Найти в Дзене

Показания к имплантации зубов. Узнайте когда нужно вставлять имплантанты.

Число людей, для которых имплантологическое лечение становится оптимальным выбором или лучшей альтернативой мостам и съемному протезированию, постоянно растет. Имплантация — установка искусственных зубов вместо утраченных собственных. Титановые корни вживляются в челюстную кость, сверху покрываются искусственными коронками. В результате полностью восстанавливаются функции зуба — эстетические и функциональные. С помощью имплантации можно восстановить как один зуб, так и несколько. Метод набирает большую популярность, становится доступным для всех пациентов. Зачем нужна имплантация зубов При отсутствии зубов портится внешний вид улыбки, могут появляться более серьезные осложнения: Для решения проблемы применяются традиционное съемное, несъемное протезирование и имплантация. Установка имплантов — самый физиологичный способ, поскольку навсегда и естественно восстанавливает зуб, заменяя не только верхушку, но и корень. При установке дентальных имплантов стимулируется питание костных клеток,
Оглавление

Число людей, для которых имплантологическое лечение становится оптимальным выбором или лучшей альтернативой мостам и съемному протезированию, постоянно растет.

Имплантация — установка искусственных зубов вместо утраченных собственных. Титановые корни вживляются в челюстную кость, сверху покрываются искусственными коронками. В результате полностью восстанавливаются функции зуба — эстетические и функциональные. С помощью имплантации можно восстановить как один зуб, так и несколько. Метод набирает большую популярность, становится доступным для всех пациентов.

Зачем нужна имплантация зубов

При отсутствии зубов портится внешний вид улыбки, могут появляться более серьезные осложнения:

  • нарушение речи;
  • раннее появление морщин на лице;
  • сбой работы височно-челюстного сустава;
  • проблемы с пищеварением из-за недостаточного пережевывания пищи.

Для решения проблемы применяются традиционное съемное, несъемное протезирование и имплантация. Установка имплантов — самый физиологичный способ, поскольку навсегда и естественно восстанавливает зуб, заменяя не только верхушку, но и корень.

При установке дентальных имплантов стимулируется питание костных клеток, кость становится плотной и увеличивается в объеме, что ведет к ее восстановлению. При традиционном протезировании костная ткань не получает нагрузок, что приводит к уменьшению ее размеров (атрофии).

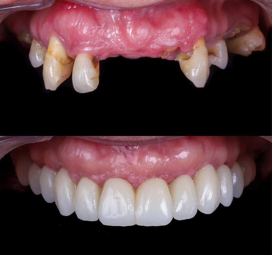
До/после
До/после

Показания к установке имплантов

  1. Утрата одного зуба — переднего или жевательного на верхней или нижней челюсти.
  2. Отсутствие нескольких зубов, как единичные промежутки, так и образованные отсутствием 2, 3, 4 и более зубов подряд;
  3. Концевой дефект — утрата крайних, концевых зубов с одной или обеих сторон челюсти.
  4. Полная адентия — отсутствие всех зубных единиц на челюсти.
  5. Невозможность установки съемных протезов, например, из-за чувствительности десен, рвотного рефлекса, или непереносимости материала, используемого для изготовления съемных протезов;

Если отсутствует один зуб

Возможные варианты восстановления — мостовидный протез и имплантация.

Если зубы с двух сторон от дефекта здоровые, состояние идеальное, то установка имплантата с индивидуальной коронкой позволит избежать обтачивания соседних зубов под мостовидный протез.

Более дешевый и менее травматичный способ — установка зубного моста. Протез крепится на двух опорных зубах. Но у него есть недостатки:

  • необходимость обточки и депульпирования соседних, часто здоровых единиц;
  • снижение функциональности и срока службы здоровых зубов;
  • не подходит для восстановления концевого дефекта;
  • выглядит неэстетично в зоне улыбки.

Утрачены несколько зубов подряд

В таком случае дефект можно восполнить имплантацией, установкой мостовидного или съемного протеза.

При имплантации, если отсутствует два зуба подряд, на место каждого из них ставится индивидуальный имплантат, сверху фиксируются отдельные коронки. При утрате 3 и более единиц можно поставить отдельные искусственные корни для каждого утраченного зуба или меньшее количество имплантатов с фиксацией на них моста.

