Добавить в корзинуПозвонить
Найти в Дзене
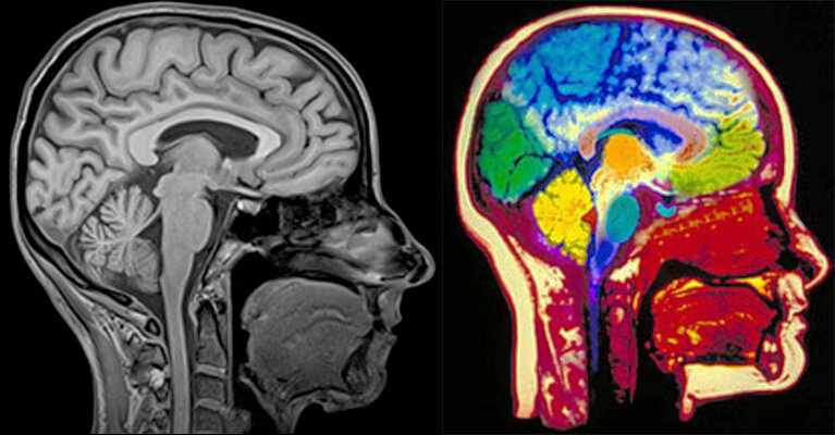
МРТ в Коломне

Разница в МРТ с контрастом и без

МРТ с контрастированием подразумевает введение контрастного вещества, которое с током крови распространяется по всему организму. За счет этого отчетливо видны все сосуды. Такая методика позволяет более четко определить структуру, размеры органа. 👇Можно выделить основные отличия в проведении процедур: 1.При контрастировании вводятся специальные вещества в организм человека, только после этого проводится сканирование. Без контрастирования обследование проводится сразу. 2.При использовании контрастного вещества важна подготовка. За 3–5 часов важно отказаться от еды и воды. При проведении простой процедуры особо сложной подготовки не требуется. 3.Продолжительность МРТ с контрастом больше, чем у простой процедуры. 4.Контрастные вещества не используются у беременных женщин. Записаться на консультацию можно по телефону: +7 916 133-85-55 +7 (49-66) 14-05-05 +7 (800-55) 5-65-44 Источник: https://mrtkolomna.ru/

МРТ с контрастированием подразумевает введение контрастного вещества, которое с током крови распространяется по всему организму. За счет этого отчетливо видны все сосуды. Такая методика позволяет более четко определить структуру, размеры органа.

👇Можно выделить основные отличия в проведении процедур:

1.При контрастировании вводятся специальные вещества в организм человека, только после этого проводится сканирование. Без контрастирования обследование проводится сразу.

2.При использовании контрастного вещества важна подготовка. За 3–5 часов важно отказаться от еды и воды. При проведении простой процедуры особо сложной подготовки не требуется.

3.Продолжительность МРТ с контрастом больше, чем у простой процедуры.

4.Контрастные вещества не используются у беременных женщин.

Записаться на консультацию можно по телефону:

+7 916 133-85-55

+7 (49-66) 14-05-05

+7 (800-55) 5-65-44

Источник: https://mrtkolomna.ru/