Найти в Дзене

Киста челюсти что делать и как лечить

Киста — это опухолеподобное доброкачественное образование различных размеров и локализации. Кисты, образовывающиеся в челюсти, могут приводить к различным осложнениям вплоть до деформации и разрушения костной ткани. Точная диагностика позволяет вовремя принять решение о методе лечения, тем самым избежав опасных последствий. Как выглядит киста челюсти Образование представляет собой полость, заполненную жидкостью. Жидкое содержимое окружено оболочкой, но в отличие от флюса гной не прорывается наружу, накапливаясь в капсуле и сдавливая соседние ткани. Плотная оболочка не позволяет инфекции пойти дальше по организму. Хотя такие виды образований относятся к доброкачественным, любая киста требует внимания. Формированию кисты предшествует образование гранулемы. В большинстве случаев киста имеет одонтогенную природу – возникает из-за воспалительного процесса после эндодонтического лечения зубов. Неодонтогенная киста формируется в мягких тканях десен, обычно в районе неба или верхнечелюстной па
Оглавление

Киста — это опухолеподобное доброкачественное образование различных размеров и локализации. Кисты, образовывающиеся в челюсти, могут приводить к различным осложнениям вплоть до деформации и разрушения костной ткани. Точная диагностика позволяет вовремя принять решение о методе лечения, тем самым избежав опасных последствий.

Как выглядит киста челюсти

Образование представляет собой полость, заполненную жидкостью. Жидкое содержимое окружено оболочкой, но в отличие от флюса гной не прорывается наружу, накапливаясь в капсуле и сдавливая соседние ткани. Плотная оболочка не позволяет инфекции пойти дальше по организму. Хотя такие виды образований относятся к доброкачественным, любая киста требует внимания. Формированию кисты предшествует образование гранулемы. В большинстве случаев киста имеет одонтогенную природу – возникает из-за воспалительного процесса после эндодонтического лечения зубов. Неодонтогенная киста формируется в мягких тканях десен, обычно в районе неба или верхнечелюстной пазухи.

По классификации различают следующие виды кист:

  • Радикулярные — образовавшиеся в области корня в результате воспалительного процесса. Это самый распространенный вид кист, 95% образований в челюсти именно околокорневые.
  • Кисты прорезывания, ретромолярные — образуются у детей в период роста молочных зубов или у взрослых при росте зубов мудрости. Встречаются крайне редко.
  • Фолликулярные — сформировавшиеся из оболочки вокруг растущего зуба.
  • Десневые — возникшие вследствие воспаления десен.
  • Резидуальные — появившиеся после удаления зуба вследствие присоединения инфекции.

Другие виды кист, такие как травматическая, геморрагическая, аневризмальная, эпидермоидная, дермоидная встречаются редко. Причины их возникновения — травмы, пороки развития, но часто патогенез неизвестен.

Причины образования кист

Существует множество факторов, из-за которых могут появиться кисты. На некоторые факторы риска невозможно повлиять, в том числе на внутриутробные аномалии или наследственность. Однако в большинстве случаев имеют значение поведенческие привычки.

-2

Причины кисты:

  • Запущенный кариес, пульпит и гибель нерва.
  • Травматическое повреждение челюсти.
  • Неверный уход за лункой после удаления зуба.
  • Ошибки при лечении корневых каналов, перфорация зуба.
  • Ослабление иммунной защиты.
  • Ошибки при выборе тактики протезирования.
  • Нарушение роста челюсти.

Симптомы

В самом начале может не наблюдаться никакой симптоматики. Киста настолько мала, что не мешает жеванию и не причиняет дискомфорт. От момента образования опухоли до появления первых признаков может пройти несколько месяцев или лет. По мере прогрессирования пациент отмечают следующие симптомы:

  • Отек, выпячивание десны, асимметрия лица.
  • Пульсация в зубе, вызванная сдавливанием нерва.
  • Распространение боли на всю челюсть и череп.
  • Болезненность при прикосновении и давлении.
  • Затрудненное носовое дыхание.
  • Нагноение, покраснение или обесцвечивание слизистой.
  • Давление в области зуба или корня.
  • Хруст (потрескивание) при надавливании, словно сминают пергамент.
  • Снижение чувствительности губ.
  • Онемение подбородка.
  • Слезоточивость.
  • Шарообразное образование в месте прорезывания (обычно у детей).
  • Припухлость и посинение десны при прорезывании (у взрослых).
  • Повышение температуры.
  • Смещение зубного ряда.