Альтернатива — установка зубного моста с опорой соседние живые зубы. Но как уже говорилось выше, их необходимо обтачивать и депульпировать. Если опоры в плохом состоянии и не выдерживают нагрузки, применяется частичные съемные протезы, которые крепятся к ним крючками. Оба варианта традиционного протезирования приводят к атрофии кости в месте дефекта.

Концевой дефект

Имплантация в такой клинической ситуации — единственно возможный вариант. Протезы в этом случае нельзя установить, так как нет точек опоры для закрепления.

Полная адентия

Если проблема решается имплантацией, в челюсть вживляются 4-8 искусственных корней, сверху ставится съемный или постоянный несъемный протез. Фиксация ортопедической конструкции на имплантах позволяет ему прочно держаться во рту.

Из традиционного протезирования подойдет только полный съемный протез, который крепится на деснах за счет присасывания, но такое крепление крайне ненадежное, протез нестабилен, натирает слизистые.

Невозможность ношения протезов

У некоторых пациентов часто наблюдается аллергия на материалы съемных и несъемных протезов — акрил, металлокерамика. Кроме этого, при ношении съемных протезов (особенно полных на верхней челюсти) возможно появление рвотного рефлекса. Установка имплантов решает эти проблемы — материалы титановых корней гипоаллергенны, коронки на имплантах не содержат металлического основания, мы применяем безметалловые ортопедические конструкции. Съемные протезы на искусственных корнях не имеют искусственного неба, не вызывают дискомфорт.

Причины утраты зубов

К необходимости имплантации приводит потеря зубов по разным причинам:

  • генетическое наследование;
  • запущенный кариес;
  • механические повреждения челюсти;
  • эндокринные заболевания;
  • заболевания десен — пародонтит, пародонтоз;
  • отсутствие зачатков.

Стоит ли ставить имплант или выбрать протезирование?

Имплантация лишена недостатков традиционного протезирования — это единственный способ восстановить зубной ряд на всю жизнь.

Преимущества

  • восстанавливается любое количество зубов
  • эстетика улыбки, аккуратность внешнего вида
  • естественное восстановление кости челюсти, нет атрофии
  • не обтачиваются соседние единицы
  • нет давления на десны, соприкосновения со слизистыми
  • даже твердая пища пережевывается без проблем
  • быстрое привыкание
  • нет нарушения речи
  • пожизненный срок службы
  • если потребуется замена протеза, меняется только он. Импланты остаются в челюстной кости, на них фиксируется новая ортопедическая конструкция

Недостатки

  • дорогая операция — но если учитывать, что имплантаты устанавливаются на всю жизнь, а коронки на них служат не менее 20 лет, выгода очевидна
  • ограничения — в настоящее время противопоказаний к имплантации становится все меньше, разрабатываются новые методики, создаются улучшенные искусственные корни
  • хирургическое вмешательство — установка импланта не сложнее зубного удаления
  • долгосрочный процесс — при классической имплантации требуется время на приживления импланта, в это время пациент носит временный иммедиат-протез бабочка, но при ускоренной одноэтапной методике при благоприятных условиях коронка фиксируется сразу после установки имплантата

Подведем итог: имплантация — самый функциональный и физиологичный способ восстановления зубного ряда. Если выбирать проверенную клинику и квалифицированного имплантолога, никаких рисков и осложнений установка имплантов не несет, а новый зуб прослужит на протяжении всей жизни.

Чем объясняется популярность применения имплантов

Имплантация известна в стоматологии около 50 лет, и все это время проводятся клинические исследования имплантатов, их конструкция улучшается для лучшей остеоинтеграции и минимизации процента отторжения. Прогноз имплантологов на будущее — в ближайшие 10 лет популярность метода вырастет в 3-4 раза. На это есть обоснованные причины:

  • качество имплантов растет, они просты в установке;
  • осложнения встречаются в 2% случаев, практически всегда устраняются при своевременном обращении в клинику;
  • потеря зубов часто встречается даже у молодых людей, а для таких пациентов важно удобство и эстетика, что можно достичь только установкой имплантов;
  • приживаемость искусственных корней близка к 100%, успех имплантации выше даже обычного терапевтического лечения;
  • сроки лечения сокращаются за счет разработки новых технологий;
  • информация становится доступнее для пациентов всех возрастов.