Найти в Дзене
MedikaStom _

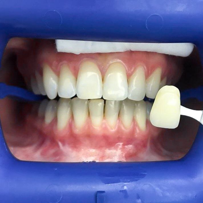
ДО/ПОСЛЕ! Отбеливание Amazing White.

Мы предоставляем полный комплекс услуг в сфере профессионального отбеливания зубов. В «Медикастом» вы получите профессиональную помощь, которая позволяет каждому пациенту стать обладателем белозубой улыбки 🔝 Врач учтет ваши пожелания и индивидуальные особенности, предложит профессиональную поддержку, которая будет максимально безопасной и эффективной! Отбеливание зубов Amazing White - разновидность профессионального отбеливания при помощи специальной лампы. Широкий ассортимент специальных гелей Amazing White различной концентрации позволяет выбрать в каждом конкретном случае тот, который позволит достичь наилучшего результата. По времени данная процедура может занимать от 30 минут до 1,5 часов. Мы проведем процедуру клинического отбеливания Amazing White всего за 19 900 руб.! Предложение действует до 31 сентября! Как вам результат отбеливания? Напишите в комментариях️. #стоматологиямосква #стоматология #зуб #зубнойврач #зубныеимпланты #зубныепротезы #удалениезуба #стоматолог #протезир

Мы предоставляем полный комплекс услуг в сфере профессионального отбеливания зубов. В «Медикастом» вы получите профессиональную помощь, которая позволяет каждому пациенту стать обладателем белозубой улыбки 🔝

Врач поможет выбрать оптимальный метод отбеливания и, при необходимости, провести санацию полости рта и подготовить вас к данной процедуре.
Врач поможет выбрать оптимальный метод отбеливания и, при необходимости, провести санацию полости рта и подготовить вас к данной процедуре.

Врач учтет ваши пожелания и индивидуальные особенности, предложит профессиональную поддержку, которая будет максимально безопасной и эффективной!

До. Профессиональной помощью при лазерном отбеливании или проведении других процедур следует воспользоваться всем, кто страдает от потемнения эмали.
До. Профессиональной помощью при лазерном отбеливании или проведении других процедур следует воспользоваться всем, кто страдает от потемнения эмали.
После. Профессиональное отбеливание зубов в кабинете стоматолога позволяет добиться потрясающих результатов!
После. Профессиональное отбеливание зубов в кабинете стоматолога позволяет добиться потрясающих результатов!

Отбеливание зубов Amazing White - разновидность профессионального отбеливания при помощи специальной лампы. Широкий ассортимент специальных гелей Amazing White различной концентрации позволяет выбрать в каждом конкретном случае тот, который позволит достичь наилучшего результата. По времени данная процедура может занимать от 30 минут до 1,5 часов.

Мы проведем процедуру клинического отбеливания Amazing White всего за 19 900 руб.! Предложение действует до 31 сентября!

Как вам результат отбеливания? Напишите в комментариях️.

#стоматологиямосква #стоматология #зуб #зубнойврач #зубныеимпланты #зубныепротезы #удалениезуба #стоматолог #протезированиезубов #зубноепротезирование #отбеливаниезубов #отбелитьзубы #amazing #гигиенаполостирта #гигиеназубов