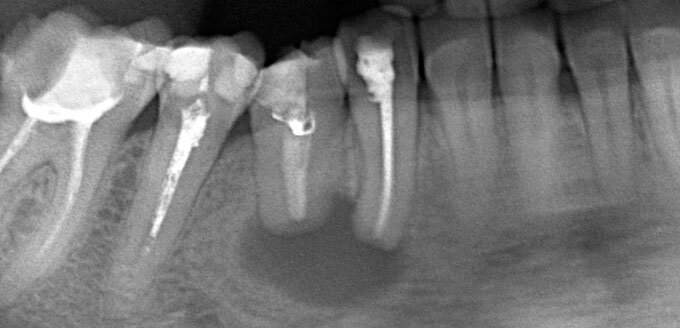
Если нет четкой клинической картины, заподозрить кисты не может не только пациент, но и врач-стоматолог. Обычно кисты замечают при проведении рентгена во время лечения зубов.

Что делать при кисте в челюсти

Киста — это прогрессирующее заболевание, которое не излечивается самостоятельно. Необходимо понимать, что вылечить новообразование противовоспалительными препаратами или травами в домашних условиях невозможно.

-3

На ранних стадиях кисту могут выявить только в ходе рентгенодиагностики во время лечения других заболеваний. К врачу из-за кисты обычно обращаются после появления болезненных симптомов.

После сбора анамнеза врач осматривает зубодесневые карманы, коронки, мосты, пломбы, использует зонд, назначает инструментальную диагностику. Обязательно назначается рентгенография – только этот метод позволяет с точностью оценить новообразование.

В этом случае прицельный снимок редко достаточно информативен, чтобы врач принимал решение о дальнейшей тактике лечения. Ортопантомограмма позволяет оценить состояние всей челюсти и определить патологию в мягких тканях и каналах зубов, гайморовых пазухах. Но лучше всего определить размеры кисты, положение, спрогнозировать развитие и подготовиться к операции помогает компьютерная томография. С помощью КЛКТ врач получает 3D-снимок – детальное послойное трехмерное изображение патологии.

Хотя капсула кисты защищает содержимое полости от попадания в организм, неверные действия могут спровоцировать серьезные осложнения:

  • Удаление зуба, если лечение уже невозможно.
  • Подвижность и выпадение зуба.
  • Воспаление лимфоузлов и распространение воспаления.
  • Сепсис.
  • Остеомиелит, при котором разрушается кость.
  • Разрушение надкостницы.
  • Абсцесс.

Если обнаружена киста верхней челюсти на КТ, то она может служить одной из причин гайморита, поскольку новообразования могут прорастать в околоносовые пазухи. Большие образования на нижней челюсти могут вызывать перелом.

Лечение кисты челюсти

В области верхней челюсти расположены носовые пазухи, поэтому при наличии кисты пациент может испытывать больший дискомфорт с симптомами лор-болезней. Лечение подбирают индивидуально, учитывая тип, размер, расположение новообразования. Стандартный метод — хирургическое удаление с сохранением или извлечением зуба. В стоматологии используют цистотомию и цистэктомию – два типа операций для лечения кисты. Иногда достаточно надреза и удаления содержимого полости. После таких действий киста уменьшается в размерах и может исчезнуть, но гарантировать исключение рецидива не может ни один доктор. Поэтому за образованием необходимо наблюдать. В других случаях новообразование удаляют полностью.

После процедуры требуется периодическое наблюдение для того, чтобы не допустить рецидива. Наиболее информативный метод диагностики – КТ (КЛКТ).

Правильный подход крайне важен при лечении кист. Решение должно приниматься на основании трехмерных снимков: с помощью устаревшего оборудования невозможно получить качественные снимки и рассмотреть опухоли малого размера. Жители Москвы и Московской области могут пройти КЛКТ в современном диагностическом центре 3D MEDICA.