Добавить в корзинуПозвонить
Найти в Дзене
Советы стоматолога

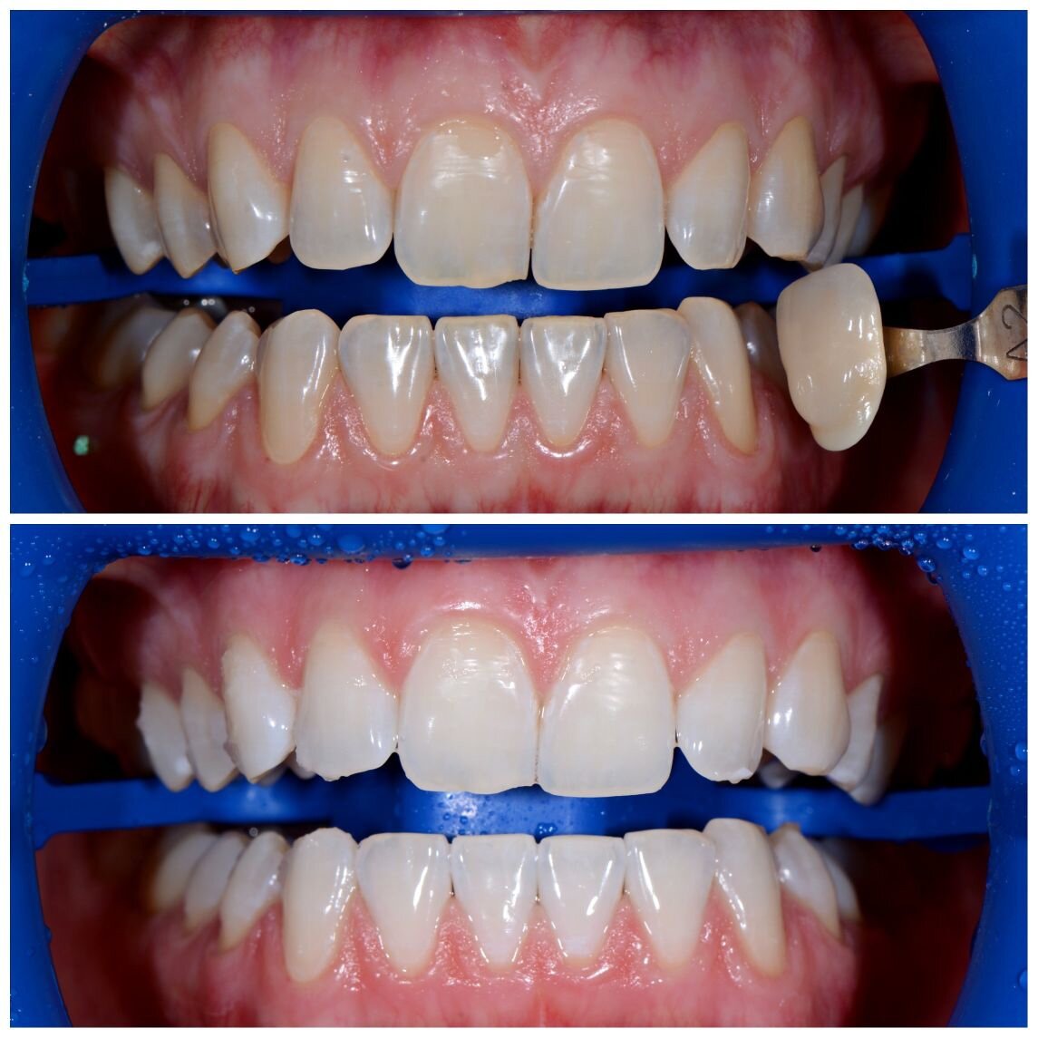
До и после. Отбеливание зубов.

Осторожно, зубы! Про отбеливание зубов ходит много мифов и домыслов, из-за чего люди отказываются от данной процедуры. Что еще хуже - пытаются схитрить и часто попадаются на уловки опытных маркетологов. Поэтому прежде, чем идти на подозрительно дешевое отбеливание в торговые центры (в кресла-яйца) или покупать сомнительные гели/лаки/пасты/ополаскиватели/карандаши и пр., ознакомьтесь с информацией ниже. Об отбеливании зубов (любом) надо знать: 1. К отбеливанию есть противопоказания, и эту процедуру можно проводить далеко не всем пациентам. Безопасного отбеливания, подходящего всем без исключения, просто не бывает. 2. "Унитазных" зубов после отбеливания не бывает. Если хочется "голливудскую улыбку", то вам к стоматологу-ортопеду на керамические виниры. Так вы получите цвет, который захочется (даже неестественно белый) и который никогда не изменится. 3. Цвет возвращается. Но не в исходную точку. Если вы регулярно будете повторять отбеливание, цвет со временем будет более стабильным. 4.
Оглавление

Осторожно, зубы!

Про отбеливание зубов ходит много мифов и домыслов, из-за чего люди отказываются от данной процедуры.

Что еще хуже - пытаются схитрить и часто попадаются на уловки опытных маркетологов. Поэтому прежде, чем идти на подозрительно дешевое отбеливание в торговые центры (в кресла-яйца) или покупать сомнительные гели/лаки/пасты/ополаскиватели/карандаши и пр., ознакомьтесь с информацией ниже.

Об отбеливании зубов (любом) надо знать:

1. К отбеливанию есть противопоказания, и эту процедуру можно проводить далеко не всем пациентам. Безопасного отбеливания, подходящего всем без исключения, просто не бывает.

2. "Унитазных" зубов после отбеливания не бывает. Если хочется "голливудскую улыбку", то вам к стоматологу-ортопеду на керамические виниры. Так вы получите цвет, который захочется (даже неестественно белый) и который никогда не изменится.

3. Цвет возвращается. Но не в исходную точку. Если вы регулярно будете повторять отбеливание, цвет со временем будет более стабильным.

4. При правильно проведенном отбеливании нет боли. Легкая чувствительность в этот день возможна, но жить она не мешать. Нет "прострелов", которых все боятся.

5. Есть минимальный процент людей, у которых зубы не отбеливаются вообще, либо эффект слабо заметен. Увы, тут играют роль индивидуальные особенности, которые невозможно предугадать.

6. До и после отбеливания должна следовать реминерализующая терапия - она укрепляет эмаль и снижает чувствительность. Это обязательно.

7. Если у вас есть кариес, старые пломбы с кариесом по краю, воспаленные десны в зоне проведения отбеливания, то сначала надо устранить проблемы, а уже потом заниматься эстетикой.

8. Все искусственные материалы (пломбы, коронки, виниры) не отбеливаются. После отбеливания пломбы (особенно небольшие) еще могут "схамелеонить" и подстроиться под цвет осветленных зубов. А вот виниры или коронки скорее всего придется менять.

9. Профессиональная гигиена полости рта перед отбеливанием зубов - обязательный этап, который в идеале должен проводиться за пару дней до отбеливания. При имеющейся чувствительности на зубах сроки будут меняться в большую сторону.

10. Отбеливание зубов не дает результат в 100500 тонов, как это рассказывает реклама. Отвоеванный 1 тон - уже победа. 3-4 тона - очень классный результат (по стоматологической расцветке).

Еще про отбеливание вы можете почитать тут:

И посмотреть здесь:

#отбеливаниезубов #отбеливаниезубовдома #зубы #зубнаяпаста #отбеливание #профессиональнаягигиена #профессиональнаячистказубов #виниры #винирыназубы #керамическиевиниры