Добавить в корзинуПозвонить
Найти в Дзене
Здравие тела

Аномалия Киммерле или неочевидная причина обмороков и головокружений (личный опыт)

Зачастую у подростков и в более зрелом возрасте наблюдается такая картина: при произведении каких-то действий с поднятыми руками (например, снимании занавесок) понижается тонус мышц, кружится голова или даже происходит потеря сознания. В юности также могут появиться боль в шее, затылке и ирритация мышц лица или даже плеча/рук. Очень часто причиной этого может являться именно аномалия (синдром) Киммерли (Кимерли, Kimmerle). Что это такое, как определить и что делать? Расскажу о личном опыте и научных изысканиях. Итак, аномалия Киммерли - это лишнее костное образования в области задней дуги первого шейного позвонка над позвоночной артерией. Такой костный "мостик" может быть с одной или с обеих сторон, а также полным или неполным. Но что же тут плохого или тем более опасного? Казалось бы, артерия просто лучше "защищена". Однако, помимо очевидной опасности перелома отростка и повреждения артерии есть и другой минус. Дело в том, что при наличии такого окостенения артерия значительно теряет

Зачастую у подростков и в более зрелом возрасте наблюдается такая картина: при произведении каких-то действий с поднятыми руками (например, снимании занавесок) понижается тонус мышц, кружится голова или даже происходит потеря сознания. В юности также могут появиться боль в шее, затылке и ирритация мышц лица или даже плеча/рук.

Очень часто причиной этого может являться именно аномалия (синдром) Киммерли (Кимерли, Kimmerle). Что это такое, как определить и что делать? Расскажу о личном опыте и научных изысканиях.

Итак, аномалия Киммерли - это лишнее костное образования в области задней дуги первого шейного позвонка над позвоночной артерией. Такой костный "мостик" может быть с одной или с обеих сторон, а также полным или неполным.

Но что же тут плохого или тем более опасного? Казалось бы, артерия просто лучше "защищена". Однако, помимо очевидной опасности перелома отростка и повреждения артерии есть и другой минус. Дело в том, что при наличии такого окостенения артерия значительно теряет в мобильности, что может вызвать недостаточность кровообращения.

Именно этим вызвано то, что, например, после большой физической нагрузки, наклоне головы назад, при поднятии чего-либо над головой, просто при повышении давления могут возникнуть боли и дискомфорт в затылочной зоне, а также головокружение, головные боли и обмороки.

Различные подсчеты говорят о том, что эта аномалия встречается у 5 ... 30 процентов людей. Некоторые авторы указывают на 50-80 процентов. В любом случае, бежать делать "рентген" только на основании этих данных точно не стоит (если нет симптоматики). Автор этих строк узнал об этом диагнозе после рентгена в 16 лет после многократной потери сознания и при болях в правой части затылка.

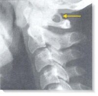
Пример того, как аномалия (синдром) Киммерли выглядит на рентгеновском снимке
Пример того, как аномалия (синдром) Киммерли выглядит на рентгеновском снимке

Итак, что делать тем, у кого есть аномалия (синдром) Киммерли? Для начала - ответить себе на вопрос "а я его чувствую?!" Если нет, то жить как жилось раньше и не забивать себе голову. Единственное - лишний раз не травмировать шею и не рисковать ею. Сюда же входят борцовские мосты, резкие задирания головы и т.п. Это вообще мало кому нужно.

Тем, у кого есть симптомы. Врачи наверняка скажут вам пропить кучу таблеток, посоветуют "так и вот так вот не делать" и в лучшем случае укажут на то, что неплохо бы делать гимнастику для шеи. Дело в том, что современных врачей не учат искать причину недуга, а учат лишь воздействовать на следствие и симптомы, чаще всего - медикаментозно и оперативно (то есть таблетками и через "отрезать-пришить"). Поэтому они часто рассказывают про несоответствие размера артерии тому канальцу, который образовался при появлении костной дужки, про то, что дескать давление там избыточное и много чего еще. При этом они забывают, что само избыточное давление - это симптом, а не болезнь. И что воздействовать на него "специальными таблетками" - всё равно, что выгребать черпаком воду из дырявой лодки. (Операции показаны в самом крайнем случае, когда очень долго и правильно всё делаешь, и ну прям ничего не помогает, а такое бывает крайне редко.)

Поэтому любые медикаментозные назначения не имеют ничего общего с излечением от болей и дискомфорта при синдроме Кимерли. Они могут лишь послужить недолгим облегчением. Основой именно исцеления является только укрепление мышц шеи. За счет этого улучшится состояние всех прилежащих к артерии тканей, что и является устранением причины болей.

В последние годы появился тренд продавать всяческие корсеты для шеи. Их действие закончится через некоторое время после того, как вы их перестанете носить. То есть по сути это те же "таблетки", только костыли.

Помимо упражнений для укрепления шеи необходимо (как минимум, в первые полгода-год) следить за положением головы в повседневной жизни - держать осанку, макушку вытянутой кверху, не наклоняться долго при чтении и залипании в смартфон. Кому-то будет полезным отрегулировать рабочее место и позу во время сна - тут уже зависит от индивидуальных особенностей.

О том, как быстро и безопасно накачать шею - в следующих статьях.

Если у кого-то есть вопросы, буду рад помочь.

#шеяболит #шея #головныеболи #обморок #головокружение