Добавить в корзинуПозвонить
Найти в Дзене

Чем опасна полная имплантация верхней челюсти?

Некоторые имплантологи умалчивают о том, что во время имплантации беззубой верхней челюсти можно повредить гайморовы пазухи. Кто-то, чтобы не отпугнуть пациентов. Другие, чтобы «подстраховаться» на случай своих ошибок во время операции. Мы ценим своих пациентов, поэтому ничего от них не скрываем. Главный врач клиники «Академстом» Якубов Алексей Исаевич, хирург-имплантолог со стажем более 20 лет, рассказывает, какие риски могут возникнуть при полной имплантации верхней челюсти и как их избежать. Медицинская информация в статье – исключительно для ознакомления. Проконсультируйтесь с хирургом-имплантологом по своей клинической ситуации. Не ставьте себе диагноз и не занимайтесь самолечением! Что такое гайморовы пазухи? Это парные придаточные пазухи носа (еще их называют верхнечелюстными пазухами или челюстными синусами), расположенные над верхней челюстью. Вместе с другими пазухами и носом они образуют единую систему, которая увлажняет и согревает вдыхаемый воздух. Как гайморовы пазухи свя
Оглавление

Некоторые имплантологи умалчивают о том, что во время имплантации беззубой верхней челюсти можно повредить гайморовы пазухи. Кто-то, чтобы не отпугнуть пациентов. Другие, чтобы «подстраховаться» на случай своих ошибок во время операции.

Мы ценим своих пациентов, поэтому ничего от них не скрываем. Главный врач клиники «Академстом» Якубов Алексей Исаевич, хирург-имплантолог со стажем более 20 лет, рассказывает, какие риски могут возникнуть при полной имплантации верхней челюсти и как их избежать.

Медицинская информация в статье – исключительно для ознакомления. Проконсультируйтесь с хирургом-имплантологом по своей клинической ситуации. Не ставьте себе диагноз и не занимайтесь самолечением!

Что такое гайморовы пазухи?

Это парные придаточные пазухи носа (еще их называют верхнечелюстными пазухами или челюстными синусами), расположенные над верхней челюстью. Вместе с другими пазухами и носом они образуют единую систему, которая увлажняет и согревает вдыхаемый воздух.

На рентгене виден недостаток альвеолярного гребня, показан синус-лифтинг. Фото с сайта https://akademstom.ru/implantatsiya-verhney-chelyusti/
На рентгене виден недостаток альвеолярного гребня, показан синус-лифтинг. Фото с сайта https://akademstom.ru/implantatsiya-verhney-chelyusti/

Как гайморовы пазухи связаны с имплантацией?

  • Они расположены над верхними молярами и премолярами (4-7 зубы).
  • От зубного ряда гайморовы пазухи отделены костной пластиной – альвеолярным гребнем, который с обеих сторон покрыт слизистой. Обычная высота гребня около 10-12 мм.
  • Корни зубов могут располагаться очень близко к пазухе, на расстоянии всего 1 мм, а иногда даже врастать в нее.

Чем опасно проведение имплантации на верхней челюсти?

Чем дольше отсутствуют зубы, которые находятся под гайморовыми пазухами, тем меньше жевательной нагрузки получает верхняя челюсть. И без того рыхлая верхняя челюстная кость быстро атрофируется, уменьшается в объеме.

Длина стандартного импланта – 8-20 мм. Если высота альвеолярного гребня меньше, то имплант может пройти насквозь, повредить пазуху и вызвать осложнения.

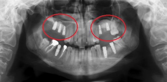
После закрытого синус-лифтинга установлены 5 имплантов, образовалась плотная кость. Фото с сайта https://akademstom.ru
После закрытого синус-лифтинга установлены 5 имплантов, образовалась плотная кость. Фото с сайта https://akademstom.ru
В этой статье рассматривается полная имплантация верхней челюсти. Но подобная проблема может появиться и при одиночных дефектах зубного ряда, когда имплант устанавливается на место отсутствующего клыка или премоляра.

Чем опасно повреждение гайморовых пазух?

Тонкая костная пластина и слизистая ткань защищает пазухи от попадания инфекций, бактерий и остатков пищи. Перфорация пазухи может вызвать:

  • Гайморит.

Воспаляется слизистая гайморовых пазух при попадании инфекции. Появляются водянистые красные выделения (возможно, с гноем) из носа и неприятный запах изо рта. Может измениться голос на более высокий и гнусавый. Наблюдается боль в области верхней челюсти, сильные головные боли, слабость.

  • Флюс.

Развивается острое / хроническое воспаление надкостницы. Отекают мягкие ткани. Боль может отдавать в область уха, виска.

  • Менингит.

Возникает, если не обращать внимания на гайморит и не лечить его. Патогенные бактерии размножаются внутри полостей, могут проникнуть до тканей мозга и вызвать летальный исход.

Как исключить риск травмирования пазух?

Для того чтобы избежать серьезных последствий, перед операцией врач назначает некоторые процедуры:

1. Компьютерная томография.

КТ позволяет с точностью до доли миллиметра определить высоту и ширину альвеолярного гребня, размер и расположение гайморовых пазух. На основе полученных данных врач подбирает длину импланта, место и наклон установки.

2. Синус-лифтинг.

Применяется, если альвеолярный гребень тоньше, чем нужно. Дно гайморовой пазухи приподнимается, образованное пространство заполняется костным материалом – увеличивается объем альвеолярного гребня. Исключается риск выхода импланта за пределы кости и перфорации дна гайморовой пазухи.

Что делать, если диагностирована критическая атрофия верхней кости?

Полная имплантация зубов. Фото с сайта https://akademstom.ru/polnaja-implantacija-zubov/
Полная имплантация зубов. Фото с сайта https://akademstom.ru/polnaja-implantacija-zubov/

Синус-лифтинг не поможет. Единственный «спасательный круг» – скуловая имплантация по технологии Zygoma (Зигома). Удлиненные импланты вкручиваются в скуловую кость, на них фиксируется полный покрывной протез.

У такого способа есть свои преимущества:

  • Скуловая кость никогда не атрофируется, поэтому имплант держится прочно.
  • Можно восстановить улыбку за 2-7 дней, даже при полном отсутствии зубов.
  • Большой срок службы, так как искусственный корень не расшатывается.
  • Возможность сэкономить, так как при таком способе не требуется дополнительная костная пластика.
Подписывайтесь на наш дзен. Здесь мы рассказываем о мире стоматологии и имплантологии. Напишите в комментарии вопросы врачу или темы, которые было бы интересно услышать от доктора.

Рекомендуем прочитать:
Какие проблемы могут возникнуть после имплантации?
ТОП-5 критериев выбора клиники, где лучше сделать имплантацию зубов
Какие анализы нужно сдать перед имплантацией и почему это важно?

📄 Полезные экспертные статьи про имплантацию зубов – https://akademstom.ru/articles/

🌐 Наш сайт: https://akademstom.ru/

📞+7(495)122-25-04

📍Москва, ул. Киевская 24 (5 мин. от м. Студенческая)