Добавить в корзинуПозвонить
Найти в Дзене

Почему крошатся детские зубы?

«Зубы крошатся! Почему в таком раннем возрасте?» Давайте разбираться. Это не картинка из интернета, а фотография, которую нам прислали родители ребенка для онлайн-консультации. Ребенок еще совсем маленький, а зубы уже «съел» кариес! Почему это происходит? Частые перекусы пищей с простыми углеводами Такая пища вызывает повышенное кислотообразование. Слюна из насыщенной полезными элементами становится деминерализующей. Если ребенок часто есть шоколад, булочки и пьет сладкие напитки, но при этом чистит зубы по стандартной схеме: 2 раза в день, утром и вечером – кислотность слюны не успевает восстанавливаться до безопасного для зубов уровня. Как следствие, зубы постоянно находятся в агрессивной кислотной среде, которая разрушает эмаль. Что делать? Очень сложно полностью исключить из детского рациона пищу, богатую простыми углеводами. Но можно давать ребенку сладкое только один раз в день. Разрешайте ребенку сладкое один раз в день, после основного приема пищи. Но столько, сколько хочет реб
Оглавление

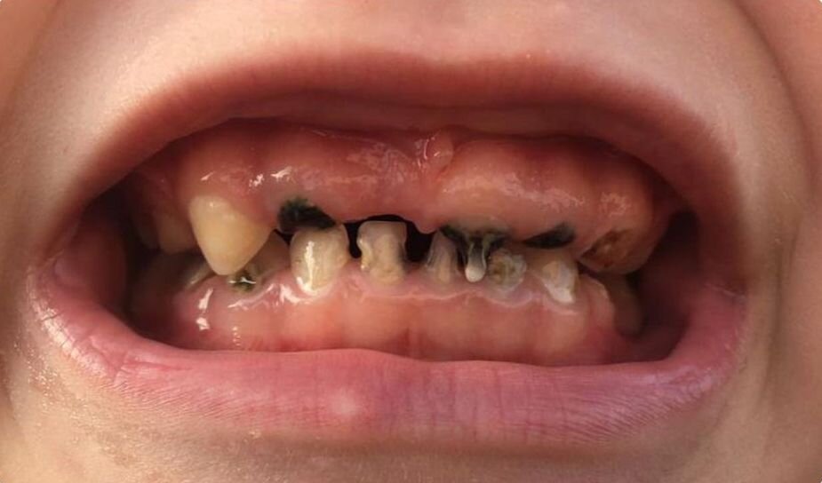
«Зубы крошатся! Почему в таком раннем возрасте?» Давайте разбираться.

Это не картинка из интернета, а фотография, которую нам прислали родители ребенка для онлайн-консультации. Ребенок еще совсем маленький, а зубы уже «съел» кариес! Почему это происходит?

-2

Частые перекусы пищей с простыми углеводами

Такая пища вызывает повышенное кислотообразование. Слюна из насыщенной полезными элементами становится деминерализующей.

Если ребенок часто есть шоколад, булочки и пьет сладкие напитки, но при этом чистит зубы по стандартной схеме: 2 раза в день, утром и вечером – кислотность слюны не успевает восстанавливаться до безопасного для зубов уровня. Как следствие, зубы постоянно находятся в агрессивной кислотной среде, которая разрушает эмаль.

Что делать?

Очень сложно полностью исключить из детского рациона пищу, богатую простыми углеводами. Но можно давать ребенку сладкое только один раз в день.

Разрешайте ребенку сладкое один раз в день, после основного приема пищи. Но столько, сколько хочет ребенок, без ограничений. На сытый желудок он много не съест, и у него не будет ощущения, что его ограничивают в сладком.

Полезные конфеты с ксилитом

Ксилит безопасен для зубов. Вот такие леденцы без сахара продаются во всех наших клиниках.

-3

Плохая гигиена

  • Позднее начало чистки зубов (не с первого зуба)
  • Только самостоятельная чистка, без помощи родителей
  • Не 2 раза в день, а один
  • Нет привычки полоскать рот после каждого приема пищи
  • Средства гигиены без фторида (при показаниях)
  • Неправильная техника чистки зубов
  • Чистка без зубной нити и межзубных ершиков

Ваши здоровые зубы = здоровые зубы малыша

Кариес – это инфекция. Ребенок обычно заражается кариозными бактериями при контакте с самыми близкими людьми. А значит – профилактику кариеса нужно начать с себя. Ваши здоровые зубы – серьезный вклад в здоровье ребенка. И, разумеется, никаких облизанных ложек и пустышек.

«У нас в семье у всех плохие зубы»

Роль наследственности преувеличена. Кариес – это инфекция, а инфекции не передаются на генетическом уровне. А вот анатомию зубов вполне можно унаследовать. Например, глубоки и извилистые фиссуры (бороздки на жевательной поверхности зубов), которые так трудно очистить зубной щеткой. А плохая гигиена – одна из причин кариеса.

Как спасти зубы, если они крошатся на глазах?

Не помогут ни фторирование, ни серебрение, ни маниакальная чистка. Кариес продолжит уничтожать зубы. Обращайтесь к специалистам, которые смогут показать портфолио своих работ, провести лечение без слез и стресса, восстановить зубы с помощью самых современных и надежных методик.

Комфортного вам лечения! И ждем вас в Дентал Фэнтези!

www.dentalfantasy.ru

Запись на прием: +7 495 106-81-81.

Наши клиники:

· Молодогвардейская ул., 2 к. 1

· Проспект Мира, 36 стр. 1

· Ленинградское ш., 92 а

· ул. Гарибальди, 15

· ул. Ефремова, 10, стр. 1, к. 4/5