Добавить в корзинуПозвонить
Найти в Дзене

КЕЙС: All-on-six с немедленной загрузкой гибридного моста на имплантатах Adin

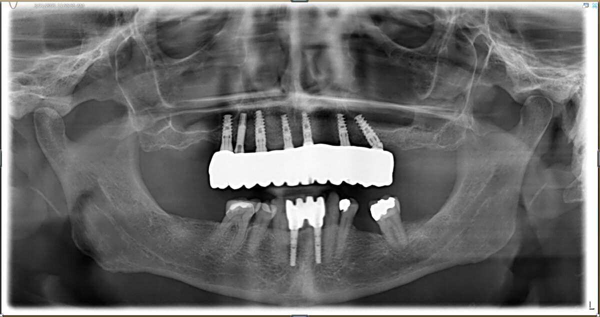
Сегодня практически каждый второй пациент, обратившийся в стоматологическую клинику за имплантацией, задает вопрос: сколько потребуется времени на заживление? Некоторые даже затягивают с визитом к врачу, так как считают, что послеоперационный период слишком длителен и дискомфортен. Предлагаем вашему вниманию кейс нашего израильского коллеги, в котором развенчивается это убеждение. ИСХОДНАЯ СИТУАЦИЯ: мужчина, 55 лет. В анамнезе имеется гипертоническая болезнь. В ротовой полости наблюдается дефект переднего мостовидного протеза, тяжелое кариозное поражение опорного зуба № 11 и генерализованный хронический пародонтит на оставшихся зубах. Кроме того, ранее был установлен имплантат в области зуба № 4. ПРОЦЕДУРА: В ходе операции были удалены верхние оставшиеся зубы, а также установлены и зафиксированы 6 имплантатов Touareg CloseFit менее чем за 24 часа, что позволило избежать отсутствия жевательной функции и психологической травмы благодаря быстрой реабилитации. После завершения хирургическо

Сегодня практически каждый второй пациент, обратившийся в стоматологическую клинику за имплантацией, задает вопрос: сколько потребуется времени на заживление? Некоторые даже затягивают с визитом к врачу, так как считают, что послеоперационный период слишком длителен и дискомфортен. Предлагаем вашему вниманию кейс нашего израильского коллеги, в котором развенчивается это убеждение.

ИСХОДНАЯ СИТУАЦИЯ: мужчина, 55 лет.

В анамнезе имеется гипертоническая болезнь. В ротовой полости наблюдается дефект переднего мостовидного протеза, тяжелое кариозное поражение опорного зуба № 11 и генерализованный хронический пародонтит на оставшихся зубах. Кроме того, ранее был установлен имплантат в области зуба № 4.

-2

ПРОЦЕДУРА:

В ходе операции были удалены верхние оставшиеся зубы, а также установлены и зафиксированы 6 имплантатов Touareg CloseFit менее чем за 24 часа, что позволило избежать отсутствия жевательной функции и психологической травмы благодаря быстрой реабилитации. После завершения хирургического этапа и успешного завершения процесса остеоинтеграции имплантата были сняты оттиски для окончательной реабилитации в монолитном диоксиде циркония с фарфоровым слоем.

  • Подписывайтесь на наш дзен-канал, ставьте 👍 за полезный материал и читайте наши подборки на тему стоматологического бизнеса. Рассказываем честно и подробно о всех плюсах и минусах!
  • Если вы хотите стать нашим клиентом, предложить сотрудничество или у вас есть идея коллаборации, мы с удовольствием рассмотрим все запросы.

#стоматологические кейсы #зубные имплантаты #adin #имплантация зубов