Добавить в корзинуПозвонить
Найти в Дзене

НДКТ - низкодозная компьютерная томография легких как замена флюорографии и рентгенографии

Это методика диагностического исследования компьютерной томографии созданная с целью скрининга рака легкого и потому используется в диагностике легочной ткани. НДКТ приходит на смену флюорографии и рентгенографии органов грудной клетки. При суммарно такой же, либо незначительно большей лучевой нагрузке, качество диагностики вырастает в разы! НДКТ можно использовать не только с целью выявления рака, но так же и для диагностики прочих заболеваний легочной ткани, таких как пневмония, туберкулез, грибковые заболевания легких, гидро- и пневмотораксы. Закономерно задаться вопросом, чем же тогда отличается НДКТ от стандартного исследования? И отличие в качестве самого исследования, при стандартном исследовании видно больше и подробнее, где возможно оценить не только легочную ткань, но и диафрагму, средостение, сердце, кости - все это невозможно адекватно оценить на НДКТ. На представленных картинках видно различие, первое более зернистое и снижает качество диагностики, но этого качества зачаст

Это методика диагностического исследования компьютерной томографии созданная с целью скрининга рака легкого и потому используется в диагностике легочной ткани.

НДКТ приходит на смену флюорографии и рентгенографии органов грудной клетки. При суммарно такой же, либо незначительно большей лучевой нагрузке, качество диагностики вырастает в разы!

НДКТ можно использовать не только с целью выявления рака, но так же и для диагностики прочих заболеваний легочной ткани, таких как пневмония, туберкулез, грибковые заболевания легких, гидро- и пневмотораксы.

Закономерно задаться вопросом, чем же тогда отличается НДКТ от стандартного исследования? И отличие в качестве самого исследования, при стандартном исследовании видно больше и подробнее, где возможно оценить не только легочную ткань, но и диафрагму, средостение, сердце, кости - все это невозможно адекватно оценить на НДКТ.

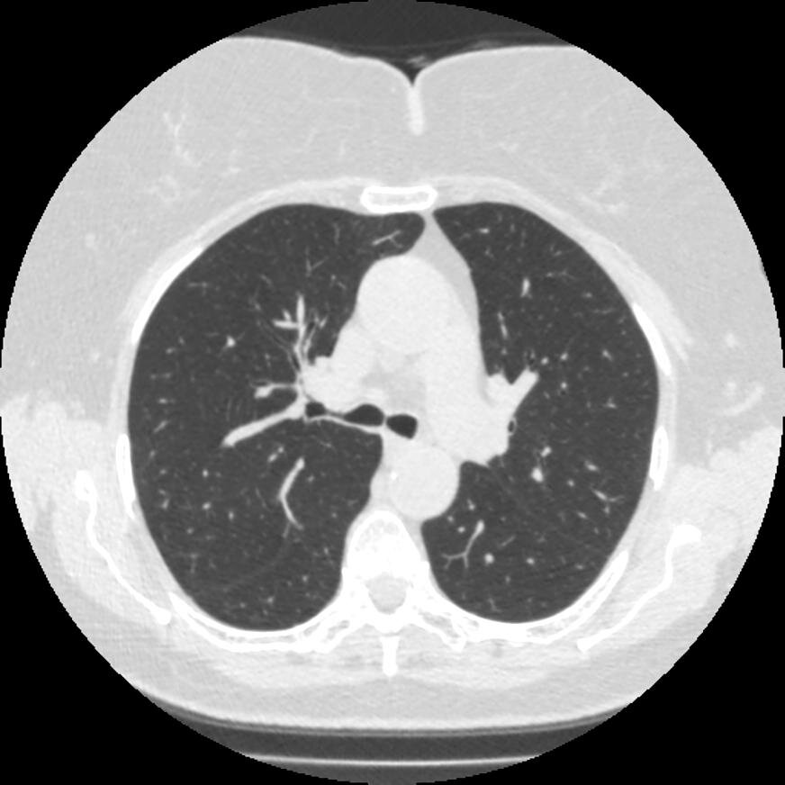
 Качество картинки при НДКТ легких
Качество картинки при НДКТ легких
А такое качество при стандартном исследовании легких пациента.
А такое качество при стандартном исследовании легких пациента.

На представленных картинках видно различие, первое более зернистое и снижает качество диагностики, но этого качества зачастую хватает для выявления патологии.

Как понять какое исследование мне необходимо?

  • Если у вас нету жалоб на здоровье со стороны легочной системы и вы просто хотите провериться, пройти диспансеризацию, либо вам необходимо обследование для подготовки к операции,  а может вы являетесь хроническим курильщиком - в таком случае вам можно сделать НДКТ легких.
  • Если у вас есть признаки респираторных заболеваний (кашель, насморк, температура). Если вы делаете контроль после болезни, либо контролируете течение какого то заболевания органов грудной клетки (не только легких). В таком случае вам необходимо делать стандартное КТ исследование органов грудной клетки.

У данного метода есть существенный недостаток, так как в основе метода лежит снижение лучевой нагрузки до минимально возможной, что менее 1 мЗв.  Параметры исследования рассчитаны на категорию граждан весом менее 80кг., в таком случае доза излучения будет менее или ровна 1 мЗв. С увеличением массы пациента доза облучения возрастает.

Если сравнивать с дозой облучения от стандартного исследования, которая составляет 3,5-5мЗв., используя НДКТ у пациентов с массой выше 80кг мы все равно получаем более низкие дозы облучения на пациента.

В ситуации когда ваша масса тела превышает 130 кг, я бы рекомендовал выбрать для исследования стандартное КТ исследование.

Более подробно о данной методике вы можете почитать по этой ссылке

Если вы хотите пройти данное исследование в Москве вы можете обратиться ко мне в социальной сети ВК по ссылке 

Вы так же можете подписаться на мою группу в ВК ссылка

Буду рад вашей оценке.