Найти в Дзене
Star Smile

Элайнеры — идеальный способ выравнивания зубов на сегодняшний день. Есть ли подводные камни?

Друзья, хочу поделиться своим опытом выравнивания зубов с помощью последнего достижения в области современной ортодонтии — элайнеров. Начну с того, что с детства у меня была верхняя челюсть сильно выдвинута вперед и на нижней челюсти зубы были «заборчиком». Это никогда особо мне не мешало, но родители всегда уговаривали меня поставить брекеты, но я ни в какую. В общем если у вас неровные зубы, но вы не хотите ставить брекеты, прочтите мой отзыв до конца. Чуть больше года назад я узнала, что существует способ выпрямления зубов по всем параметрам идеальный для меня. Какие же преимущества? - Незаметны для окружающих. - Спокойно можно есть и пить, сняв каппы. - Точно прогнозируемое лечение с помощью компьютерной программы, которая рассчитывает количество элайнеров и срок лечения. - Безболезненно. - Безопасно для эмали. - Не нарушается дикция, нет слюноотделения и других неприятных и неэстетичных моментов. - Свои зубы, которые не стираются в порошок, как с винирами, и не разрушаются от бре
Оглавление

Друзья, хочу поделиться своим опытом выравнивания зубов с помощью последнего достижения в области современной ортодонтии — элайнеров.

Начну с того, что с детства у меня была верхняя челюсть сильно выдвинута вперед и на нижней челюсти зубы были «заборчиком». Это никогда особо мне не мешало, но родители всегда уговаривали меня поставить брекеты, но я ни в какую. В общем если у вас неровные зубы, но вы не хотите ставить брекеты, прочтите мой отзыв до конца.

Чуть больше года назад я узнала, что существует способ выпрямления зубов по всем параметрам идеальный для меня.

Какие же преимущества?

- Незаметны для окружающих.

- Спокойно можно есть и пить, сняв каппы.

- Точно прогнозируемое лечение с помощью компьютерной программы, которая рассчитывает количество элайнеров и срок лечения.

- Безболезненно.

- Безопасно для эмали.

- Не нарушается дикция, нет слюноотделения и других неприятных и неэстетичных моментов.

- Свои зубы, которые не стираются в порошок, как с винирами, и не разрушаются от брекетов.

Короче, мечта! Я записалась сразу на бесплатную консультацию, совершенно не собираясь ничего выпрямлять. Я просто хотела разузнать, что к чему, и, возможно, когда-нибудь решиться на это.

В той клинике, куда я обратилась, мне сказали, что здесь одни из самых низких цен, поскольку у них собственное производство элайнеров Star Smile (российское, а не зарубежное).

Кому интересно — можете перейти по ссылке и узнать, подойдет ли вам лечение на элайнерах.

На первой же бесплатной консультации я задала все свои вопросы, узнала о цене — и поняла, что я ХОЧУ и МОГУ себе это позволить.

Всё мое лечение, включая диагностику, фиксацию и изготовление капп, стоило мне 212 000 рублей. При этом платить можно было в рассрочку, постепенно. Мне это отлично подошло и не сильно ударило по карману.

Расскажу вкратце схему лечения.

В первую очередь надо вылечить все зубы у своего врача-терапевта (санация).

Затем нужно сделать рентгеновский снимок челюсти.

Если это необходимо, нужно удалить зубы мудрости.

Затем нужно прийти на диагностику к врачу-ортодонту. Он делает оттиск челюсти, чтобы изготовить каппы по вашим размерам. Для этого в рот заливается что-то вроде жидкого пластилина. В общем, все технологии очень точные и нет шансов, что что-то пойдет не так и ваши зубы уедут не туда.

Дальше специальная компьютерная программа рассчитывает срок лечения и количество капп, нужных именно мне. Обычно на одну челюсть надо около 20 капп, на две — соответственно, 40.

Срок лечения — около года. В отличие от брекетов, где лечение может длиться два-три года.

На фиксации элайнеров врач устанавливает активаторы! Это, наверное, единственный подводный камень, о котором не все знают и не все понимают, что это. Активаторы — это та же пломба поверх зуба, которая делает поверхность зубов шершавой, лучше закрепляет каппу на зубах и быстрее двигает зубы. Они остаются с вами, даже когда вы снимаете каппу. Они полностью под цвет зубов, но они видны, если придвинуться слишком близко или повернуться в профиль. В общем, от них никуда не деться, они останутся с вами на протяжении всего лечения.

Далее: есть такое понятие, как сепарация — необходимость раздвигать зубы. Она нужна, если есть скученность зубов и им нужно освободить место, чтобы двигаться дальше. Врач специальной пилкой пилит между зубами, чтобы создать промежутки между конкретными зубами. Расстояние составляет доли миллиметров, это никак не влияет на эмаль, процедура безопасна, но совсем чуть-чуть неприятна. Если зубы здоровы, то ощущения будут примерно такие, как при спиливании ногтей, — ничего не почувствуете.

А так всё лечение протекает без участия врача — вы просто приходите за новым комплектом капп и самостоятельно их меняете.

Одна каппа носится ровно две недели. Каппа находится на зубах постоянно, за исключением времени приема пищи. В каппе можно только пить воду комнатной температуры. А жевать жвачки, сосать конфетки, есть мороженое, грызть орехи, есть суп, фрукты и всё остальное можно только без каппы.

Спасибо за внимание! Надеюсь, была полезной. Знаю, что многие задумываются. Видела, что у производителя сейчас есть акции. Я не успела на них, но, может, вам повезет. Решайтесь ;)

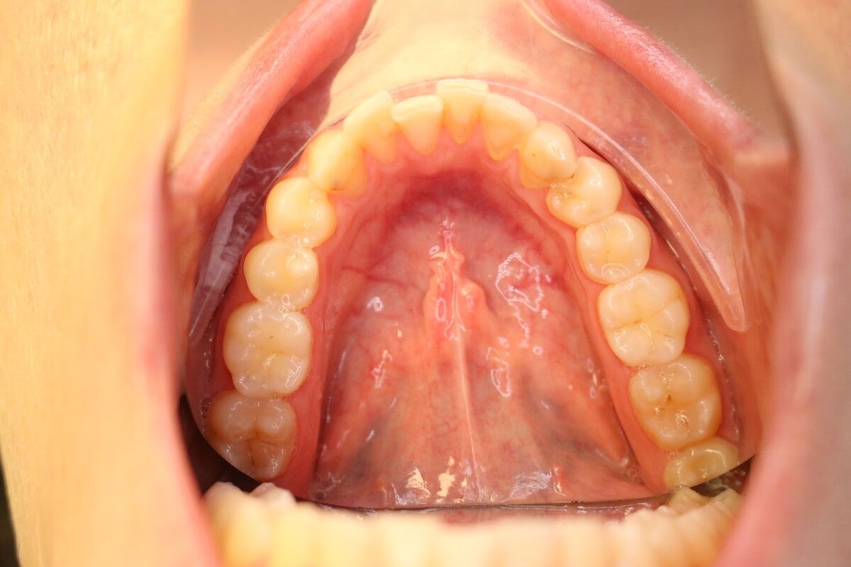
Ниже прикреплю фото своих зубов до и после.

Фото до

-2

Фото после

-3

Макияж
950 интересуются