Найти в Дзене
Юлия Селютина

Перелечивание "красного" зуба

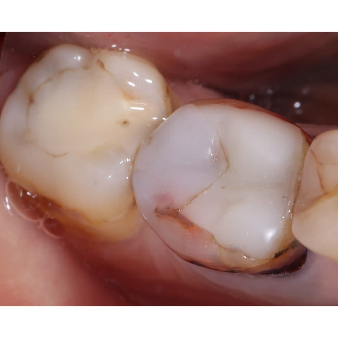
Очередной "красный" зуб и сложное перелечивание каналов. Очень часто эндодонтисты не берутся перелечивать резорцин-формалиновые зубы и приговаривают их к удалению. Но наши врачи не пасуют перед такими сложными задачами. Потому что в #ЦентрСелютиной есть всё необходимое для качественного лечения: это современные инструменты, микроскоп и настоящие профессионалы своего дела❤️ Зуб шестой. Ранее пролечен резорцин-формалином — это устаревший способ, он не позволяет качественно запломбировать каналы и в результате в них возникает воспаление, которое впоследствии выходит за верхушку корня. Что и случилось в нашем примере. Под зубом образовалась "киста". Зуб укреплен анкерным штифтом — это создает еще одно препятствие для перелечивания. Чтобы пройти и пролечить каналы, требуется сначала этот штифт извлечь, а это сложно. Но, повторюсь, с микроскопом и мастерством доктора такая задача нам по плечу. ▪️Штифт извлекли предельно аккуратно; ▪️Прочистили и промыли каналы; ▪️Заложили лекарство; ▪️

Очередной "красный" зуб и сложное перелечивание каналов.

Очень часто эндодонтисты не берутся перелечивать резорцин-формалиновые зубы и приговаривают их к удалению.

Но наши врачи не пасуют перед такими сложными задачами.

Потому что в #ЦентрСелютиной есть всё необходимое для качественного лечения: это современные инструменты, микроскоп и настоящие профессионалы своего дела❤️

Зуб шестой.

Ранее пролечен резорцин-формалином — это устаревший способ, он не позволяет качественно запломбировать каналы и в результате в них возникает воспаление, которое впоследствии выходит за верхушку корня.

Что и случилось в нашем примере.

Под зубом образовалась "киста".

Зуб укреплен анкерным штифтом — это создает еще одно препятствие для перелечивания.

Чтобы пройти и пролечить каналы, требуется сначала этот штифт извлечь, а это сложно.

Но, повторюсь, с микроскопом и мастерством доктора такая задача нам по плечу.

-2

▪️Штифт извлекли предельно аккуратно;

-3

▪️Прочистили и промыли каналы;

-4
-5

▪️Заложили лекарство;

-6

▪️Восстановили стенки зуба;

-7

▪️Закрыли временной пломбой.

✔️На повторном приеме временную пломбу убрали;

-8

✔️Каналы запломбировали;

-9

✔️Восстановили зуб билдапом (искусственный зуб из композита);

✔️Направили пациента к ортопеду для дальнейшего покрытия коронкой;

✔️Параллельно вылечили четвертый, пятый и седьмой зуб от кариеса.

Работа в копилке стоматолога-эндодонтиста Галины Базылевой.

ИМЕЮТСЯ ПРОТИВОПОКАЗАНИЯ. НЕОБХОДИМА КОНСУЛЬТАЦИЯ СПЕЦИАЛИСТА.

-10