Добавить в корзинуПозвонить
Найти в Дзене

Как создается керамический винир? Закульсье лаборатории

Сегодня обсудим еще одну интересную тему, которая волнует, наверное, очень многих. Как же на свет появляется керамический винир, который потом становится частью зуба пациента? Поделится секретами из закулисья лаборатории старший зубной техник клиники Simplex Руслан Власов. Решение о том, что улыбку пациента в скором времени украсит керамический винир, принимает лечащий ортопед – по показаниям и исходя из клинической ситуации. Первый шаг на пути к красивой улыбке Будущая улыбка начинается с цифрового дизайна, или 3D моделирования формы будущего зуба. На помощь приходит технология CAD/CAM. Макет моделируется исходя из индивидуальных параметров пациента – во внимание принимаются его овал лица и размер зубов. При помощи современных технологий пациент уже здесь и сейчас – до начала медицинских манипуляций – видит конечный результат работы команды врачей. Из чего делают виниры? В Simplex для изготовления винира используем стеклокерамику e.max от Ivoclar Vivadent – этот материал обладает луч
Оглавление

Сегодня обсудим еще одну интересную тему, которая волнует, наверное, очень многих. Как же на свет появляется керамический винир, который потом становится частью зуба пациента? Поделится секретами из закулисья лаборатории старший зубной техник клиники Simplex Руслан Власов.

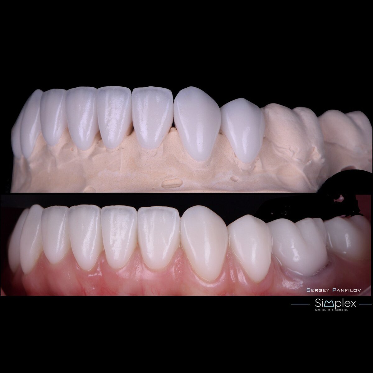
На фото – зубы пациента до установки (верхнее фото), фото виниров на гипсовой модели (в центре) и уже после переноса пациенту (нижнее фото)
На фото – зубы пациента до установки (верхнее фото), фото виниров на гипсовой модели (в центре) и уже после переноса пациенту (нижнее фото)

Решение о том, что улыбку пациента в скором времени украсит керамический винир, принимает лечащий ортопед – по показаниям и исходя из клинической ситуации.

Первый шаг на пути к красивой улыбке

Будущая улыбка начинается с цифрового дизайна, или 3D моделирования формы будущего зуба. На помощь приходит технология CAD/CAM. Макет моделируется исходя из индивидуальных параметров пациента – во внимание принимаются его овал лица и размер зубов. При помощи современных технологий пациент уже здесь и сейчас – до начала медицинских манипуляций – видит конечный результат работы команды врачей.

Изображение виниров на гипсовой модели и после установки
Изображение виниров на гипсовой модели и после установки

Из чего делают виниры?

В Simplex для изготовления винира используем стеклокерамику e.max от Ivoclar Vivadent – этот материал обладает лучшими оптическими свойствами, что позволяет специалисту добиться максимального сходства с естественным зубом.

Виниры на гипсовой модели
Виниры на гипсовой модели

Может ли пациент сам выбрать форму будущего зуба?

Если речь идёт о керамической реставрации, изготовленной по макету, то врачи могут скорректировать некоторые нюансы по желанию пациента: например, добавить уголки или поменять длину зуба. Эти изменения учитываются на этапе изготовления макета (3D дизайна).

Улыбка пациента с установленными винирами
Улыбка пациента с установленными винирами

Долго ли техник делает один зуб?

В среднем на изготовление одного винира уходит от 2 до 5 часов. Самое сложное в этой работе – это воспроизведение эстетики. А достигается она при помощи послойного и порционного нанесение керамических масс (это специальный порошок, смешанный с жидкостью).

Поочередно прорабатываются и спекаются следующие слои:

1. дентинный слой;

2. слой мамелоновой массы (для создания привычного контура зуба);

3. импульсная масса;

4. транспарентная масса – прозрачный керамический слой, который хорошо проводит свет;

5. масса режущего края.

Процесс фиксации винира
Процесс фиксации винира

Готовый винир фиксируется на мастер-модель и отправляется в клинику в специальном защитном боксе. В среднем за день зубной техник может изготовить от 5 до 10 керамических виниров.

От мастерства техника напрямую зависит насколько естественной, красивой и долговечной будет улыбка.

#стоматология #винир #керамика #emax #зубнойтехник #simplexclinic #докторперепеченкова