Найти в Дзене

Примеры того, что на самом деле скрывается под "черной точкой" на зубах

Добрый день, уважаемые читатели! В этой статье стоматология "Столица" покажет Вам примеры наших работ до и после лечения "маленьких черных точек на зубах" - кариеса. Пример 1 Пример 2 Пример 3 🦷 В стоматологической клинике "Столица" вы можете пройти полную гигиену полости рта в виде профессиональной чистки и лечения кариеса с использованием совершенных материалов и технологий. Наши услуги соответствуют европейским стандартам качества, поэтому мы предоставляем гарантию на услуги 10 и более лет! 🦷 Переходите по ссылке, чтобы получить бесплатную консультацию! Необходима консультация специалиста
Оглавление

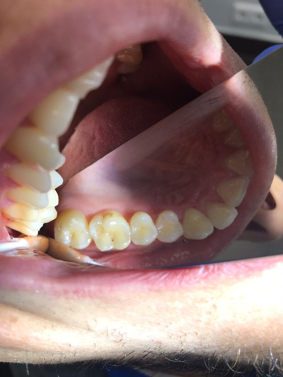
Добрый день, уважаемые читатели!

В этой статье стоматология "Столица" покажет Вам примеры наших работ до и после лечения "маленьких черных точек на зубах" - кариеса.

Пример 1

-2
-3
-4

Пример 2

-5

-6
-7
-8
-9

Пример 3

-10
-11
-12
-13

🦷 В стоматологической клинике "Столица" вы можете пройти полную гигиену полости рта в виде профессиональной чистки и лечения кариеса с использованием совершенных материалов и технологий. Наши услуги соответствуют европейским стандартам качества, поэтому мы предоставляем гарантию на услуги 10 и более лет!

🦷 Переходите по ссылке, чтобы получить бесплатную консультацию!

Необходима консультация специалиста