Добавить в корзинуПозвонить
Найти в Дзене

Когда заболеваемость падает, это хорошо?

Последнее время, из года в год, вот уже 20 лет подряд заболеваемость туберкулезом в России падает. И за этот промежуток времени упала уже в 3 раза, что, казалось бы, не может не радовать. Наш министр здравоохранения отметил в своём докладе, что сейчас заболеваемость туберкулезом достигла своего исторического минимума. ВОЗ даже исключила Россию из перечня стран с высоким бременем туберкулеза. Если в проблему взглянуть чуть глубже, то сильно радоваться не стоит, и сейчас расскажу почему.  Как мы определяем, что заболеваемость туберкулезом снизилась?  Все просто - оценивается колличество вновь выявленных случаев туберкулеза среди взрослых и детей.  1. Среди взрослых туберкулез выявляеться методом ежегодной флюорографии. Если оценить кто подходит ежегодно флюорографию, то можно слать вывод, что это работающие граждане, или те, "кого заставили" - кто проходит мед осмотр на оружие, водительские права и пр., редко когда попадаются сознательный неофициально трудоустроенный гражданин, который п

Последнее время, из года в год, вот уже 20 лет подряд заболеваемость туберкулезом в России падает. И за этот промежуток времени упала уже в 3 раза, что, казалось бы, не может не радовать. Наш министр здравоохранения отметил в своём докладе, что сейчас заболеваемость туберкулезом достигла своего исторического минимума.

ВОЗ даже исключила Россию из перечня стран с высоким бременем туберкулеза.

Если в проблему взглянуть чуть глубже, то сильно радоваться не стоит, и сейчас расскажу почему. 

Как мы определяем, что заболеваемость туберкулезом снизилась? 

Все просто - оценивается колличество вновь выявленных случаев туберкулеза среди взрослых и детей. 

1. Среди взрослых туберкулез выявляеться методом ежегодной флюорографии. Если оценить кто подходит ежегодно флюорографию, то можно слать вывод, что это работающие граждане, или те, "кого заставили" - кто проходит мед осмотр на оружие, водительские права и пр., редко когда попадаются сознательный неофициально трудоустроенный гражданин, который пройдёт сам профилактический осмотр.. Таким образом из ежегодного профилактического осмотра на туберкулез чаще всего выпадает именно тот контингент, который ним и болеет - БОМЖИ, потребители наркотиков, зависимые от алкоголя и т.д. Эти люди делают рентгенобследование только когда состояние их здоровья совсем уже не позволяет дома заниматься самолечением, и, зачастую, при таком обращении к врачу выявляються запущенные и распространённые формы туберкулёза с массивным бактериовыделением. Такой человек за день может заразить на порядок больше людей, чем малые формы туберкулёза. Поэтому, проводя профилактические осмотры "одним и тем же" работающим гражданам мы не добьёмся эффективного выявления туберкулёза. Ну а если проблемы не видеть, то её как-бы и нет. И все хорошо. 

2. Выявление туберкулёза у детей- это вообще отдельная тема. До 7л мы выявляем с помощью реакции Манту, после семи лет - Диаскинтест. Так вот, тубинфицирование детей растёт, а заболеваемость падает. О чем это может говорить? Чаще всего о недовыявляемости туберкулёза у детей. Так, например, в одном из Южных регионов КТ органов грудной клетки ребёнку можно сделать только в Республиканской детской больнице, даже частные клиники делать детям КТ не хотят. А установить туберкулез это или инфицированность только по обычному рентгену очень тяжело. 

3. Мы практически перестали выявлять туберкулез иных органов и систем, и не потому что его нет. Одной из причин бесплодия у женщин - это туберкулез женских половых органов. Кто из гинекологов брал последний раз мазок женщине на туберкулёза? А мочу на микобактерии туберкулёза вообще забыли как обследовать, хотя поликистоз почек ставят очень много, но лиффиренцировать этиологию деструктивных образований почек разучились. Спасибо хоть реаниматологам и невропатологам, которые ещё стараются ликвор при менингитах обследовать на туберкулёза.

4. Я более того могу сказать, в современных условиях маршрутизации пациентов, когда за предоставление результата биопсии лимфатического узла у первичного пациента, узкому специалисту в республиканский центр, несёт ответственность первичное звено (ЦРБ, терапевт участковый и т.д), зачастую, это первичное зверь не в состоянии само эту услугу оказать (нет хирурга, который эту биопсию сделает, нет гистолога, который её определит в диагноз), то диагностика таких заболеваний как туберкулёз лимфатических узлов, саркоидоза и пр. становится для регионов нерешаемой проблемой. А слать каждого, кто требует просто диагностики на высокотехнологическую помощь в иной регион - сложно и пациенту туда ещё доехать надо и, возможно, там как-то пожить пару дней. А теперь вспоминаем кто болеет туберкулёзом! Хорошо, если дойдут пару десятков метров до передвижного флюорографа.

