Добавить в корзинуПозвонить
Найти в Дзене
Павел Иванушкин

Как быть красивой в любом возрасте? (надо поставить виниры)

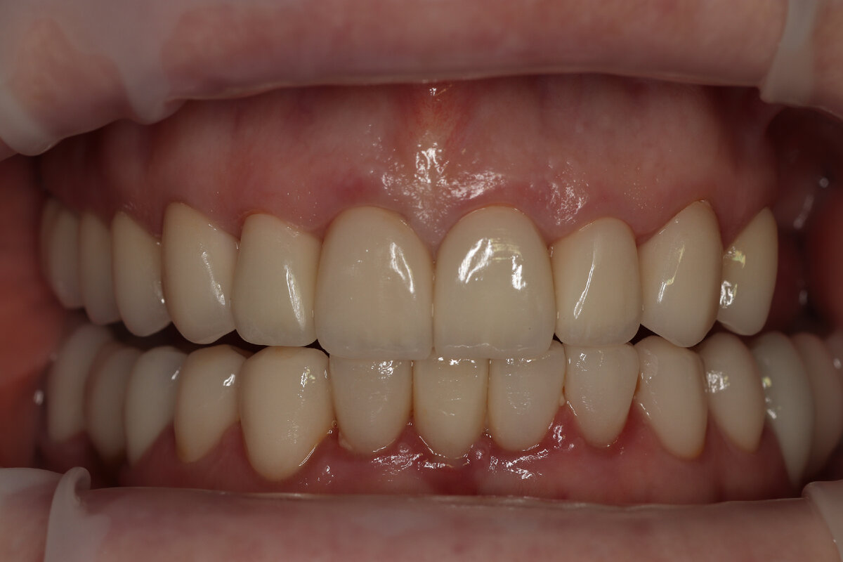
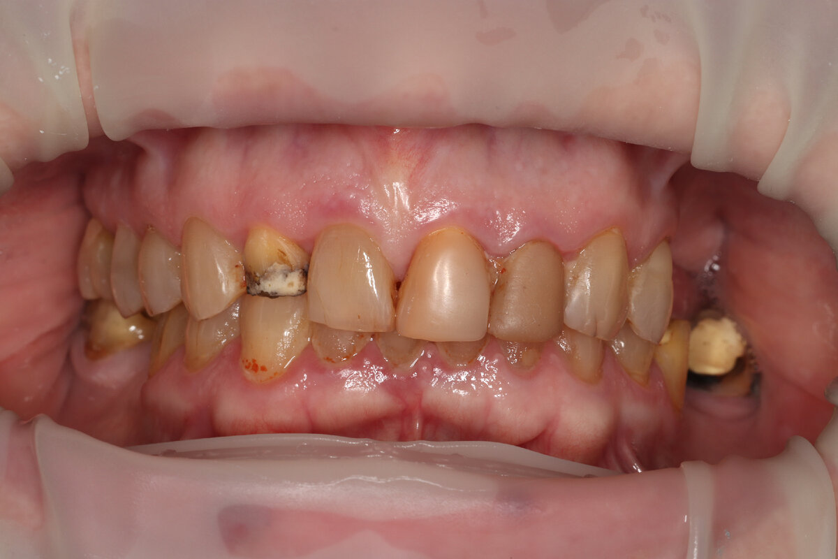
Сегодня буду краток. Пациентка 73 года обратилась с жалобами на нарушении эстетики. Пожелания сделать красивые зубы и соответственно улыбку. ДО ПОСЛЕ
Оглавление

Сегодня буду краток.

Пациентка 73 года обратилась с жалобами на нарушении эстетики. Пожелания сделать красивые зубы и соответственно улыбку.

ДО

ПОСЛЕ

-2