Добавить в корзинуПозвонить
Найти в Дзене

БРЕКЕТЫ – НУЖНЫЙ АКСЕССУАР, ДЛЯ ТЕХ, КТО В ТРЕНДЕ

Многие убеждены, что брекеты – это больно, некрасиво и только для молодёжи. Мы хотим развеять это миф вместе с нашим стоматологом-ортодонтом Малхасьян Стеллой Гургеновной. БРЕКЕТЫ: КАКИЕ ВЫБРАТЬ В арсенале стоматологии «Флоренция» есть разные варианты брекет-систем: металлические, керамические, легатурные. В чем их отличие, чем руководствоваться при выборе? Я советую в таких случаях сначала определиться, что является для вас более приоритетным: эстетика или скорость лечения. Также следует обратить внимание на сопутствующие заболевания, потому что на некоторые виды брекет-систем могут быть аллергические реакции, в таких случаях стоит рассмотреть керамические брекеты или систему элайнеров. Вообще, чтобы разобраться во всех видах необходимо уяснить, что сейчас существуют лигатурные и самолигирующие брекет-системы. Такие системы присутствуют и в металлических, и керамических брекетах. Лигатурные брекет-системы Эта система, в которой дуга держится с помощью лигатур, они подлежит замене кажд
Оглавление

Многие убеждены, что брекеты – это больно, некрасиво и только для молодёжи. Мы хотим развеять это миф вместе с нашим стоматологом-ортодонтом Малхасьян Стеллой Гургеновной.

БРЕКЕТЫ: КАКИЕ ВЫБРАТЬ

В арсенале стоматологии «Флоренция» есть разные варианты брекет-систем: металлические, керамические, легатурные. В чем их отличие, чем руководствоваться при выборе?

Я советую в таких случаях сначала определиться, что является для вас более приоритетным: эстетика или скорость лечения. Также следует обратить внимание на сопутствующие заболевания, потому что на некоторые виды брекет-систем могут быть аллергические реакции, в таких случаях стоит рассмотреть керамические брекеты или систему элайнеров.

Вообще, чтобы разобраться во всех видах необходимо уяснить, что сейчас существуют лигатурные и самолигирующие брекет-системы. Такие системы присутствуют и в металлических, и керамических брекетах.

Лигатурные брекет-системы

Эта система, в которой дуга держится с помощью лигатур, они подлежит замене каждые 3-4 недели.

Частично лигатурная брекет-система
Частично лигатурная брекет-система

Самолигирующие брекет-системы

В них нет заменяемых элементов, только брекет, крышка и сама дуга. С этой системой к стоматологу нужно ходить один раз в 6-7 недель. Лечение на таких системах будет проходить быстрее – ориентировочно 5-6 месяцев.

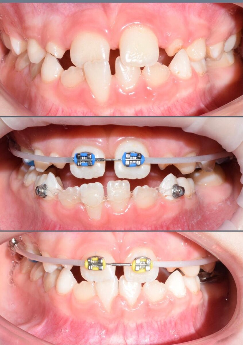
Самолигирующая брекет система. Динамика за 4 мес лечения.
Самолигирующая брекет система. Динамика за 4 мес лечения.

Металические брекеты

Используются чаще остальных. В некоторых случаях они могут вызвать аллергическую реакцию, но при этом менее прихотливы в уходе. Например, если брекет отклеился от зуба, то он, скорее всего не деформируется и его можно будет фиксировать повторно.

Керамические брекеты

Объективно более хрупкие, поэтому если есть какие-то предпосылки к механическим воздействиям (спорт, например), то рекомендую отдать предпочтение металлу.

Более всего при установке брекетов беспокоит эстетический вид, но ведь существуют лингвальные (внутренние), которые как раз незаметны окружающим. Значит, их можно рекомендовать всем эстетам или существуют какие-то особенности, противопоказания?

На самом деле сейчас пациенты не комплексуют по-поводу наличия брекет-систем. Здоровье, наконец, вошло в моду. Если говорить о лингвальной системе, то она очень сложна к привыканию, ну и ценовая категория на порядок выше вестибулярных брекетов.

БРЕКЕТЫ: ОСОБЕННОСТИ ДЛЯ РАЗНЫХ КАТЕГОРИЙ ПАЦИЕНТОВ

Да, здоровье стало трендом и в последнее время брекеты воспряли на новой волне популярности. И произошло это не без участия многих известных особ – Регины Тодоренко, например. Кстати, а можно ли носить брекеты во время беременности?

Регина Тодоренко
Регина Тодоренко

Если беременность случилась во время лечением брекетами, то, конечно, уже сворачивать с пути не стоит. Если же беременность запланированная, то к ортодонтическому лечению следует приступать после родов. Потому что беременность сопровождается перестройкой гормонального фона организма будущей мамы. И с одной стороны, костная ткань беременной женщины становится мягче, следовательно, перемещаться зубы будут быстрее. С другой стороны, пациентка может пропускать визиты к стоматологу ввиду необходимости стационарного наблюдения за беременностью.

Правда ли, что «чем раньше наденешь брекеты, тем меньше носить»?

Всё зависит от клинического случая. У нас бывают и взрослые пациенты, которые проходят ортодонтическое лечение в короткие сроки. Но в большинстве случаев, конечно, в молодом возрасте лечение проходит быстрее, потому что все гистохимические процессы в кости активнее.

Имеет ли смысл ставить брекеты в 30, 40 лет?

Конечно, если есть медицинские показания. Ведь неправильное положение зубов, кроме эстетического неудобства, может пагубно влиять на здоровье в целом. Сейчас у меня проходит лечение пациент, которому 64 года.

Если во рту есть коронки, имплантаты, можно ли ставить брекеты?

Если у пациента уже остановлены имплантаты, то они, конечно, уже не подлежат никакому перемещению. Тут либо ставить их повторно, либо заменять коронку.

БРЕКЕТЫ И СОЦИАЛЬНАЯ ЖИЗНЬ

-5

Многих останавливает опасение, что установленная во рту конструкция испортит надолго качество жизни, например, отберёт возможность целоваться?

Таких жалоб от пациентов не поступало. Все брекеты достаточно прочно закреплены на своем месте, дуги и замочки не имеют острых краев, так что никакие травмы вам не грозят, и вы сможете наслаждаться личной жизнью.

Занятия спортом и брекеты: скорее всего фитнесу или бегу, они не помешают, а если речь о контактных видах спорта (борьба, бокс)?

Мы, конечно, предупреждаем всех пациентов из группы риска о необходимости быть более аккуратными. Но для дополнительной защиты их здоровья также рекомендуем использовать силиконовую каппу, которая будет защищать зубы во время ортодонтического лечения.

Как быть молодым людям призывного возраста: ставить брекеты или сначала отдать долг Родине? Ведь регулярный уход за брекет-системой затруднителен для молодых парней во время службы в армии.

Подписывайтесь на наш канал, ставьте лайки за интересный материал и читайте наши подборки на тему стоматологии и косметологии.

Информация подготовлена врачом-стоматологом клиники Флоренция.

Записывайтесь на консультацию: 8 (812) 220-86-19

#брекеты на зубы #поставить брекеты #керамические брекеты #металлические брекеты #лингвальные брекеты #стоматология спб