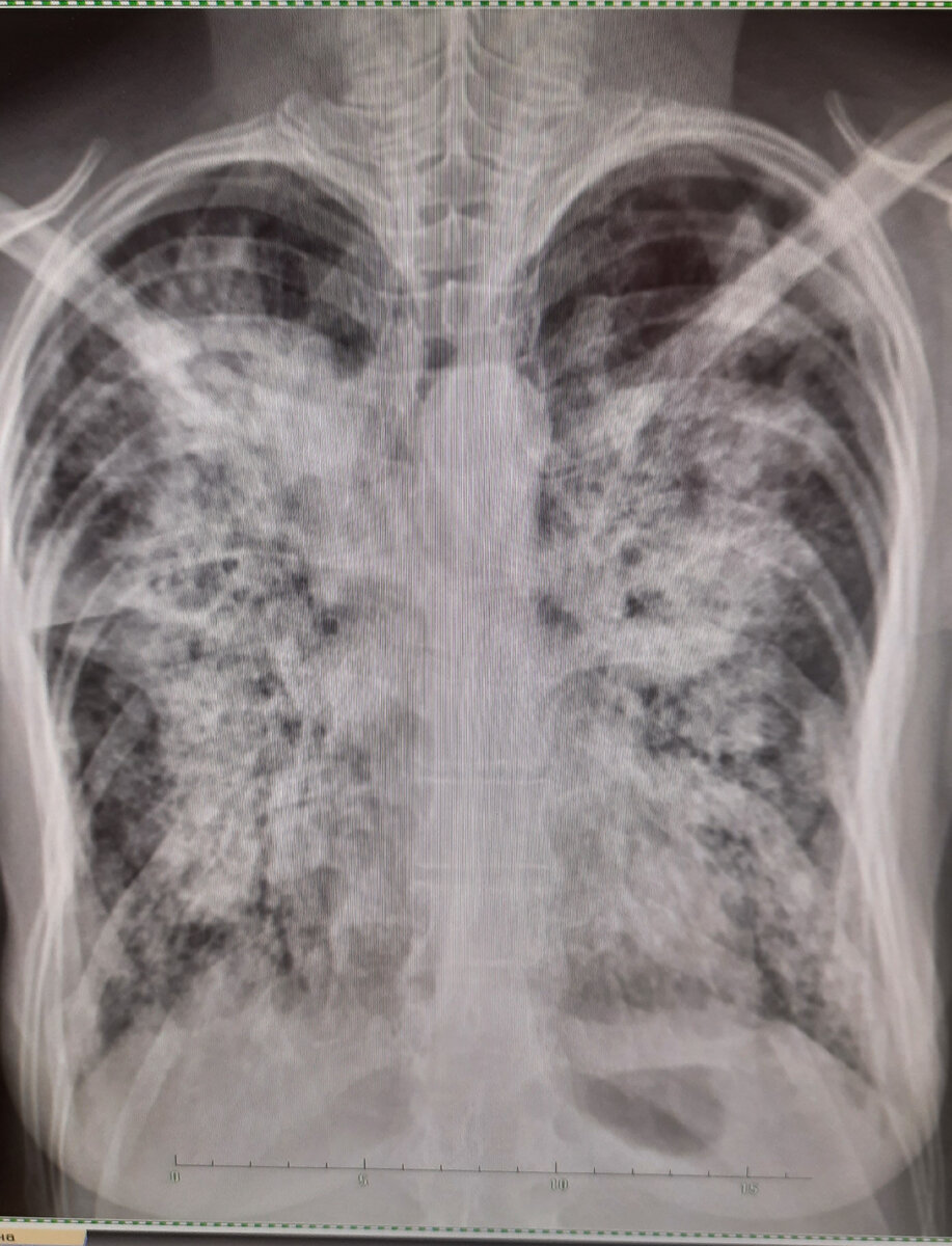
Вот такой запущенный туберкулёза выявлен у человека, который 5 лет не проходил флюорографию..
Вот такой запущенный туберкулёза выявлен у человека, который 5 лет не проходил флюорографию..

Вот вам и причины снижения заболеваемости.

Можно сказать, доктор, вот всех раскритиковала, а что же делать? А вот что:

1. Повышать социальный уровень населения - чем больше доходы у населения, тем меньше они болеют туберкулёзом, это факт.. закон медицины.. 

2. Повышать культуру населения - если человеку со школьной скамьи будут говорить, что курить, употреблять спиртное и наркотики - плохо, а ещё если это будут делать родители, это точно снизит заболеваемость этим недугом.

3. Работа психологов в школе, выявлять группы риска среди детей, работать с неблагополучными семьями. Если ребёнок растёт в семье алкоголиков, задача дать ему понять, что это не есть нормально. 

4. Работа медиков, социальных работников (которых просто нет) с группами риска - потребителями наркотиков, спиртного и пр. Даже если их привлечь просто к мед.осмотру уже можно на ранней стадии это заболевание.

Если хотите больше интересной информации, подписывайтесь на мой канал, ставьте сердечки. Спасибо, что дочитали до конца.