Найти в Дзене

«Модель мира, созданная мозгом»

Давайте подумаем... о моделях «реальности». Наш мозг воссоздаёт окружающий / нематериальный миры как единые модели, на основе наших априорных знаний и сигналов, поступающих от органов чувств. И речь идёт не только о наших собственных мирах — «воображаемом» или «реальном». Многое из того, что мы знаем о внутреннем мире других людей, мы узнаём из наблюдений за тем, как они взаимодействуют с окружающей средой, и исходя из наших собственных убеждений. Глядя на то, как движется тот или иной объект, мы уже можем сказать, существо это или предмет, а в некоторых случаях, характеристика будет даже подробнее. Если на человеке разместить датчики IMU (миниатюрные датчики, которые называются «инерционными измерительными устройствами», от англ. «Inertial Measurement Unit»), и сказать выполнить пару движений, полученные данные беспроводным путём попадут на компьютер, по которым, скорее всего, мы сможем сказать, мужчина это или женщина, а так же уточнить, что конкретно этот человек делает (если мы, ес
Оглавление

Давайте подумаем... о моделях «реальности».

  • Прошу читать статью внимательно. Ведь даже мне стоит постараться, чтобы ничего не упустить.

Наш мозг воссоздаёт окружающий / нематериальный миры как единые модели, на основе наших априорных знаний и сигналов, поступающих от органов чувств. И речь идёт не только о наших собственных мирах — «воображаемом» или «реальном». Многое из того, что мы знаем о внутреннем мире других людей, мы узнаём из наблюдений за тем, как они взаимодействуют с окружающей средой, и исходя из наших собственных убеждений. Глядя на то, как движется тот или иной объект, мы уже можем сказать, существо это или предмет, а в некоторых случаях, характеристика будет даже подробнее. Если на человеке разместить датчики IMU (миниатюрные датчики, которые называются «инерционными измерительными устройствами», от англ. «Inertial Measurement Unit»), и сказать выполнить пару движений, полученные данные беспроводным путём попадут на компьютер, по которым, скорее всего, мы сможем сказать, мужчина это или женщина, а так же уточнить, что конкретно этот человек делает (если мы, естественно, изначально этого не знаем).

Один из демонстрационных примеров, представленных на сайте https://journals.plos.org/plosone/article?id=10.1371/journal.pone.0253157 ; статья, написанная там взята с сайта http://www.biomotionlab.ca/projects.php. (ВНИМАНИЕ: сайты на английском!)
Один из демонстрационных примеров, представленных на сайте https://journals.plos.org/plosone/article?id=10.1371/journal.pone.0253157 ; статья, написанная там взята с сайта http://www.biomotionlab.ca/projects.php. (ВНИМАНИЕ: сайты на английском!)

Вы можете согласиться, что куда интереснее наблюдать за цельной движущейся человеческой фигурой, чем за хаотичным движением светящихся точек, размещённых случайным образом. Ведь эти точки непредсказуемы, но и информации от них, в таком случае, будет больше. Мы постоянно, может неосознанно, анализируем действия других людей и тем самым пытаемся предсказать, что они будут делать дальше. Когда Вы идёте по улице, от Вас требуется предсказать, в какую сторону отклонится идущий навстречу человек, чтобы с ним разойтись.

Особенное внимание уделяется глазам. По их положению, мы можем понять, куда человек смотрит, чего сейчас хочет, что его интересует. Если Вы заметите, как человек заинтересованно смотрит куда-то вдаль, с большой долей вероятности, Вы тоже захотите посмотреть в ту же сторону. Глаза — откровенная часть, которая открывает доступ к пониманию эмоций других людей. Когда мы видим улыбающееся лицо, нам становится веселее. Если мы увидим лицо, наполненное грустью, нам тоже станет грустно. Мы способны «разделять» собственные чувства с людьми так же, как они могут разделять свои с нами. Но как?

В одном исследовании функциональной магнитно-резонансной томографии (фМРТ) измерялась активность мозга во время переживания болезненных ощущений или во время наблюдения за кем-то другим, получающим те же самые болезненные ощущения. Когда мы видим человека, которому больно, у нас в мозге активируются те же определённые участки и те же нейроны, что активируются, когда мы сами испытываем боль. Наша способность сопереживания основана на умении разделять свои и чужие чувства.

«Эмпатия — это осознанное сопереживание эмоциональному состоянию других людей, способность распознать, что они чувствуют, и выразить сострадание. Она осуществляется, в том числе при помощи зеркальных нейронов, которые находятся в коре головного мозга и позволяют отражать чувства и эмоции других живых существ».

Некоторые участки мозга, связанные с физическими сторонами боли (задняя часть гипоталамуса, к примеру) не активируются в ответ на чужую боль, которую мы сами не испытываем. Психическое ощущение боли связано с активностью передней части поясной извилины коры головного мозга. И эта же зона связана с физической болью, которую мы могли бы испытывать. То есть и при физической и при психической болях, которые испытываем мы сами, активируются одни и те же участки мозга.

