Добавить в корзинуПозвонить
Найти в Дзене

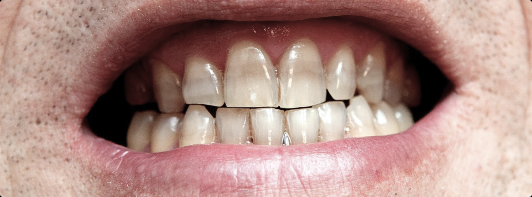
Как зубы чернеют из-за антибиотиков, и чем это лечить

Принимали медикаменты, а потом обнаружили, что зубы приобрели нездоровый желтовато-зелёный или даже бурый оттенок? Рассказываем о том, в чём причина такой проблемы, и о том, как её решать. Антибиотики тетрациклинового ряда – сильные лекарственные средства, которые часто бывают очень эффективными. Проблема в том, что они вступают в реакцию с кальцием, образовывая минеральные соединения. Именно эти соединения перекрашивают зуб в тёмный цвет. Особенно неприятно то, что если антибиотик принимала беременная женщина, у ребёнка зубки сразу могут появиться тёмными. Чем дольше был курс лечения, тем сильнее окрашивание. Плюс на поверхности зуба обычно видно целый градиент из нескольких оттенков. Чтобы исправить проблему, обязательно нужно обратиться к стоматологу. Лечение будет комплексным: Также может помочь профессиональное отбеливание. Только профессиональное, «народные средства» сделают хуже! Наша рекомендация: лечитесь антибиотиками только по предписанию врача – а если уже столкнулись с тет

Принимали медикаменты, а потом обнаружили, что зубы приобрели нездоровый желтовато-зелёный или даже бурый оттенок? Рассказываем о том, в чём причина такой проблемы, и о том, как её решать.

Антибиотики тетрациклинового ряда – сильные лекарственные средства, которые часто бывают очень эффективными. Проблема в том, что они вступают в реакцию с кальцием, образовывая минеральные соединения. Именно эти соединения перекрашивают зуб в тёмный цвет. Особенно неприятно то, что если антибиотик принимала беременная женщина, у ребёнка зубки сразу могут появиться тёмными.

Чем дольше был курс лечения, тем сильнее окрашивание. Плюс на поверхности зуба обычно видно целый градиент из нескольких оттенков.

Чтобы исправить проблему, обязательно нужно обратиться к стоматологу. Лечение будет комплексным:

  1. пролечить кариес;
  2. сделать профессиональную чистку зубов;
  3. провести терапевтическое лечение (реминерализация эмали);
  4. отполировать зубы;
  5. покрыть их фторлаком.

Также может помочь профессиональное отбеливание. Только профессиональное, «народные средства» сделают хуже!

Наша рекомендация: лечитесь антибиотиками только по предписанию врача – а если уже столкнулись с тетрациклиновыми зубами, не затягивайте с визитом к стоматологу.

Новороссийск: +7 861 730-23-67

Краснодар: +7 861 202-58-57

#стоматология #медицина #красота и здоровье