Добавить в корзинуПозвонить
Найти в Дзене

Пародонтопатия: причины, симптомы и лечение

Термин пародонтопатия относится к заболеваниям пародонта. Пародонт - это комплекс тканей, которые анатомически и функционально близки к зубу. Основная функция пародонта - зафиксировать зуб в костном ложе.
К заболеваниям пародонта относятся три основные патологические ситуации:
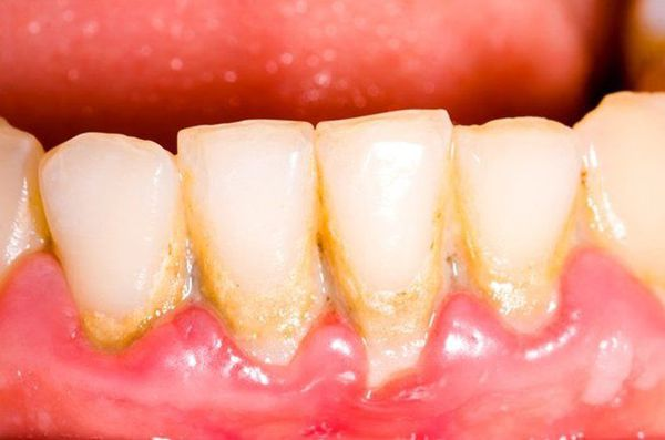
гингивит, пародонтит и пародонтальная атрофия. Симптомы и проявления пародонтопатии, методы лечения Гингивит - это заболевание десен воспалительного характера. Это может быть вызвано рядом причин, но основная причина - наличие зубного налета - возникает так называемый гингивит, связанный с зубным налетом. Зубной налет также связан тесно с развитием кариеса.
Зубной налет можно рассматривать как очень уникальную экологическую единицу, которая образована бактериями и матриксом, межклеточной массой, которая имеет слюнное и частично бактериальное происхождение. Зубной налет состоит из характерных бактерий. Бактерии используют сахара, которые превращаются в органические кислоты, которые действуют на зубную эмаль, кото

Термин пародонтопатия относится к заболеваниям пародонта. Пародонт - это комплекс тканей, которые анатомически и функционально близки к зубу. Основная функция пародонта - зафиксировать зуб в костном ложе.
К заболеваниям пародонта относятся три основные патологические ситуации:
гингивит, пародонтит и пародонтальная атрофия.

Симптомы и проявления пародонтопатии, методы лечения

Гингивит - это заболевание десен воспалительного характера. Это может быть вызвано рядом причин, но основная причина - наличие зубного налета - возникает так называемый гингивит, связанный с зубным налетом. Зубной налет также связан тесно с развитием кариеса.
Зубной налет можно рассматривать как очень уникальную экологическую единицу, которая образована бактериями и матриксом, межклеточной массой, которая имеет слюнное и частично бактериальное происхождение. Зубной налет состоит из характерных бактерий.

Бактерии используют сахара, которые превращаются в органические кислоты, которые действуют на зубную эмаль, которую они деминерализуют (извлекают кальций из эмали), эмаль размягчается, в ней образуются полости, которые заполняют остатки пищи, и здесь размножаются бактерии. Они также производят протеолитические ферменты, расщепляющие органические компоненты зуба. Образуется кариес, который может распространяться на более глубокие части зуба - на зубной дентин, а также на пульпу зуба.

Пульпа зуба - это жизненно важный компонент зуба, в котором находятся кровеносные сосуды и нервы тонкой фиброзной стромы. Бактериальная инфекция вызывает некроз и гангрену пульпы зуба - зуб погибает. Подводя итог, можно сказать, что такие факторы, как бактерии, присутствие сахаров в пище и время, в течение которого человек позволяет им работать при плохой гигиене полости рта, важны для развития кариеса. Ацидогенная паразитарная теория Миллера 1889 г. описывает всю эту концепцию кариеса.

Микроорганизмы также оказывают вредное воздействие на десны, где зубной налет, зубной камень, неправильный прикус или плохие зубные протезы раздражают десну и вызывают ее воспаление.
Однако воспаление десен может быть вызвано и другими факторами. Примером может служить заболевание под названием герпетический гингивостоматит. Это заболевание, вызывающее гингивит, а также воспаление слизистой оболочки полости рта - стоматит. Возбудитель - вирус.

