Добавить в корзинуПозвонить
Найти в Дзене
Юлия Селютина

Тотальная реабилитация возрастного пациента

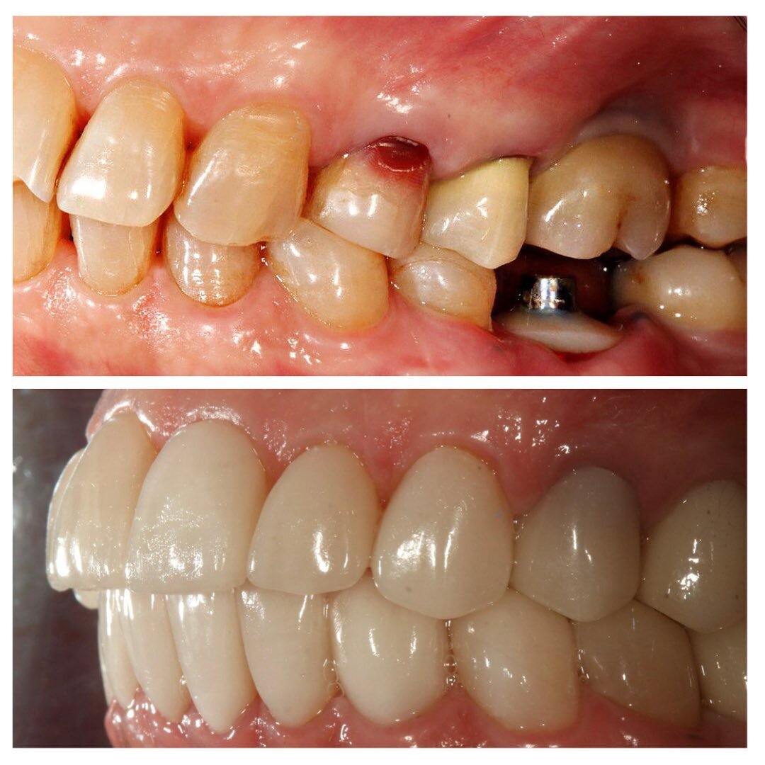
С возрастом зубы стираются и теряют высоту. Это влияет на суставы челюсти, качество пережевывания пищи, эстетику улыбки и всего овала лица. Пациентке на фото 63 года. У нее были жалобы на мигрени по утрам — это еще один симптом проблем с височно-нижнечелюстным суставом (ВНЧС). Но обратилась она к доктору Денису Фоменко не за этим. У нее треснул шестой зуб, требовалось удаление и замена имплантом. Но только эта мера не решила бы проблему с головными болями🤷🏻‍♀️ Доктор Фоменко предложил тотальное протезирование, чтобы поднять высоту прикуса. ✅Итого было сделано 28 реставраций — коронки и виниры. Смотрите фото. Как результат, у пациентки теперь здоровая и эстетичная улыбка. А самое главное — мигрени ушли! Считается, что около 90% мигреней начинаются из-за неправильного прикуса. Какие стоматологические заболевания провоцируют головную боль? • Гипертонус жевательных мышц; • Неправильное положении нижней челюсти; • Недостаток кислорода при наличии ночного апноэ; • Хроническое напряжение

С возрастом зубы стираются и теряют высоту.

Это влияет на суставы челюсти, качество пережевывания пищи, эстетику улыбки и всего овала лица.

Пациентке на фото 63 года.

У нее были жалобы на мигрени по утрам — это еще один симптом проблем с височно-нижнечелюстным суставом (ВНЧС).

Но обратилась она к доктору Денису Фоменко не за этим.

У нее треснул шестой зуб, требовалось удаление и замена имплантом.

Но только эта мера не решила бы проблему с головными болями🤷🏻‍♀️

Доктор Фоменко предложил тотальное протезирование, чтобы поднять высоту прикуса.

-2
-3

✅Итого было сделано 28 реставраций — коронки и виниры. Смотрите фото.

Как результат, у пациентки теперь здоровая и эстетичная улыбка.

А самое главное — мигрени ушли!

-4

Считается, что около 90% мигреней начинаются из-за неправильного прикуса.

Какие стоматологические заболевания провоцируют головную боль?

• Гипертонус жевательных мышц;

• Неправильное положении нижней челюсти;

• Недостаток кислорода при наличии ночного апноэ;

• Хроническое напряжение жевательных, височных мышц и мышц, идущих к суставной головке и диску нижнечелюстного сустава.

Поэтому, если у вас появилась боль, ограничение открывания рта, головокружение, затруднение при глотании, звон в ушах и т.д., то посетите врача стоматолога-гнатолога.

На первичной консультации (а она занимает около часа и даже больше) специалист выявит возможные патологии и порекомендует оптимальное лечение.

ИМЕЮТСЯ ПРОТИВОПОКАЗАНИЯ. НЕОБХОДИМА КОНСУЛЬТАЦИЯ СПЕЦИАЛИСТА.

-5