Добавить в корзинуПозвонить
Найти в Дзене

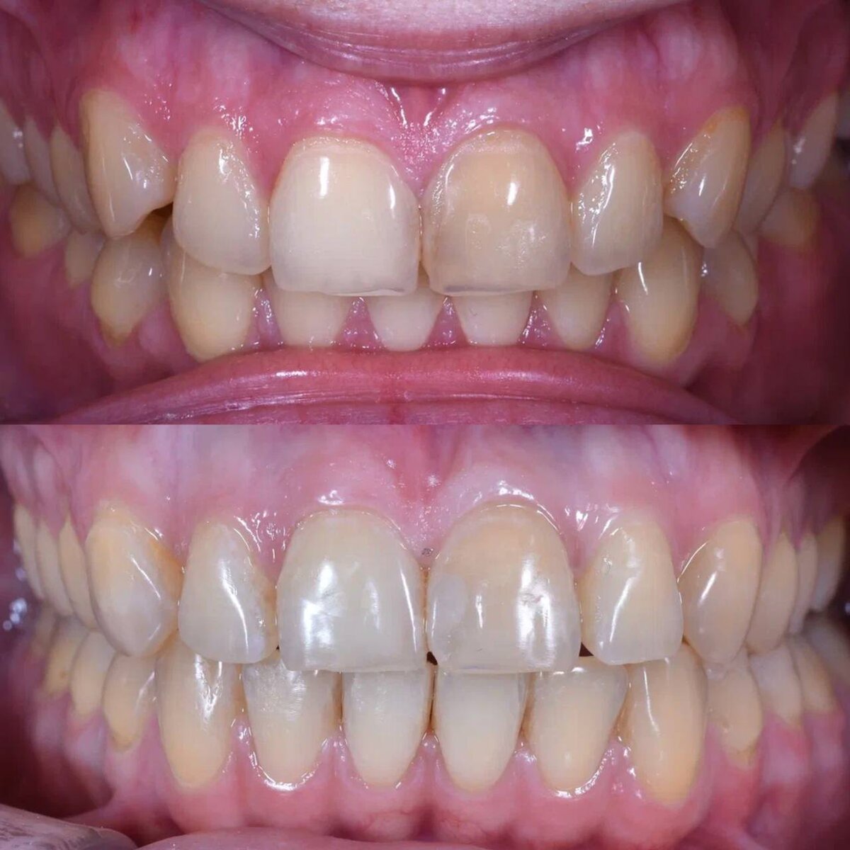
Стираемость зубов – проблема современности.

В наше время мы все подвержены воздействию сильных стрессов. Но мы даже не задумываемся о том, какие стоматологические последствия они за собой влекут. Одним из наиболее ярких проявлением стресса является бруксизм. Бруксизм — непроизвольное сжимание зубов, возникающее из-за спазма мышц. Бруксизм бывает дневной или ночной. Если дневной бруксизм мы можем контролировать, то ночной бруксизм остаётся бесконтрольным и может приводить к стираемости зубов. Итак, сегодня на примере одной из наших пациенток, хочу рассказать вам о том, как при помощи комплексного подхода к лечению, нам удалось справиться со стираемостью зубов и другими стоматологическими проблемами. Не забудьте подписаться на мой канал, чтобы не пропустить разбор интересных тем о здоровье зубов. Пациентка обратилась с жалобами на сильную стираемость и чувствительность зубов. Также, был выявлен неправильный прикус и сильный спазм жевательных мышц, который доставлял ей дискомфорт. Итак, на этой фотографии мы видим ярковыраженную ст

В наше время мы все подвержены воздействию сильных стрессов. Но мы даже не задумываемся о том, какие стоматологические последствия они за собой влекут.

Одним из наиболее ярких проявлением стресса является бруксизм.

Бруксизм — непроизвольное сжимание зубов, возникающее из-за спазма мышц. Бруксизм бывает дневной или ночной. Если дневной бруксизм мы можем контролировать, то ночной бруксизм остаётся бесконтрольным и может приводить к стираемости зубов.

Итак, сегодня на примере одной из наших пациенток, хочу рассказать вам о том, как при помощи комплексного подхода к лечению, нам удалось справиться со стираемостью зубов и другими стоматологическими проблемами.

Результат лечения
Результат лечения

Не забудьте подписаться на мой канал, чтобы не пропустить разбор интересных тем о здоровье зубов.

Пациентка обратилась с жалобами на сильную стираемость и чувствительность зубов. Также, был выявлен неправильный прикус и сильный спазм жевательных мышц, который доставлял ей дискомфорт.

Итак, на этой фотографии мы видим ярковыраженную стираемость зубов.

-2

Проведя ряд диагностик, мы определили следующие проблемы:

  • Неправильный прикус
  • Бруксизм
  • Спазм мышц
  • Стираемость зубов
  • Расхождение центральных линий
  • Чувствительных зубов

В данном случае, комплексное лечение началось с перепрограммирования мышц с помощью сплинт-терапии. Мы установили пациентке миорелаксирующий сплинт (ортодонтическая капа)

Сплинт-терапия – это метод лечения в стоматологии, который позволяет изменить активность мышц, способствует расслаблению жевательной мускулатуры и устранению дисфункции височно-нижнечелюстного сустава (ВНЧС).

С помощью миорелаксирующего сплинта мы нашли терапевтическое положение нижней челюсти, которое необходимо сохранить.

Далее мы удалили 8ые зубы и тем самым, создали место для правильного расположения зубов. Этап удаления 8ых зубов проходит 90% пациентов в нашей клинике, так как чаще всего зубы «мудрости» препятствуют правильному движению всего зубного ряда.

Основная задача нашей команды, не просто устранить последствия, а избавить пациента от причины их возникновения. И для того, чтобы комплексно решить проблему, на протяжении всего лечения пациентка посещала приемы врача-остеопата.

Черты лица стали более ярко выраженными
Черты лица стали более ярко выраженными

Он при помощи мануальных техник, провел диагностику всего организма и определил первоначальные причины возникновения проблем, которые были устранены благодаря специальному комплексу упражнений.

Далее мы зафиксировали пациентке брекеты и установили 1 мини-винт, который задавал ход движения зубов для восстановления центральной линии на верхней челюсти.

-4

Вернёмся к тому, что у пациентки была сильная стираемость зубов и для проведения качественного лечения, нам было необходимо восстановить утраченную анатомическую форму зубов с помощью керамических накладок. И на этом этапе пациентка была направлена к врачу-ортопеду.

Керамические накладки позволили нам:

  • Восстановить анатомическую форму зуба
  • Устранить последствия стираемости
  • Увеличить высоту прикуса
  • Зафиксировать зубы в нужном положении и не дать нижней челюсти «уходить» назад

После всех пройденных этапов лечения пациентку больше не беспокоит спазм мышц и бруксизм. Мы смогли создать красивую и здоровую улыбку, которая сохраниться на долгие годы благодаря комплексному подходу к лечению.

#Стоматологияспб #ортодонт #брекеты #элайнеры #удалениезубов #неправильныйприкус #зубымудрости #остеопат