Добавить в корзинуПозвонить
Найти в Дзене

Мукоцеле желчного пузыря у мальтезе. Клинический случай.

ВСТУПЛЕНИЕ Желчный пузырь представляет собой каплевидный орган, расположенный в краниовентральной части брюшной полости, прикрепленный к печени справа от срединной линии в ямке между правой медиальной и квадратной долями печени. Желчный пузырь действует как резервуар, где желчь хранится, модифицируется и эвакуируется дальше по пищеварительному тракту. После сокращения желчного пузыря желчь выделяется в общий желчный проток и поступает в двенадцатиперстную кишку через сфинктер Одди. У собак общий желчный проток соединяется с малым протоком поджелудочной железы у большого сосочка двенадцатиперстной кишки. Стенка ЖП собак и кошек обычно тонкостенная, а объем ЖП составляет примерно 1 мл/кг массы тела. Его сокращения в первую очередь инициируются холецистокинином, пептидным гормоном, секретируемым в двенадцатиперстной кишке в ответ на попадание жиров и белков в тонкую кишку [1]. Мукоцеле желчного пузыря характеризуется аномальным накоплением внутрипросветной сгущенной желчи и слизи, обычно
 Вершинина Мария Игоревна. Ветеринарный врач. Крым, Симферополь
Вершинина Мария Игоревна. Ветеринарный врач. Крым, Симферополь

ВСТУПЛЕНИЕ

Желчный пузырь представляет собой каплевидный орган, расположенный в краниовентральной части брюшной полости, прикрепленный к печени справа от срединной линии в ямке между правой медиальной и квадратной долями печени. Желчный пузырь действует как резервуар, где желчь хранится, модифицируется и эвакуируется дальше по пищеварительному тракту. После сокращения желчного пузыря желчь выделяется в общий желчный проток и поступает в двенадцатиперстную кишку через сфинктер Одди. У собак общий желчный проток соединяется с малым протоком поджелудочной железы у большого сосочка двенадцатиперстной кишки. Стенка ЖП собак и кошек обычно тонкостенная, а объем ЖП составляет примерно 1 мл/кг массы тела. Его сокращения в первую очередь инициируются холецистокинином, пептидным гормоном, секретируемым в двенадцатиперстной кишке в ответ на попадание жиров и белков в тонкую кишку [1].

Мукоцеле желчного пузыря характеризуется аномальным накоплением внутрипросветной сгущенной желчи и слизи, обычно имеет отчетливую ультрасонографическую картину [1]. Другие термины, используемые для описания мукоцеле, включают застой желчи, муцинозную гиперплазию, кистозную гиперплазию, муцинозные кисты слизистой оболочки, кистозно-муцинозную гипертрофию, муцинозный холецистит и кистозный железистый холецистит [2].

Предрасполагающие факторы.

1. Генетические факторы выявлены у шотландских овчарок, которые подвержены особенно высокому риску образования мукоцеле, так же у кокер-спаниелей и миниатюрных шнауцеров. Есть данные о том, что мутация в ABCB4 связана с развитием мукоцеле у шелти и других пород с данной мутацией. В списке предрасположенных пород так же фигурируют чихуа-хуа и померанский шпиц.

  1. Нарушение моторики желчного пузыря и снижение всасывания жидкости слизистой оболочкой желчного пузыря и желчевыводящими путей рассматриваются как возможные причины развития мукоцеле.
  2. Эндокринопатии. В первую очередь гиперадренокортицизм и гипотиреоз. Исследования показали, что собаки с ГАК в 29 раз чаще страдают мукоцеле, чем собаки без него. Экспериментальное исследование на биглях изучало влияние устойчивого экзогенного избытка кортизола на функцию желчевыводящих путей. Был обнаружен сдвиг в составе желчных кислот желчи в пользу неконъюгированной и более гидрофобной и, следовательно, более едкой желчи, которая может вызывать раздражение эпителия желчного пузыря с последующем образованием муцинозной гиперплазией и, в конечном итоге формированием мукоцеле. Вероятность наличия мукоцеле при гипотиреозе в 3 раза выше, чем у собак без него [1,3].
  3. Гиперлипидемия

Предполагается, что гиперлипидемия может играть роль в нарушение регуляции двигательной функции желчного пузыря, функции слизистой оболочки и состава желчи, что приводит к аномальной подвижность желчного пузыря и, как следствие, формирование мукоцеле.