  • «Но данный механизм сопереживания чужим страданиям срабатывает только при наличии движения. К примеру, реакция зеркальных нейронов на картину, где изображена сцена насилия, будет весьма слабой.» — Джа́комо Риццола́тти, итальянский нейробиолог.
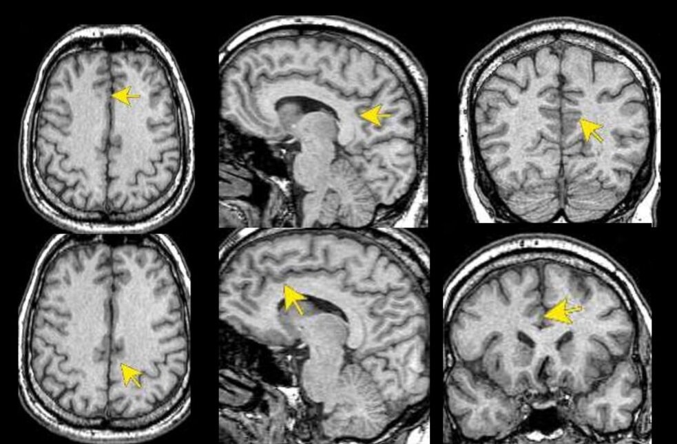
Часть головного мозга, расположенная в медиобазальной части коры больших полушарий, непосредственно над мозолистым телом, является частью поясной коры — поясная извилина.
Часть головного мозга, расположенная в медиобазальной части коры больших полушарий, непосредственно над мозолистым телом, является частью поясной коры — поясная извилина.

Так что там с моделями?

Наша картина материального и внутренних миров по некоторым представлениям является своего рода ограниченной фантазией. Мы не можем читать мысли других людей. Однако мы способны закончить чужую мысль, предположив, что рассказчик хочет нам сказать. Даже просто посмотрев на человека, мы уже, в некоторых случаях, можем понять, чего тот желает и на основе этого мы генерируем... мозг генерирует какие-либо предсказания. Например, мы видим, как прохожий куда-то спешит. Мы не знаем куда именно, но мы можем выдвинуть гипотезу, предположив, что тот спешит на работу. В том случае, если сейчас раннее утро, данное предположение с большей долью вероятности будет верно, и мы с большей долью вероятности именно так и подумаем. Если же сейчас вечер, мысль о спешке на работу придёт к нам не в первую очередь. Предиктивная (предсказательная) обработка позволяет мозгу использовать то, что он знает о мире априори (будни-утро — работа, выходные-вечер — перед теликом на диване, (предрассудок)), чтобы делать умозаключения или генерировать гипотезы о причинах поступающей сенсорной информации (глупый пример, зато доступный). Причём, в каких-то моментах, мы воспринимаем сами гипотезы, а не данные от сенсоров.

  • Чем туманнее входные данные, тем больше мозг полагается на предварительные знания. (Мы не знаем куда следует прохожий, зато у нас есть знания априори, на которые мы можем полагаться).

Сознания людей связаны тонкой нитью, которую трудно разглядеть, зато мы обладаем безграничным потенциалом в области фантазий, мы способны эту нить представить и сделать её прочнее.

  • Мозг создал модели на основе наших знаний о мире, которые мы получили, благодаря выстраиванию моделей этого же мира. (Парадокс).
Без комментариев.
Без комментариев.

А можно проще?

Первоначально мозг хочет себя обезопасить. Находиться в той обстановке, которую он знает и может легко предсказать. Мы изучаем мир, делая на основе проб и ошибок какие-либо выводы. Получив необходимые знания (при рождении в нас уже встроены некоторые знания априори), на их основе мозг создаст модель мира. Эта модель требует предсказуемости и чёткости. Ведь только так мозг будет чувствовать себя в безопасности. Чтобы добиться предсказуемости, мы должны «методом проб и ошибок» учиться у других людей или набивать шишки сами, то есть получать опыт. Тогда в нас уже заложится определённая «модель» поведения. Мозг выстраивает «иллюзию», что всё у нас под контролем. А этого он добивается путём как раз таки предсказаний. Мы способны взаимодействовать друг с другом на более глобальном уровне, с лёгкостью понимая, что в голове у другого человека, соотнося его поведение и социальные факторы с нашими ожиданиями и установками.

  • На этом мой фонтан красноречия истощился. До скорого.
Художник — UNIVEX, фон взят с открытых источников интернета.
Художник — UNIVEX, фон взят с открытых источников интернета.

Тема: #рассуждения_о_людях ; #мозг ; #теории / #гипотезы ; #психология ; #философия ; #нейрофизиология ; #нейробиология ; #наука ; #саморазвитие.

Примечание:

  • Некоторая информация взята с сайта — https://habr.com/ru/company/skillfactory/blog/590065/.
  • Рекомендую обратиться к книге Криса Фрита — «МОЗГ и ДУША...».
  • В книге «Бог как иллюзия», Ричард Докинз тоже упомянул модели мозга в последней главе, в разделе "Всем паранджам паранджа", стр. 494 и далее.

«Редакция»:

  • UNIVEX

Искренне просим вести себя вежливо и уважительно с каждым. Спасибо.