Найти в Дзене
Дмитрий Папинен

Зубы мудрости. Что предки нам завещали?

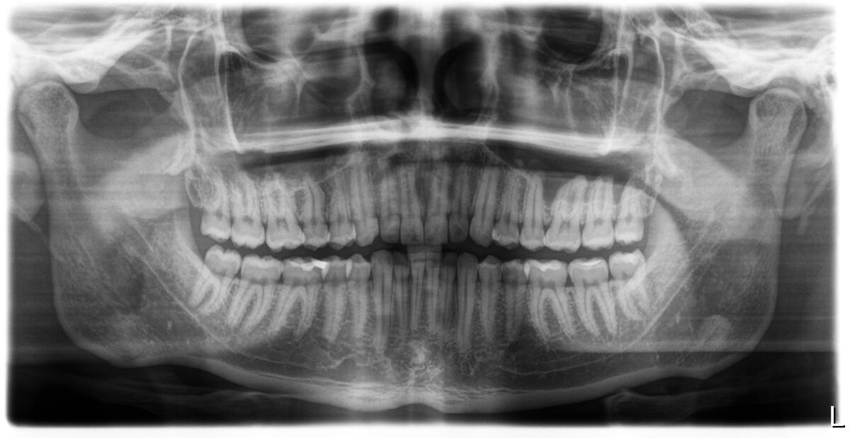
Зубы мудрости, или восьмерки, есть в разном количестве почти у каждого нашего пациента, у кого-то они почти не вызывают неприятностей, а у кого-то мы видим такую картину: Зачем же нам вообще нужны зубы мудрости и почему они все время норовят прорезаться не так и подвигать рядом стоящие зубы? Ответ прост, зубы мудрости - это рудимент, то есть орган, который достался нам от наших далеких предков, которым нужен был третий комплект жевательных зубов для того, чтобы перемалывать плохо обработанную пищу. Со временем и развитием кулинарных навыков, потребность в том, чтобы пережевывать слишком жесткую пищу отпала, эволюция начала сужать челюсти и для восьмерок совершенно не осталось места, а в отдельных случаях (о, счастливчики!) вообще перестала закладывать зачатки восьмых зубов. Как восьмерки могут нам помешать и почему большинство стоматологов ставят крест на этих зубах? На самом деле все зависит от каждого конкретного случая Но в подавляющем большинстве случаев, в челюсти не хватает мест
Оглавление

Зубы мудрости, или восьмерки, есть в разном количестве почти у каждого нашего пациента, у кого-то они почти не вызывают неприятностей, а у кого-то мы видим такую картину:

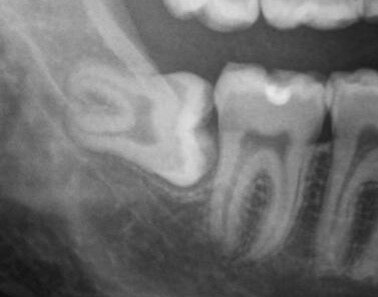
Горизонтальное положение зуба мудрости, одно из самых неприятных, потому что  у зуба нет ни одного процента на нормальное прорезывание, так еще для того, чтобы его удалить, порой приходится убирать всю вышележащую кость.
Горизонтальное положение зуба мудрости, одно из самых неприятных, потому что у зуба нет ни одного процента на нормальное прорезывание, так еще для того, чтобы его удалить, порой приходится убирать всю вышележащую кость.

Зачем же нам вообще нужны зубы мудрости и почему они все время норовят прорезаться не так и подвигать рядом стоящие зубы?

Ответ прост, зубы мудрости - это рудимент, то есть орган, который достался нам от наших далеких предков, которым нужен был третий комплект жевательных зубов для того, чтобы перемалывать плохо обработанную пищу. Со временем и развитием кулинарных навыков, потребность в том, чтобы пережевывать слишком жесткую пищу отпала, эволюция начала сужать челюсти и для восьмерок совершенно не осталось места, а в отдельных случаях (о, счастливчики!) вообще перестала закладывать зачатки восьмых зубов.

Как восьмерки могут нам помешать и почему большинство стоматологов ставят крест на этих зубах?

На самом деле все зависит от каждого конкретного случая

Например у этого пациента все четыре зуба мудрости прорезались правильно и даже в полости рта стоят ровно
Например у этого пациента все четыре зуба мудрости прорезались правильно и даже в полости рта стоят ровно

Но в подавляющем большинстве случаев, в челюсти не хватает места для этих зубов:

Типичный случай. Восьмёрка ещё не прорезалась, но мы можем увидеть вектор её прорезывания, на котором видно, что места ей явно не хватит, она будет упираться в семёрку и сдвигать её, а затем и весь зубной по принципу домино
Типичный случай. Восьмёрка ещё не прорезалась, но мы можем увидеть вектор её прорезывания, на котором видно, что места ей явно не хватит, она будет упираться в семёрку и сдвигать её, а затем и весь зубной по принципу домино

Какое тут может быть решение? Если мы видим такую картину, то решение только одно - удаление зуба. Бояться этого не нужно, зуб все равно не сможет прорезаться в обход рядомстоящего и даже если он каким-то чудом встанет в зубной ряд, жевать он не будет, так как антагониста у него нет, соответственно никакой функции он не несёт.

Также такие зубы очень сложны для качественной чистки из-за своего дальнего расположения, что представляет собой бомбу замедленного действия

Так что не бойтесь обследоваться и удалять свои зубы мудрости, ведь чем раньше вы о них узнаете, тем легче будет предупредить и решить все проблемы