В одном исследовании участвовали 26 собак с гиперлипидемией и 28- в контрольной группах соответственно. Проводилась оценка объема желчного пузыря натощак и снижение фракции выброса желчного пузыря через 60 и 120 минут после еды по сравнению с контрольными собаками.

Результаты показали, что у собак с гиперлипидемией желчный пузырь натощак был значительно увеличен в объеме и после приема пищи объем изменялся незначительно по сравнению с контрольной группой. Кроме того, у собак с тяжелой гиперлипидемией всегда наблюдалось более объемный желчный пузырь по балльной оценке, чем у собак с легкой гиперлипидемией, что может свидетельствовать о том, что эти собаки более подвержены риску развития мукоцеле.

Шотландские овчарки и цвергшнауцеры предрасположены к семейной первичной гиперхолестеринемии и гипертриглицеридемии соответственно [4].

Клинические проявления.

Собаки с мукоцеле могут иметь острое или хроническое течение болезни. У пациентов часто обнаруживаются неспецифические симптомы рвоты, анорексии, вялости и абдоминальной боли. Желтуха обычно проявляется у собак с острым заболеванием, в то время как у хронических пациентов может наблюдаться легкая гипербилирубинемия или нормальные значения билирубина. Следует отметить, что у собак с необструктивным мукоцеле симптомы проявляются исключительно в постпрандиальном дискомфорте, в то время как признаки острого течения, сопровождающиеся обструкцией внепеченочных желчных протоков, с возможным сопутствующим панкреатитом или желчным перитонитом, протекают с признаками шока. Так же отмечают бессимптомное течение мукоцеле [1].

Диагностика мукоцеле желчного пузыря

  1. Ультразвуковая картина мукоцеле у собак. Ультразвук имеет 100% специфичность и 86% чувствительность для выявления мукоцеле. Выделяют следующие критерии визуальной диагностики: неспецифическое увеличение печени с закругленными краями, дилатированный желчный пузырь, гравитационно-независимый и неподвижный материал в просвете, который не изменяет свое положение при ратировании животного. Выделяю 6 типов мукоцеле: I тип-организованный эхогенный дебрис, занимающий> 30% просвета, II тип- сочетание организованного эхогенного дебриса с частичными звездчатыми тяжами, прикрепленными к стенке желчного пузыря, III тип- звездчатый рисунок, IV тип- сочетание звездчатых тяжей и «киви», V тип- киви с эхогенным дебрисом и VI тип- «киви» [5].

Подозрение на разрыв желчного пузыря с разрывом стенки характеризуется следующими ультразвуковыми паттернами: свободная жидкость в печеночном квадрате, «мигрирующее» мукоцеле в перитониальной полости, наличие прерывистого участка слизистой оболочки желчного пузыря. При спаечном процессе обнаружение разрыва на УЗИ может быть затруднительно [3].

