Добавить в корзинуПозвонить
Найти в Дзене

Виниры E.Max Bleach2

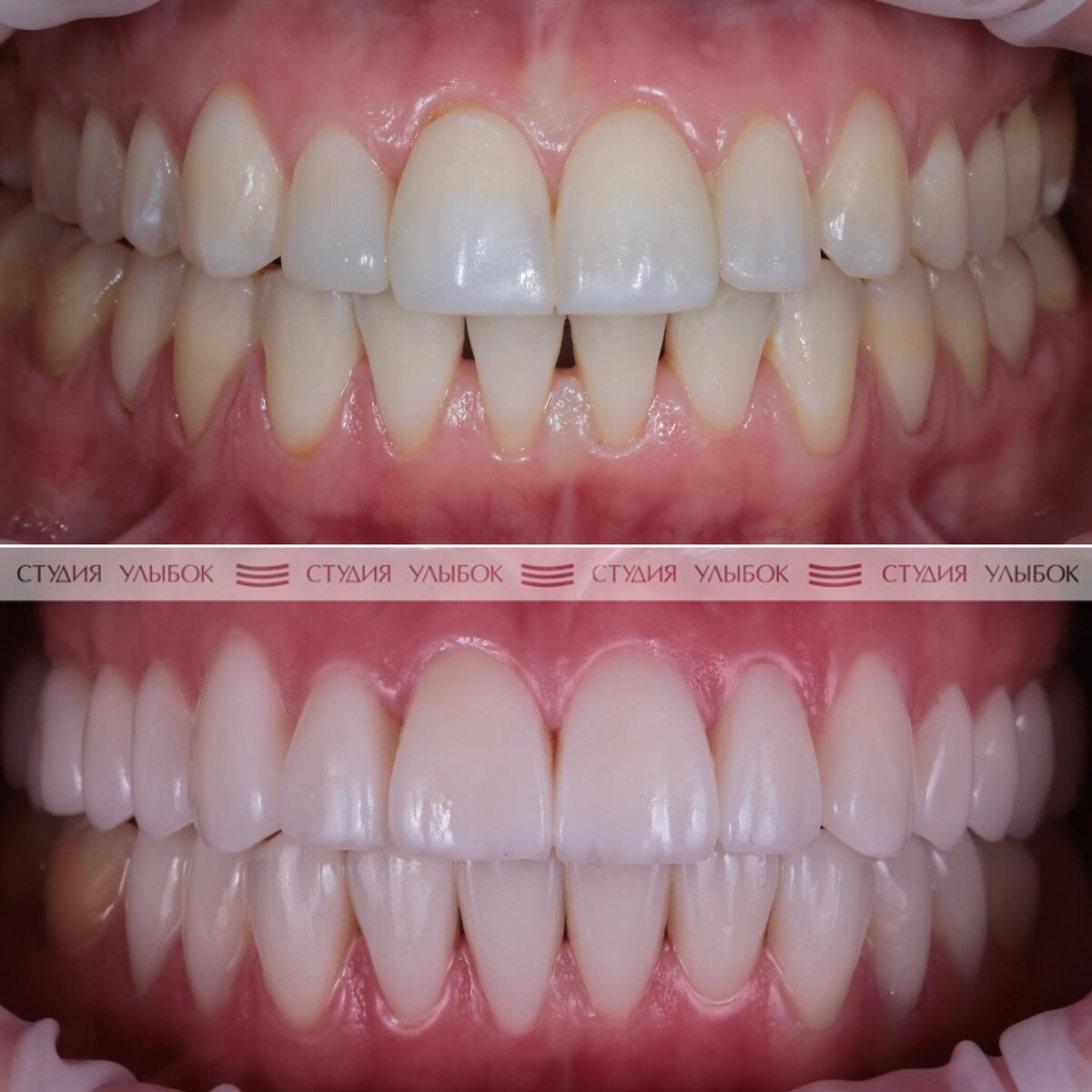
Сегодня продолжаем тему вчерашнего видео по установке виниров E.Max Bleach2 До обращения к ортопеду за идеальной эстетикой зубного ряда пациентка, молодая девушка (34-х лет), прошла большой путь лечения зубов в нашей клинике в 1,5 года от терапевтического до ортодонтического лечения. (Изначально у девушки был перекрестный прикус.) Ровные зубы, правильный прикус и полная санация полости рта, т.е. все зубы у девушки были пролечены. Важно отметить, что свои зубы у пациентки имеют достаточно красивую природную форму и эстетику. Но все-таки кое-что пациентку все-таки не устраивало. Это небольшие погрешности в цвете, зубы были неоднородного цвета с участками боле теплых и желтоватых оттенков, на передних резцах были выполнены художественной реставрации слишком гладкой архитектуры, не похожей на естественную поверхность зубов, также, была заметна небольшая стираемость режущего края зубов. Основная цель и просьба девушки - максимально улучшить эстетику зубного ряда до идеальной улыбки мечты. В

Сегодня продолжаем тему вчерашнего видео по установке виниров E.Max Bleach2

-2

До обращения к ортопеду за идеальной эстетикой зубного ряда пациентка, молодая девушка (34-х лет), прошла большой путь лечения зубов в нашей клинике в 1,5 года от терапевтического до ортодонтического лечения. (Изначально у девушки был перекрестный прикус.) Ровные зубы, правильный прикус и полная санация полости рта, т.е. все зубы у девушки были пролечены. Важно отметить, что свои зубы у пациентки имеют достаточно красивую природную форму и эстетику. Но все-таки кое-что пациентку все-таки не устраивало.

-3

Это небольшие погрешности в цвете, зубы были неоднородного цвета с участками боле теплых и желтоватых оттенков, на передних резцах были выполнены художественной реставрации слишком гладкой архитектуры, не похожей на естественную поверхность зубов, также, была заметна небольшая стираемость режущего края зубов.

-4

Основная цель и просьба девушки - максимально улучшить эстетику зубного ряда до идеальной улыбки мечты.

-5

В итоге пациентке были установлены 24 высокоэстетичных винира (накладки, полукоронки) из прессованной керамики E-Max, цвет Bleach-2. На нижнюю челюсть установки ретейнер. Пациентка будет с ним ходить постоянно бессрочно. И на верхнюю челюсть для сохранения результата - была установлена ретракционная каппа, которую пациентка будет надевать только на ночь.

-6

Для поддержания полученного результата пациентке необходимо 1 раз в полгода проходить профгигиену на аппарате Vector (мы часто показываем его в постах), который позволяет проводить оч.качественную и деликатную чистку виниров и корней зубов для того, чтобы сохранить здоровье зубов на долгие годы и избежать инфекции кариеса.

Кстати, как вам результат, нравится? Пациентка осталась очень довольна.