Найти в Дзене
Кошки не птицы

Высотные травмы кошек. Что дешевле: сетка-антикошка или реанимация в ветклинике?

Сегодня подробно разберем, стоит ли экономия на сетках-антикошках травматичных последствий и возможных финансовых затрат на серьезное ветеринарное лечение. ⠀
Про летальный исход при выпадении кошек из окон писать не будем, это очевидно и очень тяжело: кошки умирают от высотных травм в муках.
Часть 1. Травмы ⠀
Кошка может остаться инвалидом после падения. Такие помехи, как ветви деревьев, козырьки, кондиционеры, решетки подвальных настилов, могут усугубить последствия — кошка может удариться головой, тазом и т.д.
Чаще всего ветврачи регистрируют следующие травмы: ⠀
1. Переломы и ушибы: ⠀ ⠀
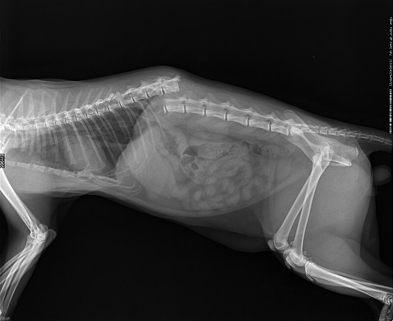
Частые последствия: 2. Черепно-мозговые травмы: ⠀
Частые последствия: 3. Ушибы, разрывы внутренних органов: ⠀
Частые последствия:⠀ 4. Травматический шок. ⠀ ⠀
Важно максимально быстро доставить кошку в хорошую клинику, где возможна реанимация и диагностика: есть рентген, УЗИ, кислородная камера для противошоковой терапии. ⠀
Что дешевле: сетка-антикошка или реанимация и операции в веткл
Сегодня подробно разберем, стоит ли экономия на сетках-антикошках травматичных последствий и возможных финансовых затрат на серьезное ветеринарное лечение.


Про летальный исход при выпадении кошек из окон писать не будем, это очевидно и очень тяжело: кошки
умирают от высотных травм в муках.

Часть 1. Травмы

Кошка может остаться инвалидом после падения. Такие помехи, как ветви деревьев, козырьки, кондиционеры, решетки подвальных настилов, могут усугубить последствия — кошка может удариться головой, тазом и т.д.

Чаще всего ветврачи регистрируют следующие травмы: ⠀

1. Переломы и ушибы:

  • конечностей;
  • позвоночника;
  • таза;
  • ребер;
  • основания хвоста;
  • челюсти;
  • трещина верхнего неба. ⠀


Частые последствия:

  • паралич;
  • невозможность самостоятельно: передвигаться, принимать пищу, опорожнять кишечник и мочевой пузырь; ⠀
  • попадание еды в дыхательные пути и др.

2. Черепно-мозговые травмы:

  • сотрясение;
  • гематомы/кровоизлияние в мозг. ⠀


Частые последствия:

  • нарушение координации;
  • судороги;
  • потеря зрения и т.п.

3. Ушибы, разрывы внутренних органов:

  • мочевого пузыря;
  • легких;
  • печени и селезенки;
  • диафрагмы;
  • почек и др. ⠀


Частые последствия:⠀

  • мочевой перитонит; ⠀
  • отравление азотистыми веществами;
  • пневмоторакс (воздух в грудной полости);
  • внутреннее кровотечение;
  • перемещение органов из брюшной полости в грудную;
  • нарушение работы органов и др.

4. Травматический шок.

  • Любая кошка после падения находится в состоянии сильного шока. Он становится одной из причин гибели, т.к. приводит к нарушению кровообращения, работы нервной системы, сердца, дыхания и кислородному голоданию жизненно важных органов. ⠀


Важно максимально быстро доставить кошку в хорошую клинику, где возможна реанимация и диагностика: есть рентген, УЗИ, кислородная камера для противошоковой терапии. ⠀

Что дешевле: сетка-антикошка или реанимация и операции в ветклинике?


Средняя цена по рынку за антикошку: от 3000 руб. за ПетСкрин и от 4000 руб. за металлическую, в зависимости от размера окна.


Стоимость нескольких суток в реанимации, с кислородотерапией, операции по зашиванию органов или остеосинтезу, МРТ, операции на позвоночник, а также реабилитационный период в ДЕСЯТКИ раз превышает стоимость даже самых дорогих сеток-антикошек.

Например, операции на позвоночник стоят в среднем от 30 до 60 тыс.руб в Москве, остеосинтез одной лапы от 10 до 40 тыс.руб в зависимости от степени тяжести перелома. Полостные операции по зашиванию/удалению органов с разрывами в результате падения 15-20 тыс.руб. А сутки стационара для кошки в тяжелом состоянии в реанимации в хорошо оснащенных ветклиниках Москвы достигают 15-20 тыс.руб/сутки и выше.

Боль и страдания живого существа не измеримы в денежном эквиваленте - у жизни нет цены.⠀Поэтому, если у вас до сих пор нет сеток-антикошек на окнах, то вам лучше все же хорошо подумать над этим и, вероятно, как мудрому человеку и ответственному владельцу - пересмотреть свои взгляды о безопасности окон для кошек. Оцените, нужна ли вам такая "экономия". Ведь предотвратить опасность легче и дешевле, чем исправить последствия.


За фото благодарим ветврачей из клиника
"Эпиона" и ветврача Михаила Шелякова

Наш сайт: кошки-не-птицы.рф

Наши социальные сети:
@cats_no_fly

Если есть вопросы, предложения – напишите нам!
catsnofly@bk.ru

#кошки_не_птицы