  1. Общеклинический анализ крови может демонстрировать нормальный уровень лейкоцитов или лейкоцитоз, левый сдвиг и наличие токсических нейтрофилов в лейкограмме, признаки анемии хронического воспаления [3].
  2. Биохимия крови. Проявляются изменения по холестатическим энзимам печени. Наблюдается высокая активность ЩФ и ГГТ, а так же высокий уровень холестерина и билирубина при внепеченочной обструкции. Концентрация билирубина в сыворотке крови может быть в норме или лишь незначительно повышаться при остром течение. Так же по гепатоцелюлярным ферментам в виде повышения уровня АЛТ и АСТ. Эпизоды гипоальбуминемии и гиперлактатемии фиксируются при желчном перитоните [1,3].
  3. Коагуляционный профиль. Показатели панели коагуляции могут быть увеличены при хронической обструкции, разрыве желчного пузыря, желчном перитонит, сепсисе или при синдроме диссеминированного внутрисосудистого свертывания. Показатели могут быть снижены у пациентов вторично по отношению к сопутствующему гиперадренокортицизму [3].
  4. Рентген-диагностика чаще всего неспецифична, и может указавать на рентгенконтрастные холелиты или эмфизему стенки ЖП и "эффект матового стекла" при наличии выпота [1, 2].
  5. Исследование желчи.

Холецистоцентез рекомендуется пациентам на ранней стадии мукоцеле, получающим медикаментозное лечение. На поздних стадиях следует отказаться от процедуры из-за густой слизистой желчи и риск разрыва. Осложнения включают подтекание желчи, брадикардию из-за стимуляции блуждающего нерва, кровоизлияние и бактериемию. Необходимо выполнить посев желчи путем отбора цинтезом и желчного пузыря после холецистектомии на чувствительность к антибиотикам, а так же цитологию желчи, для исключения кампилобактериоза, т.к данная бактерия часто не высевается на стандартных средах [3].

Терапия

Хирургия является «золотым» стандартом лечения. Необходима неотложная операция при обструктивной форме и признаках разрыва стенки желчного пузыря. Успешное медикаментозное разрешение мукоцеле встречается редко и не рекомендуется в качестве терапии первой линии [3].

Снижение интраоперационного систолического артериального давления было независимым предиктором внутрибольничной смерти у собак с мукоцеле, перенесших холецистэктомию. Фактор возраста пациента так же влиял на вероятность смерти на 43%. Исследователи не выявили прямой зависимости между разрывом желчного пузыря и смертностью, однако важно отметить, что он может влиять на развития синдрома системной воспалительной реакции, септического шока и полиорганной дисфункции [5].

План антимикробной терапии формируется на основе результатов посева и чувствительности. Рекомендованный курс 4 недели после операции с положительными культурами [3].

Биопсия печени показана во всех случаях для оценки сопутствующих заболеваний печени [3].

После резекции желчного пузыря рекомендуется постоянная желчегонная терапия, особенно для шотландских овчарок, у которых предполагается генетический риск застоя желчи [6].

Бессимптомные пациенты или пациенты со случайной находкой мукоцеле на УЗИ могут получать медикаментозную терапию, но требуют постоянный мониторинг и впоследствии будут подвергнуты холецистектомии [3].

В ретроспективном многоцентровом когортном исследовании, включающем обращения владельцев с 2014 по 2019 г, проходила оценка собак с диагнозом мукоцеле. Были вынесены следующие заключения: собаки с мукоцеле типа V и VI чаще демонстрировали клиническое проявление заболевания, чем собаки с типами I - III. Эти результаты позволяют предположить, что собаки с более продвинутым развитием стадии мукоцеле могут быть подвержены высокому риску развития признаков заболевания желчевыводящих путей [5].

