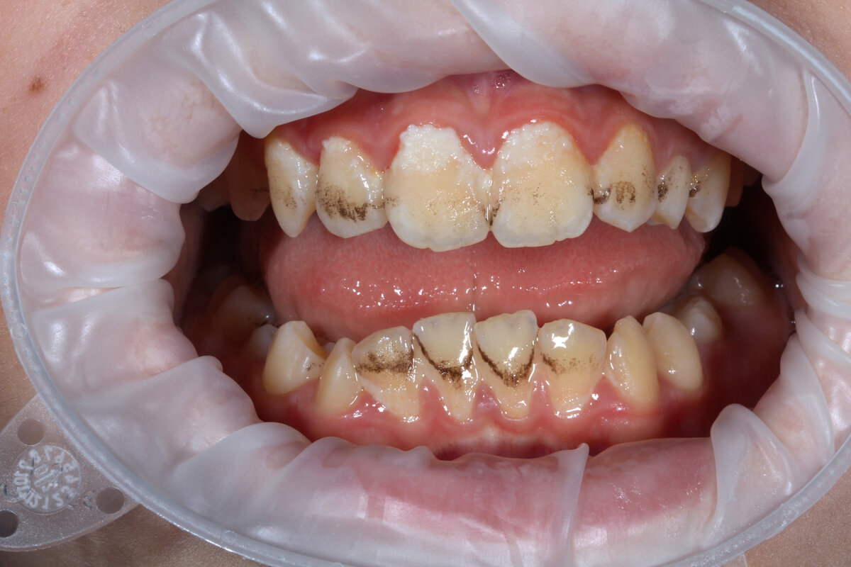
Почему почернели зубы

Не стоит думать, что почернение зуба – это всего лишь эстетическая проблема, которая делает улыбку менее привлекательной. На самом деле, потемнение зуба или нескольких может свидетельствовать о наличии не только кариеса, но и более сложных заболеваний зубов. От чего это происходит Естественный оттенок зубов зависит вовсе не от качества и цвета эмали. На самом деле зуб приобретает свой оттенок благодаря цвету дентина, который просвечивается через прозрачность эмали. И чем светлее дентин, тем светлее и улыбка в целом. Процесс приобретения #почернения зубов, как правило, происходит постепенно, иногда практически не заметно. При обнаружении темных #пятен или точек на зубе, следует пересмотреть качество гигиены полости рта. Возможно, неправильно подобранная #зубная паста, щетка или другие аксессуары, а также некачественный процесс чистки зубов стали причиной появления такого дефекта. Также следует брать во внимание, что иногда зубы темнеют после употребления в пищу красящих продуктов. Но су
Оглавление

Не стоит думать, что почернение зуба – это всего лишь эстетическая проблема, которая делает улыбку менее привлекательной. На самом деле, потемнение зуба или нескольких может свидетельствовать о наличии не только кариеса, но и более сложных заболеваний зубов.

От чего это происходит

Естественный оттенок зубов зависит вовсе не от качества и цвета эмали. На самом деле зуб приобретает свой оттенок благодаря цвету дентина, который просвечивается через прозрачность эмали. И чем светлее дентин, тем светлее и улыбка в целом. Процесс приобретения #почернения зубов, как правило, происходит постепенно, иногда практически не заметно.

При обнаружении темных #пятен или точек на зубе, следует пересмотреть качество гигиены полости рта. Возможно, неправильно подобранная #зубная паста, щетка или другие аксессуары, а также некачественный процесс чистки зубов стали причиной появления такого дефекта. Также следует брать во внимание, что иногда зубы темнеют после употребления в пищу красящих продуктов.

Но существует ряд других причин и факторов, которые вызывают почернение зуба или нескольких зубных единиц:
  • Травма. Если из-за травмирования была задета пульпа, ее сосуды могут быть повреждены и вызвать эффект, подобный синяку на коже.
  • Часто #темнеют зубы, в которых ранее были #удалены нервы . Такой эффект может возникнуть из-за того, что не были до конца удалены пораженные ткани или для пломбирования использовались материалы, которые имеют некоторые компоненты в составе, способные вызвать изменение окраски твёрдых тканей зуба. Как правило, это несовременные материалы для пломбирования корневых каналов
  • Черные пятна на поверхности зубов могут свидетельствовать о #возникшем кариозном поражении.

Врач вернет здоровый цвет зубов

Не важно, какой фактор привел к потемнению зубов, стоматолог поможет восстановить его цвет и вернуть красоту #улыбки . Способ лечения зависит от того, из-за чего возникла проблема:

  • Если причиной стала травма, врач удалит поврежденные ткани и запломбирует зубные каналы.
  • Если потемнении зубов возникло из-за некачественной #гигиены или неправильного подбора средств для чистки зубов, лечащий врач сможет проконсультировать и дать рекомендации по выбору зубной пасты, щетки, ополаскивателей.
Процедура чистки Air Flow
Процедура чистки Air Flow
  • Кариес также #удаляется стоматологическим путем, затем восстанавливаются поврежденные ткани.
  • Устранить потемнение зубов из-за курения, употребления красящих напитков или продуктов поможет профессиональное или домашнее #отбеливание , в зависимости от того, насколько потемнели зубы.
-4
Стоматолог поможет вернуть улыбке здоровый привлекательный вид и оттенок.
-5

Мы желаем вам крепкого здоровья и красивых улыбок!

Еще больше интересной и полезной информации на нашем канале в Телеграм