Заболевание является проявлением первичной инфекции - инфекции, возникающей при первом контакте с вирусом, поэтому она возникает у маленьких детей. Заболевшие дети от 1 до 3 лет. Инкубационный период заболевания составляет около 5 дней. У больного сначала продромальная стадия, когда у ребенка повышена температура, болят мышцы и суставы. Позже температура спадает, и в ротовой полости появляются волдыри, которые легко теряют свою оболочку - болезнь сильно болит, ребенок отказывается от еды и ему грозит обезвоживание, поэтому в более серьезных случаях ребенка необходимо госпитализировать в больницу.

Однако полностью вылечить вирус невозможно, поскольку вирус скрывается (сохраняется) от иммунной системы в ганглии тройничного нерва. Там вирус присутствует практически всю жизнь человека. Если иммунитет человека снижен, например, при чрезмерной физической активности, связанной с обезвоживанием, лихорадкой и т. д., возникает характерный герпес.

Другим примером воспаления десен может быть некротический гингивостоматит, который вызван чрезмерным ростом анаэробных бактерий. Заболевание в основном поражает людей в возрасте 17-24 лет и проявляется сильным воспалением десны, которая некротизируется. Очень частый симптом - гнилостный запах. Лечение пародонтопатии заключается в строгой гигиене полости рта, ополаскивании окислителями, особенно перекисью водорода. В более тяжелых случаях - антибиотики.

Поражение десен также очень распространено при СПИДе, лейкемии и т. д.
Пародонтит - очень распространенное заболевание, которым страдает около трети населения. Мужчины и женщины страдают примерно одинаково. Заболевание чаще всего проявляется в возрасте 35-40 лет. Заболеваемость увеличивается с возрастом.
Если к пародонтиту, который является предшественником заболевания, отнести хронический гингивит, то страдает около 85% населения, то есть огромное количество. Это заболевание плюс кариес - самые распространенные болезни.

Самым большим неудобством для пациента с пародонтитом (на поздней стадии) является шатание и постепенная потеря зубов. На первый взгляд это может показаться относительно незначительным заболеванием, но есть исследования, согласно которым у беременной женщины с пародонтитом примерно в 7 раз выше вероятность выкидыша или родов с маловесным ребенком. Исследования также показывают, что стоматологическое лечение этих женщин способно предотвратить примерно одну из пяти преждевременных родов.

Однако пародонтит увеличивает риск осложнений у людей с диабетом, сердечными или легочными заболеваниями. Это связано с тем, что большое количество бактерий может попасть в кровь при употреблении пищи или жевании (это также относится к здоровому человеку). Человек с дефектным сердечным клапаном или после его замены подвержен риску эндокардита, который во многих случаях заканчивается летальным исходом. Таких примеров много. Также существует более высокий риск инсульта.
Есть много симптомов и признаков болезни. В принципе, уменьшается количество зубной эмали, устраняется висящий аппарат зуба и ослабляется так называемое гингиводентальное закрытие (структура, которая надежно удерживает зуб в исходном положении).

Десневой канал, пространство вокруг зуба между ним и десной, которое всегда присутствует и полностью физиологично, начинает расширяться в патологический ствол пародонта. Здесь разрастается эпителий и приподнимаются десны, поэтому ствол пародонта увеличивается по мере прогрессирования заболевания. В эти области неизбежно попадают остатки пищи, в которых размножаются вредные бактерии, все это поддерживает воспаление пародонта - области вокруг зуба - зуба, воспаление десны, что усиливает все упомянутые процессы, образуя порочный круг.

Висячий аппарат зуба разрушается, эмаль истончается, а прилегающая кость рассасывается, что приводит к обнажению шейки зуба (которая обычно не видна) и к шатанию с потерей зуба.
Гингивит и пародонтит в целом проявляются покраснением и отеком структур, десны имеют свойство кровоточить (тяжесть кровотечения от самой маленькой стадии, когда десны кровоточат после чистки зубов, до стадии, когда они кровоточат самопроизвольно).

Во время воспаления пародонта и особенно апикального пространства может возникнуть так называемый ретроградный пульпит, то есть воспаление пульпы зуба, когда бактерии распространяются через корневую систему зуба. К тому же воспаление костного мозга очень болезненно. В основном они появляются ночью, когда в головной части тела больше крови. Еще один симптом, который может беспокоить пациента и его окружение, - это неприятный запах изо рта.

Записывайтесь на лечение в стоматологию Аполлония Дентал клиник.