КЛИНИЧЕСКИЙ СЛУЧАЙ

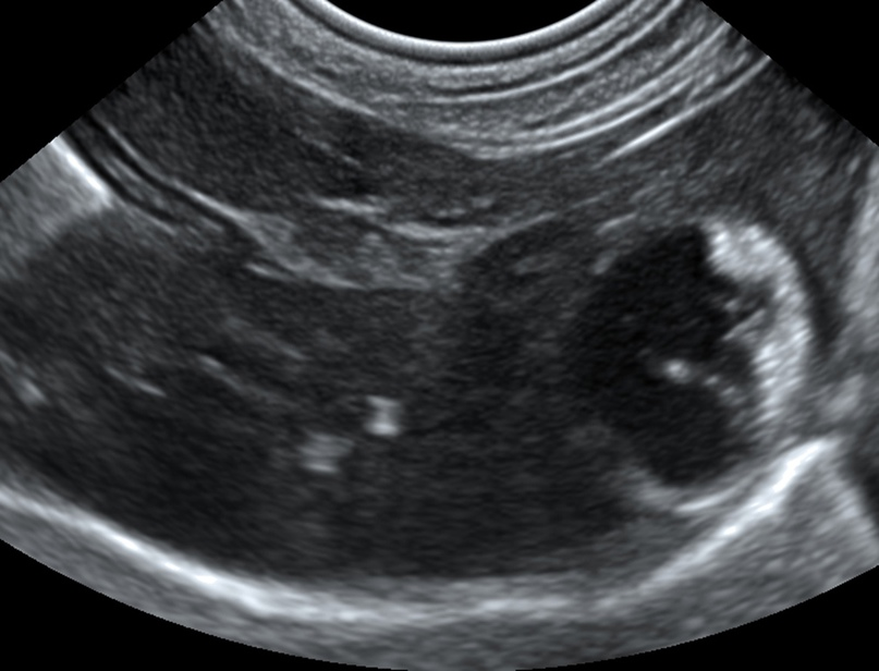
На гастроэнтерологический прием поступила собака 2 лет породы мальтийская болонка за получением 2го мнения. В анамнезе указан диагноз: патология печени и желчного пузыря. Пациент находится на терапии урсодезоксихолевой кислотой и на рационе Hepatic. Клинические жалобы отсутствуют. В желчном пузыре наблюдалась гравитационно-зависимая гиперэхогенная взвесь, занимающая до 1\3 полости [рис.1]. Так же был выполнен тест оценки объема желчного пузыря натощак и через 30 мин. Желчный пузырь практические не изменял свой объем, что свидетельствовало о сниженной сократимости и моторике желчного пузыря.

Рис.1 Ультразвуковая картина желчного пузыря при первичном обращении
Рис.1 Ультразвуковая картина желчного пузыря при первичном обращении

На приеме была выполнена комплексная диагностика, включающая в себя общеклинический анализ крови с гемограммой, в котором обнаружен легкий левый сдвиг, признаки регенераторной анемии в виде повышения MCV и обнаружения полихроматофилов в гемограмме, биохимия крови, в которой отмечается повышение АЛТ- 343 Ед/л (норма 10-50), ГГТ 11 Ед/л (норма 0-6), щелочная фосфотаза 101 ед/л (норма 10-80) и ультразвуковая диагностика, в ходе которой обнаружена утолщенная и гиперэхогенная стенка желчного пузыря, размером 0,22 см, в просвете которого по краю стенки прикреплены параллельные гиперэхогенные тяжи, не изменяющие положение при ротации животного. Печень имеет нормальную эхогенность и размер, сосудистый рисунок выражен [рис.2].

Рис.2 Ультразвуковая картина желчного пузыря
Рис.2 Ультразвуковая картина желчного пузыря

Было высказано предположение о наличии у животного мукоцеле желчного пузыря. Клиент был проинформирован о необходимости выполнения холицистектомии.

Холецистектомия была проведения в сторонней клинике путем лапаротомии. Диагноз мукоцеле был подтвержден. После удаления желчного пузыря, его полость была вскрыта, в просвете было выявлено значительное количество муцинарного содержимого. Была выполнена гистология печени, на основании которой исключены вторичные патологии печени, а так же исследование желчи цитологически, на основании которого была исключена бактериальная инфекция.

Пациент поступил на контроль через 4 недели после оперативного вмешательства. Была выполнена биохимия крови, в которой обнаружено увеличение щелочной фосфотазы 87,000 U/l и холестерина 8,18 mmol /l (норма 3,50-7,50), уровень АЛТ и ГГТ в норме. На ультразвуковой диагностике печени выявлено незначительное увеличение органа, а так же снижение эхогенности [рис.3]. Было высказано предположение о развитии холестаза у пациента (согласно литературным данным в 8 недельный послеоперационный период может развиваться гепатоцелюлярный отек, который проходит самостоятельно). Общеклиническое состояние в норме.

