Добавить в корзинуПозвонить
Найти в Дзене
Дмитрий Папинен

Почему десна кровоточит при чистке зубов

Бывало ли такое, что при чистке зубов щёткой или нитью у Вас начиналась резкая чувствительность в деснах, а в раковине Вы обнаруживали следы крови? Что в таком случае делает большинство людей? - В основном люди пугаются, что якобы травмировали слизистую, чистка прекращается и цикл повторяется примерно через 12 часов . А Вы никогда не задумывались над тем почему десны воспалены, даже если мы их совсем не трогаем, наверное дело все таки не в слишком интенсивной чистке, а в чем-то другом? Давайте изначально разберемся, почему вообще слизистая может начать кровоточить и что с этим делать 1) Неправильно поставленные пломбы или протезы, с нависающими или острыми краями, которые затрагивают десну. Ну думаю здесь все понятно, всегда в таких случаях приходите на корректировку, потому что иначе это может перерасти в хроническую травму, которая в свою очередь является отправной точкой для дальнейшего развития патологии. 2) Интенсивное курение. Дым от сигарет спазмирует (то есть сужает) просвет м

Бывало ли такое, что при чистке зубов щёткой или нитью у Вас начиналась резкая чувствительность в деснах, а в раковине Вы обнаруживали следы крови? Что в таком случае делает большинство людей? - В основном люди пугаются, что якобы травмировали слизистую, чистка прекращается и цикл повторяется примерно через 12 часов .

А Вы никогда не задумывались над тем почему десны воспалены, даже если мы их совсем не трогаем, наверное дело все таки не в слишком интенсивной чистке, а в чем-то другом?

Давайте изначально разберемся, почему вообще слизистая может начать кровоточить и что с этим делать

1) Неправильно поставленные пломбы или протезы, с нависающими или острыми краями, которые затрагивают десну.

Ну думаю здесь все понятно, всегда в таких случаях приходите на корректировку, потому что иначе это может перерасти в хроническую травму, которая в свою очередь является отправной точкой для дальнейшего развития патологии.

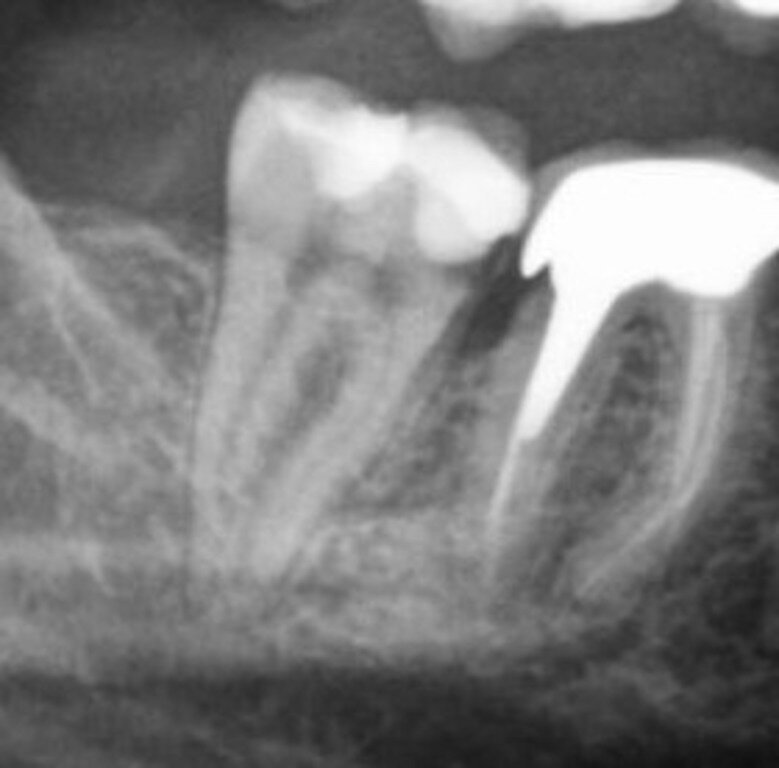
На рентгене мы видим явный нависающий край коронки
На рентгене мы видим явный нависающий край коронки

2) Интенсивное курение.

Дым от сигарет спазмирует (то есть сужает) просвет мелких кровеносных сосудов, которые обильно питают нашу десну, давление внутри этих капилляров повышается и слизистая отекает, что мы увидим в виде воспаления и кровоточивости при чистке зубов.

3) Неправильный прикус.

Довольно редкая проблема, но все же. Этот пункт очень похож на первый, только травмирующим фактором здесь выступает не пломба, а неправильно расположенные зубы.

Как пример: глубокий прикус, когда режущий край резцов может соприкасаться с десной
Как пример: глубокий прикус, когда режущий край резцов может соприкасаться с десной

4) Самое главное, из-за чего я вообще и пишу эту статью - плохая гигиена полости рта.

Не убранный во время вечерней чистки зубов ужин остается с Вами на всю ночь. За ночь микроорганизмы, которые всегда населяют нашу полость рта, просто в разном количестве, видя такой подарок судьбы размножаются в геометрической прогрессии и со временем (если такие сюрпризы повторяются систематически) образуют зубную бляшку, которая перерастает в полноценный зубной камень, который в свою очередь прекрасно будет расти вширь, оттягивать и воспалять Вашу десну. Также не стоит забывать, что для того чтобы навредить десне, микробам совершенно не обязательно строить камень, в процессе своей жизнедеятельности, они выделяют различные кислоты, которые попадают на десну и приносят ей немало "удовольствия".

Видим обильный слой мягкого и твердого налета и как следствие - почти каждый межзубной сосочек воспален. Как Вы думаете, есть ли здесь кровоточивость при чистке?
Видим обильный слой мягкого и твердого налета и как следствие - почти каждый межзубной сосочек воспален. Как Вы думаете, есть ли здесь кровоточивость при чистке?

А что же делать? Ведь больно же! Да и на кровавую баню у себя в раковине смотреть страшно.

Некоторые доктора (а иногда знакомые/жена/сосед) назначают специальные ополаскиватели или зубные пасты, купирующие это все. Но Вы всегда должны помнить об одном моменте - паста на основе различных трав может быть и помогут Вам заглушить воспаление, но из-за своего состава и слишком маленькой абразивности (то есть наполнением микрочастичками, которые и счищают весь налет) Вы совершенно не воздействуете на причинный фактор - микробы. И что это получается? Человек почистил/пополоскал зубы "корой дуба" на протяжении месяца, все симптомы ушли, купил привычную пасту и тут бам - все вернулось буквально три дня спустя. Я называю это иглой, или замкнутым кругом, наш товарищ решит, что все дело в "коре" и начнет пользоваться ей на постоянной основе, пока не разовьется кариес и грамотный доктор не прекратит этот бермудский треугольник.

Как мы обычно разделываемся с такой проблемой. Конечно же во-первых это обучение индивидуальной гигиене полости рта
Как мы обычно разделываемся с такой проблемой. Конечно же во-первых это обучение индивидуальной гигиене полости рта
И во-вторых профессиональная гигиена, где мы счищаем весь уже имеющийся налет.
И во-вторых профессиональная гигиена, где мы счищаем весь уже имеющийся налет.

В заключение могу сказать только одно - следите за своими зубами! Я понимаю, что нам всем хочется какой-то волшебной таблетки или укольчика, который бы создавал новый зачаток зуба, но отринув все сказки, остается лишь на протяжении трех недель качественно все вычищать, а уже дальше, привычка сделает свое дело.