Найти в Дзене

Пришеечный кариес «бьет» по самым слабым местам

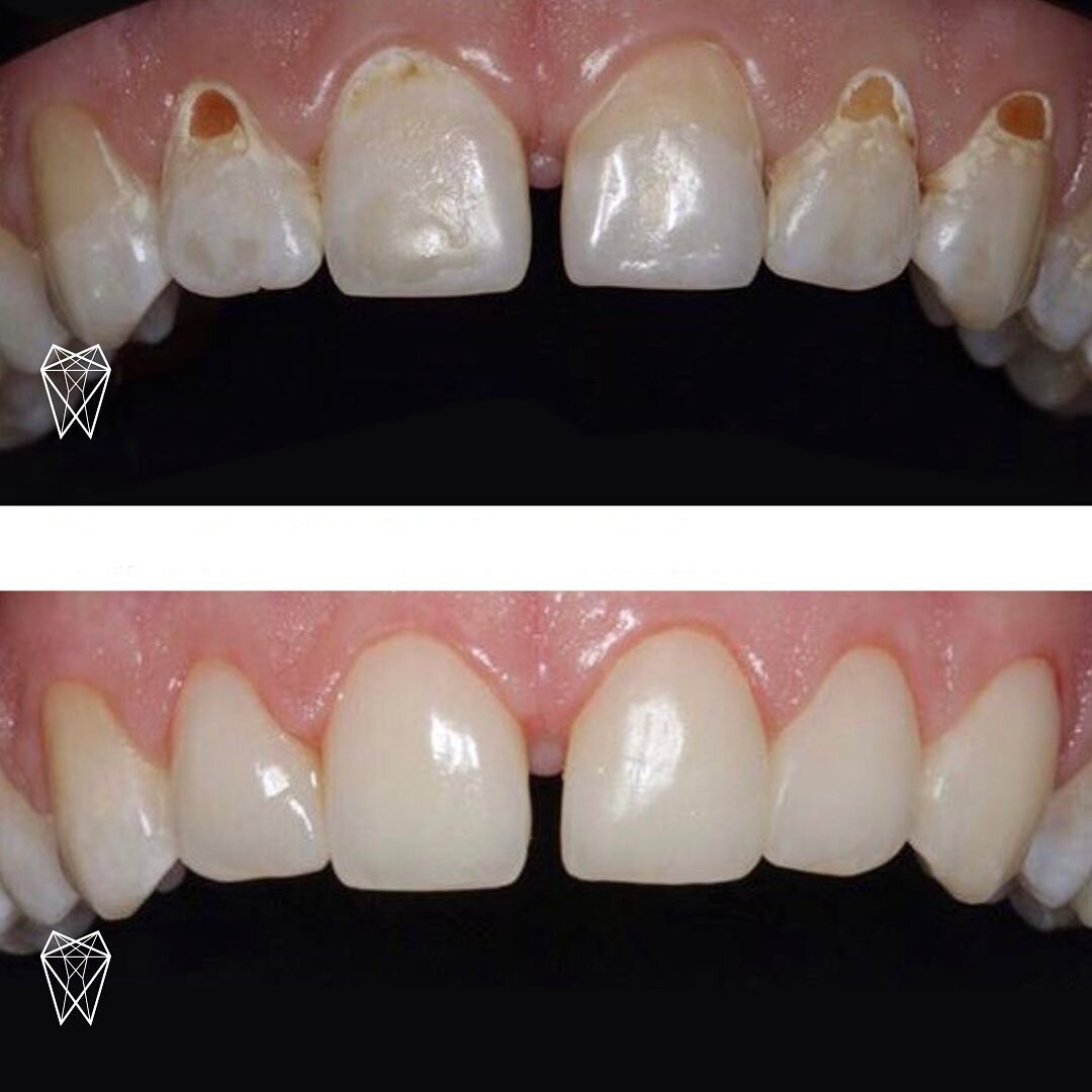
Шейка зуба в норме располагается под краем десны, а вся область рядом с границей шейки называется «пришеечной». Почему кариес «облюбовал» именно этот участок?
Из-за анатомических особенностей эмаль шейки зуба более тонкая и менее минерализованная, чем в коронковой части. К тому же участок зуба в этой области – сложный для очистки обычной щёткой. Поэтому кариесогенные микроорганизмы, которые присутствуют в составе зубного налета, начинают уничтожать зуб в самом уязвимом месте. Где тонко, там и рвётся! Чем опасен такой кариес? К сожалению, не только эстетическими проблемами и болезненностью, но и быстрым разрушениям всего зуба. Также могут возникнуть осложнения в виде: Но в нашем случае мы не допустили осложнений. Пациентка попала в руки нашего специалиста по сложным реставрациям зубов стоматолога-терапевта Фатимы Экажевой. Как проходило лечение? ✔ Врач удалила все кариозные участки зуба, работая с медицинским микроскопом
✔ Лечение прошло абсолютно комфортно для пациентки: надёжная ан
Оглавление

Шейка зуба в норме располагается под краем десны, а вся область рядом с границей шейки называется «пришеечной». Почему кариес «облюбовал» именно этот участок?

Из-за анатомических особенностей эмаль шейки зуба более тонкая и менее минерализованная, чем в коронковой части. К тому же участок зуба в этой области – сложный для очистки обычной щёткой.

Поэтому кариесогенные микроорганизмы, которые присутствуют в составе зубного налета, начинают уничтожать зуб в самом уязвимом месте. Где тонко, там и рвётся!

Чем опасен такой кариес?

К сожалению, не только эстетическими проблемами и болезненностью, но и быстрым разрушениям всего зуба. Также могут возникнуть осложнения в виде:

  • Быстро развивающегося пульпита с очень сильной болью
  • Скола зуба

Но в нашем случае мы не допустили осложнений. Пациентка попала в руки нашего специалиста по сложным реставрациям зубов стоматолога-терапевта Фатимы Экажевой.

Как проходило лечение?

✔ Врач удалила все кариозные участки зуба, работая с медицинским микроскопом
✔ Лечение прошло абсолютно комфортно для пациентки: надёжная анестезия исключила болезненные ощущения, а коффердам позволил пациентке нормально глотать и дышать во время лечения
✔ Реставрация выполнена красивым м инадежным композитным материалом, всего за один визит. Восстановлен микрорельеф зубов, в точности повторяющий структуру «родной» эмали
✔ Пациентка прошла урок правильной домашней гигиены. Гигиенист и пациент вместе отработали правильные движения щеткой, чтобы качественно вычищать зубной налёт из труднодоступных мест

Улыбка пациентки стала ярче и привлекательнее. Теперь можно не бояться улыбаться открыто, а это весомый плюс к здоровой самооценке и высокому качеству жизни.

-2

www.belgraviadent.ru

Запись на прием: +7 495 106-81-81

Наши клиники:

ул. Молодогвардейская, д. 2 к. 1

Проспект Мира, д. 36 стр. 1

Ленинградское шоссе, д. 92а

ул. Гарибальди, д. 15

ул. Ефремова, 10 стр. 1 к. 4/5