Добавить в корзинуПозвонить
Найти в Дзене
Врач УЗИ Антон Белый

Венозные камни (флеболиты).

Флеболиты (венозные камни) – это патологические включения в венах, подвергшиеся кальцификации тромбы. Флеболиты являются довольно распространенной проблемой. В малом тазу они присутствуют у 38,9–48% людей в общей популяции, другие анатомические зоны (голова, шея, ротовая полость) вовлекаются лишь у 2% населения. Заболеваемость увеличивается с возрастом: если у молодых пациентов частота патологии не превышает 50%, то после 70 лет она достигает 89%. Кальцинированные тромбы выявляются и у младенцев. Чаще всего заболеванин протекает бессимптомно, у большинства пациентов становятся случайной диагностической находкой, но в ряде случаев усиливают венозный застой, приводят к появлению болевого синдрома, провоцируют развитие осложнений. Распространенность патологии варьируется географически, причем самые высокие показатели наблюдаются в экономически развитых странах. Поражение вен малого таза чаще наблюдается у женщин, а для изменений в челюстно-лицевой области гендерных отличий не выявлено.

Флеболиты (венозные камни) – это патологические включения в венах, подвергшиеся кальцификации тромбы.

Флеболиты являются довольно распространенной проблемой. В малом тазу они присутствуют у 38,9–48% людей в общей популяции, другие анатомические зоны (голова, шея, ротовая полость) вовлекаются лишь у 2% населения. Заболеваемость увеличивается с возрастом: если у молодых пациентов частота патологии не превышает 50%, то после 70 лет она достигает 89%. Кальцинированные тромбы выявляются и у младенцев.

Чаще всего заболеванин протекает бессимптомно, у большинства пациентов становятся случайной диагностической находкой, но в ряде случаев усиливают венозный застой, приводят к появлению болевого синдрома, провоцируют развитие осложнений.

-2

Распространенность патологии варьируется географически, причем самые высокие показатели наблюдаются в экономически развитых странах. Поражение вен малого таза чаще наблюдается у женщин, а для изменений в челюстно-лицевой области гендерных отличий не выявлено.

Среди наиболее распространенных причин, связанных с образованием флеболитов, отмечают следующие:

▪️Сосудистые аномалии.

▪️Варикозное расширение вен.

▪️Тромбофлебиты.

▪️Повышение внутритазового давления.

▪️Болезни печени.

▪️Новообразования.

-3

Точный механизм развития венозных камней до конца не изучен. Согласно основной теории, в формировании флеболитов основная роль отводится нарушению гемодинамики, замедлению локального кровотока с последующим тромбообразованием. Процесс запускается посредством повреждением эндотелия и расстройства локальных механизмов коагуляции и фибринолиза. Тромбы, осевшие на стенке сосуда, организуются (прорастают фиброзной тканью), а затем обызиствляются. Эти процессы являются естественными этапами заживления.

Вначале формируется ядро будущего камня, а за тем, посредством вторичной кальцификации минирализуются концентрически расположенные волокна соединительной ткани. Повторение этого процесса раз за разом вызывает эффект наслоения, что приводит к росту флеболита.

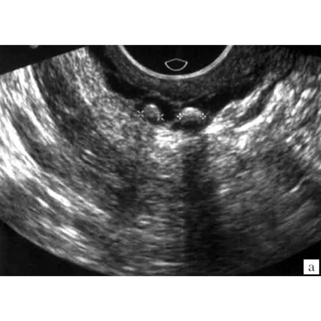
Чаще всего венозные камни имеют округлую или овальную форму. Наибольшим диаметром они ориентируются по ходу вены. Небольшие образования (до 4 мм) менее кальцифицированы, чем крупные, что объясняет повышенную рентгеноконтрастность последних.

-4

Общепринятой классификации конкрементов нет. Но их можно систематизировать по локализации, степени прикрепления к стенке сосуда, количеству, размерам:

🔸Тазовые и надтазовые

🔸Фиксированные и свободные

🔸 Единичные и множественные

🔸Мелкие (до 5 мм)

🔸Средние (до 10 мм)

🔸Крупные (свыше 10 мм)

В большинстве случаев флеболиты бессимптомны, однако в зависимости от размеров и локализации некоторые из них могут заявить о себе. При этом симптоматика не имеет характерных особенностей, поэтому кальцификаты могут маскироваться под другие заболевания.

Так, например, поражение тазовых вен с варикозным расширением стенки и застоем крови может сопровождаться чувством тяжести, дискомфортом в зоне мочевого пузыря и половых органов, усиливающимися при длительном сидении или стоянии. Увеличение диаметра камней провоцирует боли соответствующей локализации, отдающие в живот, пояснично-крестцовую область, нижние конечности. Они часто схожи с таковыми при почечной колике.

-5

Несмотря на то, что флеболиты считаются безвредными образованиями, распространены случаи, когда они ассоциируются с тромбозом, указывая на риск рецидива окклюзии. Варикозное расширение венозной стенки, усугубляющееся при наличии камней, лишь усиливает вероятность повторного тромбирования. Мигрирующие обызвествления, попавшие в воротную вену, способны стать источником легочной эмболизации с достаточно серьезными последствиями, вплоть до летального исхода.

Поскольку типичных клинических признаков флеболиты не имеют, ведущую роль в их диагностике отводится лучевым методам диагностики венозной системы. При подозрении на внутрисосудистые включения информативны:

🔹 УЗИ

🔹 Рентгенография

🔹 КТ

🔹 МРТ

При бессимптомном течении лечение не требуется.

В случае когда флеболиты становятся причиной гемодинамических расстройств применяются следующие хирургические методы:

🔺Склеротерапия

🔺Лазерная коагуляция

🔺Флебэктомия (удаление вены)

🔺Локальное, точечное, удаление флеболитов

🔺 Установка кавафильтра (специальный фильтр в нижней полой вене). Применяется при наличие свободных включений в нижней полой вене.

Консервативная терапия может включать прием антикоагулянтов, нестероидных противовоспалительных средств. Для уменьшения застойных явлений в тазовой области рекомендуют упражнения лечебной физкультуры, восходящий контрастный душ.