Добавить в корзинуПозвонить
Найти в Дзене

Когда нет места для постоянных зубов

Своим кейсом поделился мой коллега, ортодонт Виталий Бекасов. Мальчику 8 лет. В ситуации ДО мы видим: Необходимо расширить челюсть, чтобы избавить ребёнка от проблем и осложнений, связанных с неправильным прикусом. Ведь когда зубы основательно занимают неправильное положение, исправить это гораздо сложнее. Что мы сделали?
✔ С помощью 3D-сканера создали цифровые слепки челюстей. Без неприятной слепочной массы
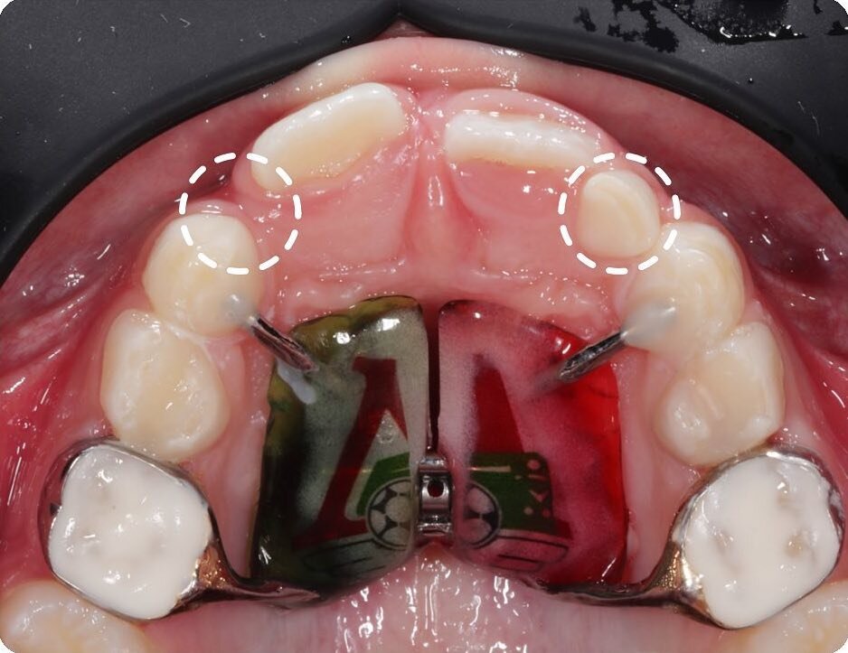
✔ Изготовили несъёмный индивидуальный ортодонтический аппарат Росса (в народе – «несъёмная пластинка»)
✔ Мальчик обожает футбол и очень хотел «пластинку» с символикой любимого клуба. Сказано – сделано. Мы всегда учитывам желания наших юных пациентов. ✔ Родители мальчика, согласно рекомендациям врача-ортодонта, подкручивали (расширяли) пластинку специальным ключом. Этому обучает врач, сразу после установки аппарата.
Заметный результат можно наблюдать уже через 3-4 месяца. А спустя год мальчик вообще распрощался с пластинкой. Верхняя челюсть стала заметно шире, а вслед

Своим кейсом поделился мой коллега, ортодонт Виталий Бекасов.

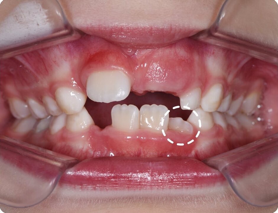
Мальчику 8 лет. В ситуации ДО мы видим:

  • Ярко выраженный дефицит места для прорезывания боковых резцов
  • Сужение верхней челюсти
  • Скученность нижних зубов
Из-за дефицита места зуб занял неправильное положение
Из-за дефицита места зуб занял неправильное положение

Необходимо расширить челюсть, чтобы избавить ребёнка от проблем и осложнений, связанных с неправильным прикусом. Ведь когда зубы основательно занимают неправильное положение, исправить это гораздо сложнее.

Что мы сделали?


✔ С помощью 3D-сканера создали цифровые слепки челюстей. Без неприятной слепочной массы

✔ Изготовили несъёмный индивидуальный ортодонтический аппарат Росса (в народе – «несъёмная пластинка»)

✔ Мальчик обожает футбол и очень хотел «пластинку» с символикой любимого клуба. Сказано – сделано. Мы всегда учитывам желания наших юных пациентов.

Сильный дефицит места для прорезывания боковых резцов
Сильный дефицит места для прорезывания боковых резцов

✔ Родители мальчика, согласно рекомендациям врача-ортодонта, подкручивали (расширяли) пластинку специальным ключом. Этому обучает врач, сразу после установки аппарата.

Заметный результат можно наблюдать уже через 3-4 месяца. А спустя год мальчик вообще распрощался с пластинкой. Верхняя челюсть стала заметно шире, а вслед за ней расширилась и нижняя челюсть. Зубы заняли правильное, идеально ровное положение.

-3
-4

Магия? Нет, просто точное планирование лечения и глубокие знания врача-ортодонта!

Комфортного вам лечения! И ждем вас в Дентал Фэнтези!

www.dentalfantasy.ru

Запись на прием: +7 495 106-81-81.

Наши клиники:

· Молодогвардейская ул., 2 к. 1

· Проспект Мира, 36 стр. 1

· Ленинградское ш., 92 а

· ул. Гарибальди, 15

· ул. Ефремова, 10, стр. 1, к. 4/5