Найти в Дзене

Должно быть 32, а у меня их 33: говорим о сверхкомплектных зубах

Сверхкомплектность, гиперодонтия, полиодонтия, супрадентия. Эти четыре понятия являются названием одной аномалии – когда у человека обнаруживается большее количество зубов, чем положено (норма для молочных 20, для постоянных – 32 зуба). Зубы могут появляться в неположенном месте, смещая основные, или даже формировать новый ряд. Что это за явление Лишние элементы зубного ряда – #аномалия развития зубочелюстной системы. Патология характеризуется появлением лишних молочных, а в определенных случаях, постоянных зубов. Зачастую дефект развивается в верхней челюсти, растут дополнительные клыки, в иногда прорезываются дополнительные #зубы мудрости. Зубов насчитывается не 32, что считается нормой для взрослого человека, а 33, 34 и больше. Прежде всего, сверхкомплектные элементы зубного #ряда сказываются на внешнем виде человека, так как чаще всего они вырастают в видимой области и за пределами остальных зубов в ряду, влияя на эстетичность улыбки. Такая аномалия может стать причиной искажения р
Оглавление

Сверхкомплектность, гиперодонтия, полиодонтия, супрадентия. Эти четыре понятия являются названием одной аномалии – когда у человека обнаруживается большее количество зубов, чем положено (норма для молочных 20, для постоянных – 32 зуба). Зубы могут появляться в неположенном месте, смещая основные, или даже формировать новый ряд.

Что это за явление

Лишние элементы зубного ряда – #аномалия развития зубочелюстной системы. Патология характеризуется появлением лишних молочных, а в определенных случаях, постоянных зубов. Зачастую дефект развивается в верхней челюсти, растут дополнительные клыки, в иногда прорезываются дополнительные #зубы мудрости. Зубов насчитывается не 32, что считается нормой для взрослого человека, а 33, 34 и больше.

Прежде всего, сверхкомплектные элементы зубного #ряда сказываются на внешнем виде человека, так как чаще всего они вырастают в видимой области и за пределами остальных зубов в ряду, влияя на эстетичность улыбки. Такая аномалия может стать причиной искажения речи человека и нарушения дикции. Кроме того, полиодонтия нередко провоцирует нарушения формирования прикуса, так как при этой патологии наблюдается смещение и искривление #зубного ряда.

Справка!

В 90% случаев, аномалия сверхкомплектности зубных элементов провоцирует появление осложнений в зубочелюстной системе, является первопричиной развития других патологических изменений.

Почему вырастают лишние зубы

Нет научно подтвержденного точного списка причин развития гиперодонтии. Ученые выдвигают несколько гипотез, по каким причинам могут расти сверхкомплектные зубы:

  1. Наследственный фактор играет немаловажную роль в обозначении предрасположенности к супрадентии. #Патология может развиваться, как результат отклонений на генетическом уровне, но в таком случае дефект проявляется у кровных родственников (передается от родителей к детям).
  2. Расщепление зубного зачатка. В случае, когда в эмбриональном периоде у плода наблюдались нарушения активности зубной пластины по разным причинам (вирусы, экология, вредные привычки матери), возрастает риск появления полиодонтии.
  3. Согласно одной из версий, атавизм (то, что заложено природой изначально) тоже является причиной развития у некоторых людей #аномалий зубов .
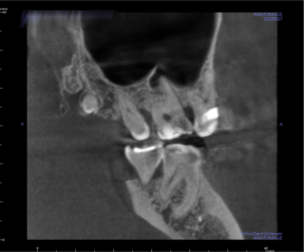
На диагностическом снимке сверхкомплектный 9й зуб
На диагностическом снимке сверхкомплектный 9й зуб
Регистрируются случаи, когда к появлению супрадентии приводит развитие одонтомы – доброкачественного образования челюстных дуг.

Симптомы полиодонтии и где она чаще проявляется

Главный симптом аномалии строения челюсти можно определить визуально – это рост лишних единиц сверх зубного ряда. Вырастают они в разных местах челюсти, сами #зубы могут быть идентичны основным зубам или их форма, размер будут отличаться.

Прорезывание сверхкомплектных единиц зубного ряда может сопровождаться симптоматикой:

  • высокая температура тела
  • краснота, болезненные ощущения, отечность десен
  • увеличенное слюноотделение
  • диарея
  • насморк

У детей и пациентов старшего возраста, #гиперодонтия имеет свои нюансы из-за особенностей организма. У взрослых, появление стоматологического дефекта может сопровождаться ринитом, у детей процесс прорезывания чаще похож на плановое прорезывание зубов, и сопровождаться теми же симптомами.

Последствия появления сверхкомплектных зубов

При отсутствии своевременного лечения аномалии, проблема может спровоцировать многочисленные осложнений, в том числе:

  • Расшатывание основного ряда зубов, соседних аномальными зубами.
  • Деформация челюстей.
  • Развитие аномалий прикуса.
  • Дискомфорт, болезненные ощущения во время жевания пищи.

Справка!

Бывает так, что лишние элементы #зубного ряда не прорезываются с молочными и начинают свой рост в старшем возрасте. В этом случае врач может выявить стоматологическую аномалию при рентгенодиагностике.

Выявляем и принимаем меры

-3

Аномальные элементы прорезаются зачастую непосредственно в зубном ряду или за его границами, к примеру – над зубом или рядом с ним. В определенных случаях у детей наблюдается рост во втором ряду от основного ряда молочных зубов.

Определить непрорезавшиеся лишние зубы и изучить строение, расположение, форму, размеры можно посредством 3D-снимка, который можно сделать при помощи #компьютерной томографии. Также по результатам обследования лечащий врач может составить полную клиническую картину патологии и назначить дальнейшее лечение.

Удаление прорезавшегося сверхкомплектного зуба проводят хирургическим путем. Если полиодонтия уже повлияла на прикус, дальнейшее лечение проводит ортодонт.