Рис.3 Динамическая оценка состояния печени после холецистектомии.
Рис.3 Динамическая оценка состояния печени после холецистектомии.

Контроль через 14 дней показал нормальный уровень щелочной фосфотазы 69,000 U/l и холестерина 6,63 mmol /l, состояние печени на УЗИ: нормальный размер печени и ее эхогенность. Долгосрочный мониторинг пациента через 8 мес выявил отсутствие патологических изменений на УЗИ печени и нормальную активность печеночных ферментов.

ДИСКУССИЯ

На основании УЗИ не всегда удается окончательно установить тип мукоцеле и соответственно его зрелость. В данном клиническом случае наиболее вероятно произошло развитие III типа у молодой мальтийской болонки. Примечателен тот факт, что мукоцеле сформировалось в течение 2 мес, несмотря на терапию желчегонными средствами и при нормальном уровене холестерина и триглицеридов крови. Заболевание протекало без выраженных клинических признаков, что подтверждает заключение полученное авторами статьи, посвященной оценке ультразвуковой картины мукоцеле желчного пузыря и прогностических переменных. Лабораторными методами была исключена бактериальная причина развития мукоцеле, а так же гиперлипидемия, которая могла влиять на моторику стенки желчного пузыря. Наиболее вероятной причиной развития в данном случае является идиопатическое снижение моторики и сократимости желчного пузыря. Это привело к накоплению концентрированной желчи, насыщенной желчными кислотами, что спровоцировало увеличение секреции муцина и резорбции жидкости.

При выборе хирургического лечения мукоцеле важно осведомлять владельца о необходимости пожизненной терапии желчегонными средствами.

Мукоцеле желчного пузыря все чаще диагностируют у собак, но их истинная частота остается неопределенной. Основная причина этого состояния до сих пор остается спорной, но существует сильная связь с гиперплазией слизистых желез в эпителии желчного пузыря. Хирургическое лечение исторически было предпочтительным методом лечения, однако были отмечены клинические случаи с положительным исходом при медикаментозной терапии. Принятие решение о выборе стратеги терапии многофакторное и зависит от клинической картины заболевания, активности печеночных ферментов и ультразвуковой картины желчного пузыря и печени. [7].

СПИСОК ЛИТЕРАТУРЫ

  1. Gallbladder diseases in dogs and cats. Kook, P H. In: North American Veterinary Conference, Orlando, U.S., January 2013.
  2. ULTRASONOGRAPHIC APPEARANCE AND CLINICAL FINDINGS IN 14 DOGS WITH GALLBLADDER MUCOCELE. JG BESSO, RH WRIGLEY, JM GLIATTO, CRL WEBSTER. BESSO ET AL, 1999 г
  3. Small Animal Gastrointestinal Diseases. Gallbladder Mucocele. James Howard, Kathleen L. Ham, Amy N. Zide and Nina R. Kieves, 2019
  4. Effects of hyperlipidemia on gallbladder motility in dogs. Jessica A. Villm. Master of Science In Biomedical and Veterinary Sciences, 2021
  5. Ultrasonographic patterns, clinical findings, and prognostic variables in dogs from Asia with gallbladder mucocele. Jared A. Jaffey, Rachael Kreisler, Kate Shumway, Yan-Jane Lee, Chung-Hui Lin, Lawren L. Durocher-Babek, Kyoung-Won Seo, Hojung Choi, Ko Nakashima, Hiromi Harada, Hideyuki Kanemoto, Lee-Shuan Lin. J Vet Intern Med. 2022.
  6. Canine Gallbladder Mucocele, Sharon A. Center. Merck Manual Veterinary Manual, 2016
  7. An Update on Gallbladder Mucocoeles in Dogs. Audrey K. Cook, Rebecca Quinn, Vet360, 2016