Найти в Дзене
Спасибо.Клиник

ОРТОДОНТИЯ: ДО - ПОСЛЕ

Зубы в таком положении постоянно перегружаются: Пока пациентка жаловалась только на дискомфорт при жевании, но через несколько лет появились бы серьезные неприятности. Повышенная стираемость зубов, дисфункция ВНЧС, клиновидные дефекты и рецессия десны... А позже возможно, асимметрия лица, так как мышцы справа и слева работают по-разному. Нужно выравнивать! 🦷Перед брекетами пациентка 3 месяца носила аппарат Spring Jet для одностороннего расширения верхней челюсти. Это неудобная конструкция, но челюсть нужно было расширить. Лечение на металлической брекет-системе заняло 1,5 года, и наконец все позади. ⚙️Ортодонтия - Кобзева Елена
НЕОБХОДИМА КОНСУЛЬТАЦИЯ СПЕЦИАЛИСТА Наши контакты 125047, г. Москва, ул. Фадеева, 6с3 #брекетымосква #ортодонтическоелечение #брекетыэтомодно #выравниваниезубов #перекрестныйприкус #брекетыдоипосле
Оглавление

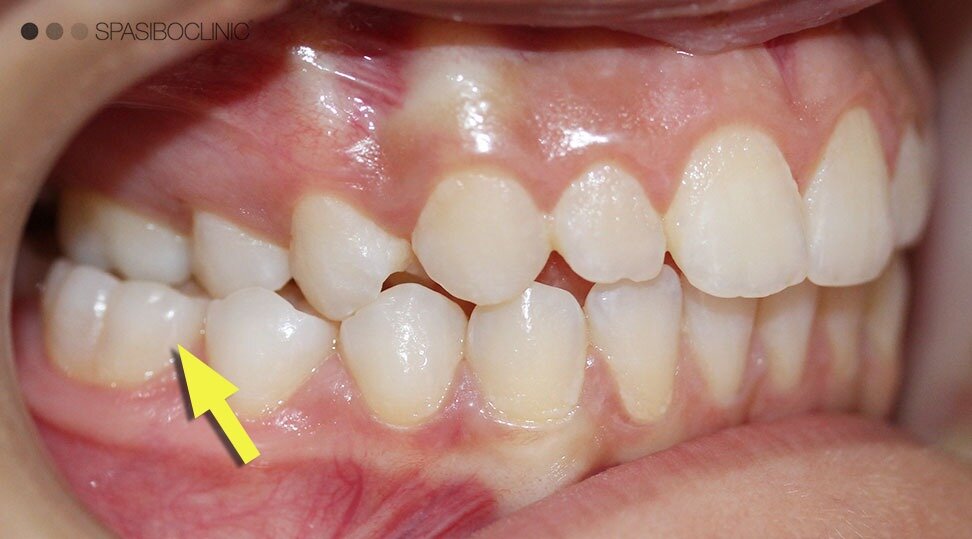
Зубы в таком положении постоянно перегружаются:

-2

Пока пациентка жаловалась только на дискомфорт при жевании, но через несколько лет появились бы серьезные неприятности. Повышенная стираемость зубов, дисфункция ВНЧС, клиновидные дефекты и рецессия десны... А позже возможно, асимметрия лица, так как мышцы справа и слева работают по-разному.

Нужно выравнивать!

-3

🦷Перед брекетами пациентка 3 месяца носила аппарат Spring Jet для одностороннего расширения верхней челюсти. Это неудобная конструкция, но челюсть нужно было расширить.

Лечение на металлической брекет-системе заняло 1,5 года, и наконец все позади.

-4
-5
-6

⚙️Ортодонтия - Кобзева Елена

НЕОБХОДИМА КОНСУЛЬТАЦИЯ СПЕЦИАЛИСТА

Наши контакты

125047, г. Москва, ул. Фадеева, 6с3

-7

#брекетымосква #ортодонтическоелечение #брекетыэтомодно #выравниваниезубов #перекрестныйприкус #брекетыдоипосле