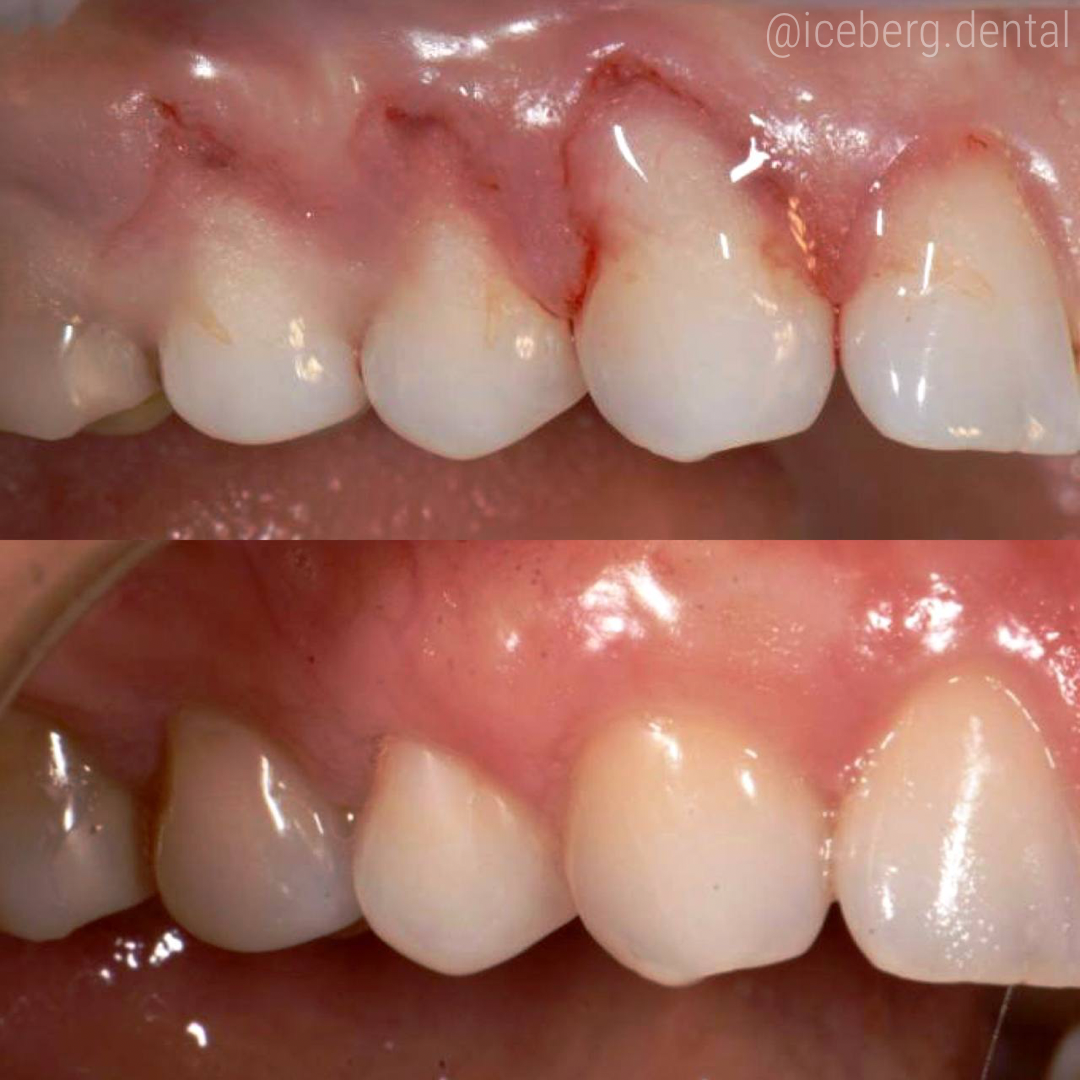
Оголился корень зуба, десна опустилась, что делать?» Рецессия десны - ситуация при которой оголяется шейка зуба и поверхность корня зуба. Наиболее частые причины рецессии десны - агрессивная чистка зубов щеткой и абразивными пастами, - ортодонтическое лечение, - пародонтит, - перегрузка зубов. Поверхность корня стирается в 10 раз быстрее (80 микрон в год), чем эмаль (6 микрон в год) - и через некоторое время на обнаженной поверхности появлятеся углубление, так называемый клиновидный дефект. Основные жалобы при этом: ✔повышенная чувствительность зубов и боль от горячего/холодного/сладкого/кислого. В «черном списке» оказывается все больше и больше продуктов ✔неприятные ощущения или боль при касании, что иногда делает чистку зубов невозможной и еще больше усугубляет чувствительноть и может привести к кариесу корня ✔нарушение эстетики улыбки - зуб выглядит слишком длинным Часто открытые шейки предлагают реставрировать. Однако многие знают на своем опыте, что эти пломбы час
