Добавить в корзинуПозвонить
Найти в Дзене

Что надо знать об уходе за имплантатами?

В принципе гигиенические мероприятия проводятся в том же объеме в зависимости от способа и вида протеза – несъемный цементируемый, несъемный прикручиваемый, условно – съемный, съемный (рис. 5.9). Рис. 1. Использование ершиков при очищении коронок с опорой на имплантаты Есть некоторые, по сравнению с зубами, различия в инструментах, используемых для обработки поверхности имплантатов и десневого края, прилежащего к ним. Как личная гигиена, так и профессиональная должна быть более деликатной и более частой. Это связано с тем, что десневой край, прилегающий к имплантату, не создает такой защиты для нижерасположенной кости, как это происходит на естественном зубе, и присутствие значительно меньшего налета может вызвать воспаление и поставить под угрозу функционирование имплантата. Воспаление десны вокруг имплантата называется мукозит (mucosa — слизистая, lat.), и это обратимое состояние, то есть его можно вылечить. Если процесс перейдет на костную ткань вокруг имплантата, то такое состояние

В принципе гигиенические мероприятия проводятся в том же объеме в зависимости от способа и вида протеза – несъемный цементируемый, несъемный прикручиваемый, условно – съемный, съемный (рис. 5.9).

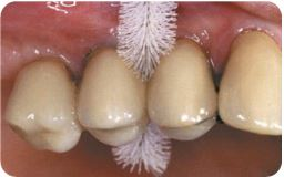
Рис. 1. Использование ершиков при очищении коронок с опорой на имплантаты

Есть некоторые, по сравнению с зубами, различия в инструментах, используемых для обработки поверхности имплантатов и десневого края, прилежащего к ним. Как личная гигиена, так и профессиональная должна быть более деликатной и более частой. Это связано с тем, что десневой край, прилегающий к имплантату, не создает такой защиты для нижерасположенной кости, как это происходит на естественном зубе, и присутствие значительно меньшего налета может вызвать воспаление и поставить под угрозу функционирование имплантата.

Воспаление десны вокруг имплантата называется мукозит (mucosa — слизистая, lat.), и это обратимое состояние, то есть его можно вылечить.

Если процесс перейдет на костную ткань вокруг имплантата, то такое состояние называется перимплантит. Лечение перимплантитов достаточно проблематично и зачастую приводит к утрате имплантатов. Помните: имплантат — это не свой зуб, а искусственно созданная врачом система, подобная зубу, очень чутко реагирующая на неблагоприятные факторы.

При ответственном отношении клиники к своей работе протокол своевременного контроля за результатами лечения и своевременностью прохождения профилактических мероприятий будет прописан в договоре и разъяснен Вам еще до проведения лечения. Вам остается только соблюдать график контрольных, профилактических осмотров для поддержания состояния полости рта на хорошем уровне.

Подпишитесь на наш канал, чтобы не пропустить новые интересные ролики!

📚 Купить книгу книгу "Правдивая стоматология" на Wildberries: https://www.wildberries.ru/catalog/76744417/detail.aspx?targetUrl=GP

📚Купить книгу книгу "Ортодонтия" на Wildberries : https://www.wildberries.ru/catalog/76753472/detail.aspx?targetUrl=GP

🎬 Наш YouTube канал: https://www.youtube.com/channel/UC4AfFytfn_UtmJudPZajqYg

🤓 Портал - https://pravdastom.ru

Яндекс Дзен - https://clck.ru/eBYDS

📹 Rutube - https://clck.ru/eBYEj

✉️ Наша группа Вконтакте - https://vk.com/pravdastom

🛒 Наш Telegram-канал: https://t.me/pravdastom

🎮 Приложение Dental Scope - https://clck.ru/SfGW9