Найти в Дзене
Дмитрий Папинен

Проф. осмотр у стоматолога

Почему так важно приходить на проф. осмотр? Давайте приведу аналогию Представьте, Вы купили машину. Катаетесь на ней год, три, десять лет, иногда высвечиваются какие-то мигающие значки, иногда пропадают, но машина едет и Вас все устраивает, зачем же посещать тех. осмотр? И тут, спустя определенное количество лет, Вы едете на ней по автомагистрали, разогнались до предельной скорости и вдруг понимаете, что тормозная система неисправна. И в таком случае, как говорится, либо пан, либо пропал. Но как так, ведь раньше все было так хорошо? Что надо было сделать, чтобы этого избежать? Конечно проходить тех. осмотр и глушить проблемы на корню. Так теперь поймите, что ваши зубы – это ваша машина, только дороже и важнее в несколько раз. Вы спокойно можете поехать на метро или автобусе, но чем вы будете пережевывать, образовывать звуки и широко улыбаться, если у Вас не будет зубов? Именно поэтому тех. осмотр Ваших зубов это такая важная вещь. Не бойтесь профилактически посещать стоматолога, это с

Почему так важно приходить на проф. осмотр? Давайте приведу аналогию

Представьте, Вы купили машину. Катаетесь на ней год, три, десять лет, иногда высвечиваются какие-то мигающие значки, иногда пропадают, но машина едет и Вас все устраивает, зачем же посещать тех. осмотр?

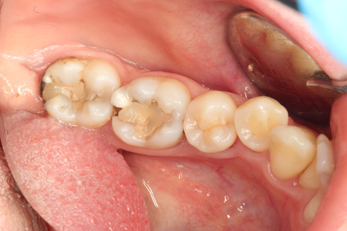
Пациент пришел на проф. осмотр, видим такую картину. Самое интересное, что его абсолютно ничего не беспокоит. Сегодня покажу семерку (последний зуб)
Пациент пришел на проф. осмотр, видим такую картину. Самое интересное, что его абсолютно ничего не беспокоит. Сегодня покажу семерку (последний зуб)

И тут, спустя определенное количество лет, Вы едете на ней по автомагистрали, разогнались до предельной скорости и вдруг понимаете, что тормозная система неисправна. И в таком случае, как говорится, либо пан, либо пропал. Но как так, ведь раньше все было так хорошо?

Промежуточный этап, вся задняя часть зуба в кариесе
Промежуточный этап, вся задняя часть зуба в кариесе
Вычистили весь кариес. Разрушение оказалось довольно глубоким, еще чуть-чуть и пришлось бы лечить зубик в каналах. Из-за того, что позади стоящий зуб еще не прорезался, пришлось прижимать металлическую матрицу, которая формирует выпуклую стенку зуба, вручную
Вычистили весь кариес. Разрушение оказалось довольно глубоким, еще чуть-чуть и пришлось бы лечить зубик в каналах. Из-за того, что позади стоящий зуб еще не прорезался, пришлось прижимать металлическую матрицу, которая формирует выпуклую стенку зуба, вручную

Что надо было сделать, чтобы этого избежать? Конечно проходить тех. осмотр и глушить проблемы на корню. Так теперь поймите, что ваши зубы – это ваша машина, только дороже и важнее в несколько раз. Вы спокойно можете поехать на метро или автобусе, но чем вы будете пережевывать, образовывать звуки и широко улыбаться, если у Вас не будет зубов? Именно поэтому тех. осмотр Ваших зубов это такая важная вещь. Не бойтесь профилактически посещать стоматолога, это сэкономит Вам множество времени и денег, которые Вы потратите, если «затяните» слишком долго

Финальное фото, отпускаем счастливого пациента домой
Финальное фото, отпускаем счастливого пациента домой