Добавить в корзинуПозвонить
Найти в Дзене
MedikaStom _

👉 ДО/ПОСЛЕ

еставрация переднего зуба. Под реставрацией понимается восстановление зуба пломбой. Она может понадобиться при разрушении зуба, при соколах и трещинах, стираемости зубов. 👍 Наша цель состоит не только в устранении дефекта, но и в возобновлении жевательной функции и визуальной эстетики. Записывайтесь на консультацию в «Медикастом». ❤️ Мы вернем вашим зубам естественную красоту и здоровье! Как вам работа нашего врача? Пишите в комментариях ⬇️ Звоните: 📲 8 499 283 71 58 Ст. м. Первомайская, ул. Первомайская, д. 56 📲 8 495 711 80 36 Ст. м. Бульвар Дмитрия Донского, ул. Знаменские Садки, д. 1, кор. 1 📲 8 977 302 77 33 Ст. м. Красносельская, 1-й Красносельский пер., д. 3

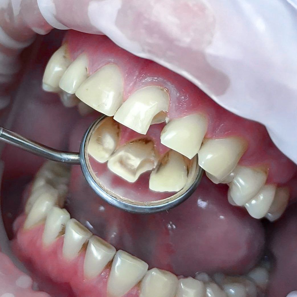
еставрация переднего зуба.

Под реставрацией понимается восстановление зуба пломбой. Она может понадобиться при разрушении зуба, при соколах и трещинах, стираемости зубов.

👍 Наша цель состоит не только в устранении дефекта, но и в возобновлении жевательной функции и визуальной эстетики.

До
До

Записывайтесь на консультацию в «Медикастом». ❤️ Мы вернем вашим зубам естественную красоту и здоровье!

После
После

Как вам работа нашего врача?

Пишите в комментариях ⬇️

Звоните:

📲 8 499 283 71 58

Ст. м. Первомайская, ул. Первомайская, д. 56

📲 8 495 711 80 36

Ст. м. Бульвар Дмитрия Донского, ул. Знаменские Садки, д. 1, кор. 1

📲 8 977 302 77 33

Ст. м. Красносельская, 1-й Красносельский пер., д. 3