Добавить в корзинуПозвонить
Найти в Дзене

Исследование: Приводит ли пришлифовывание эмали в процессе ортодонтического лечения к развитию кариеса?

Мы сделали серию постов, в которых разбираем интересные научные статьи из достоверных источников о современных возможностях ортодонтического лечения. Врачи клиники «Конфиденция» в своей работе придерживаются принципов доказательной медицины, поэтому регулярно изучают исследования в лучших мировых медицинских журналах в поисках новых, научно подтвержденных подходов к лечению. Некоторыми из этих статей мы хотим с вами поделиться:) В процессе ортодонтического лечения практически все пациенты сталкиваются с необходимостью пришлифовывания боковых поверхностей зубов. Такая процедура называется сепарация, или межапроксимальная редукция эмали, и проводится как в лечении на брекетах, так и на элайнерах. Сепарация необходима для исправления формы зубов и устранения «пустот» у десны после выравнивания, а так же для создания места при устранении скученности. Пришлифовывание зубов проводится с помощью алмазных боров, алмазных или бумажных дисков, а так же специальных штрипс – металлических или пла
Мы сделали серию постов, в которых разбираем интересные научные статьи из достоверных источников о современных возможностях ортодонтического лечения. Врачи клиники «Конфиденция» в своей работе придерживаются принципов доказательной медицины, поэтому регулярно изучают исследования в лучших мировых медицинских журналах в поисках новых, научно подтвержденных подходов к лечению. Некоторыми из этих статей мы хотим с вами поделиться:)

В процессе ортодонтического лечения практически все пациенты сталкиваются с необходимостью пришлифовывания боковых поверхностей зубов. Такая процедура называется сепарация, или межапроксимальная редукция эмали, и проводится как в лечении на брекетах, так и на элайнерах.

Сепарация необходима для исправления формы зубов и устранения «пустот» у десны после выравнивания, а так же для создания места при устранении скученности.

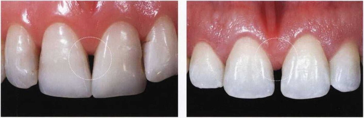
На картинке слева – треугольная форма центральных резцов приводит к образованию "черного треугольника" у десны.
На картинке слева – треугольная форма центральных резцов приводит к образованию "черного треугольника" у десны.

Пришлифовывание зубов проводится с помощью алмазных боров, алмазных или бумажных дисков, а так же специальных штрипс – металлических или пластиковых абразивных полосок. Пришлифовывание эмали проводится в минимальных объемах – до 0.25 мм на боковой поверхности зуба.

Сепарация с помощью металлической штрипсы
Сепарация с помощью металлической штрипсы

Для ортодонтов это стандартная и рутинная процедура, но не все пациенты относятся к ней с доверием – а вдруг испортится эмаль или начнут появляться кариесы? Отвечаем! Научно доказано, что пришлифовывание эмали не приводит к ухудшению здоровья зубов:

-3
Zachrisson BU, Nyøygaard L, Mobarak K. Dental health assessed more than 10 years after interproximal enamel reduction of mandibular anterior teeth. Am J Orthod Dentofacial Orthop. 2007 Feb;131(2):162-9. doi: 10.1016/j.ajodo.2006.10.001. PMID: 17276856.

В исследование «Оценка здоровья зубов через 10 лет после межапроксимальной редукции эмали» был включен 61 пациент, которым было проведено пришлифовываение эмали всех 6 передних зубов нижней челюсти более 10 лет назад. После клинического осмотра, тестов на чувствительность зубов и рентгенологического исследования было заключено, что пришлифовывание зубов не привело к ятрогенным повреждениям – кариес не образовывался, а состояние десны или костной ткани не ухудшалось.

В другом исследовании проводилось изучение наноструктуры эмали после пришлифовывания с помощью атомной силовой микроскопии, что доказало, что после полировки граней зубов их поверхность была даже более гладкой, чем у нетронутого зуба:

-5

Таким образом, научно доказано, что пришлифовывание зубов является абсолютно безопасной процедурой и не приводит к ухудщению состояния эмали даже на микроуровне.

Ставьте лайки этому посту и пишите в комментариях ваши вопросы по установке брекетов.

Больше постов и красивых фотографий вы найдете в нашем Инстаграме. Там можно задать вопросы врачу, посмотреть на реальные клинические случаи и узнать про актуальные акции на брекеты.