Добавить в корзинуПозвонить
Найти в Дзене

Какая разница между ультразвуковой чисткой и Air Flow? и почему часто рекомендуется проведение комплексной чистки?

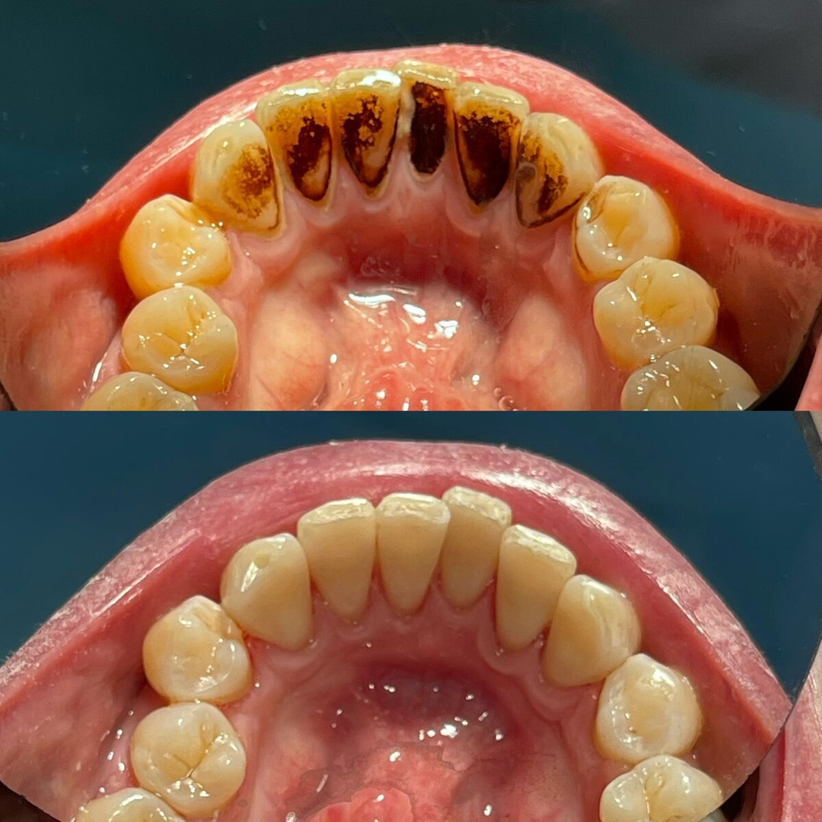
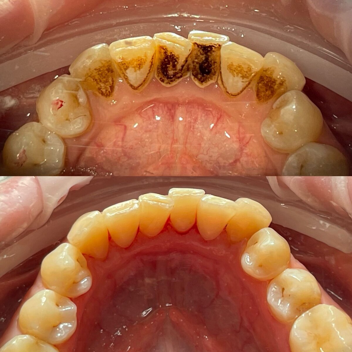
Ультразвуковая чистка и процедура Air Flow. Это принципиально разные варианты профгигиены, которые отличаются способом очистки, применяемыми устройствами и направлены на удаление разных видов зубных отложений. ✅УЗ-чистка Чистка ультразвуком представляет бережное удаление зубного камня ультразвуковым скейлером. Волны ультразвука снимают минерализованные зубное отложения и устраняют скопление бактерий, в том числе и под десной. Аппарат настроен на специальную частоту, наконечник дробит зубной камень без травмирования эмаль и дёсны. Дополнительно на наконечник подаётся водно-воздушная струя, что усиливает эффект очищения ✅Airflow Суть метода заключается в воздействии на эмаль воздушно-водяной смеси с содержанием мелких частиц . Специальный аппарат подаёт струю под высоким давлением. Метод позволяет очистить зубы от мягкого налёта, налёта курильщика, следов от чая и кофе. Помимо очищающего эффекта, зубы осветляются на 1-2 тона и приобретают свой природный оттенок. Тем не менее, Air Flow р

Ультразвуковая чистка и процедура Air Flow. Это принципиально разные варианты профгигиены, которые отличаются способом очистки, применяемыми устройствами и направлены на удаление разных видов зубных отложений.

✅УЗ-чистка

Чистка ультразвуком представляет бережное удаление зубного камня ультразвуковым скейлером. Волны ультразвука снимают минерализованные зубное отложения и устраняют скопление бактерий, в том числе и под десной. Аппарат настроен на специальную частоту, наконечник дробит зубной камень без травмирования эмаль и дёсны. Дополнительно на наконечник подаётся водно-воздушная струя, что усиливает эффект очищения

✅Airflow

Суть метода заключается в воздействии на эмаль воздушно-водяной смеси с содержанием мелких частиц . Специальный аппарат подаёт струю под высоким давлением. Метод позволяет очистить зубы от мягкого налёта, налёта курильщика, следов от чая и кофе. Помимо очищающего эффекта, зубы осветляются на 1-2 тона и приобретают свой природный оттенок.

Тем не менее, Air Flow редко применяют как самостоятельную процедуру, поскольку пескоструйная смесь не удаляет застарелые отложения. Часто такая чистка применяется в комплексе профессиональной гигиены полости рта.

👉 Чтобы выбрать что сделать, процедуру Airflow или ультразвуковую чистку, необходима консультация специалиста. Чаще всего для полной очистки от всех видов отложений рекомендуется прибегать к комплексной гигиене полости рта. В этом случае врач использует и ультразвуковой скейлер, и аппаратную технологию Air Flow.

А мы напоминаем, что сейчас в нашей клинике проходит акция:

Комплексная профгигиена, включающая в себя:

Ультразвуковую чистку зубов и чистку Air-flow составляет всего 2023 руб.

Только по выходным и по предварительной записи!

❗ЗАПИСАТЬСЯ: +7 (4912) 20-20-20

Также много полезной информации у нас на сайте и в группе ВК

На фото работа нашего врача - Сенюк Арины Андреевны

Комплексная профгигиена
Комплексная профгигиена
Ультразвуковая чистка
Ультразвуковая чистка
Удаление твердых образований
Удаление твердых образований