Добавить в корзинуПозвонить
Найти в Дзене

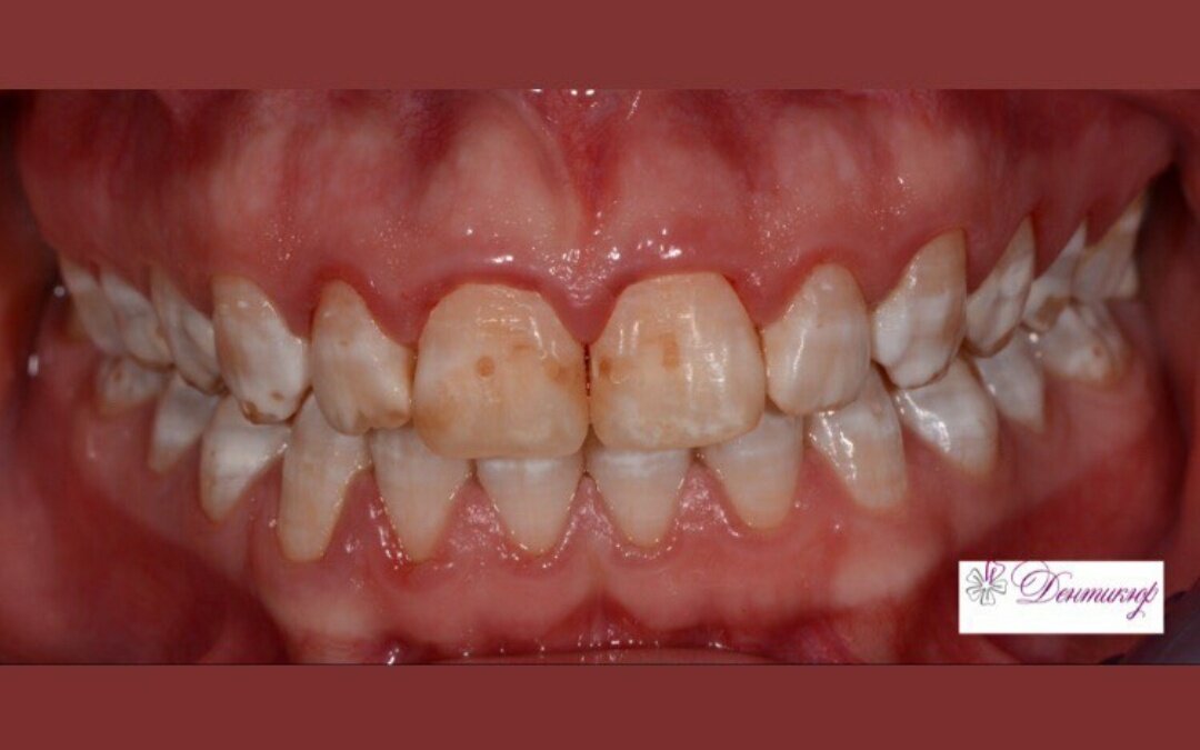
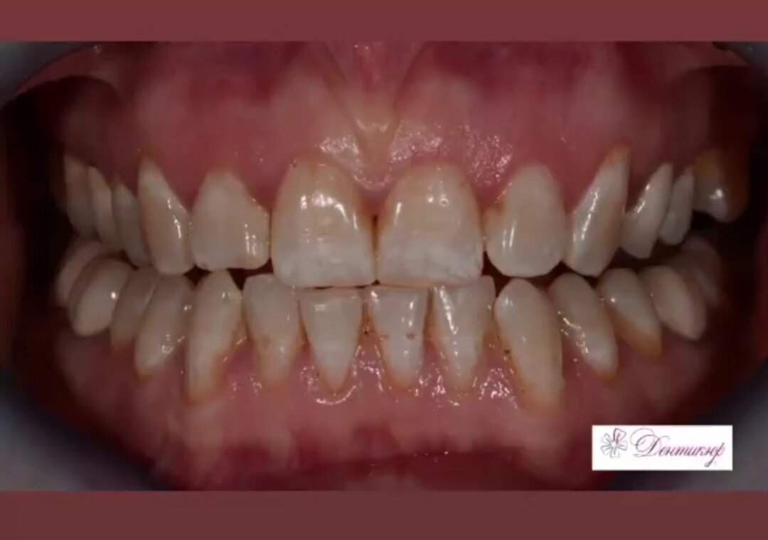
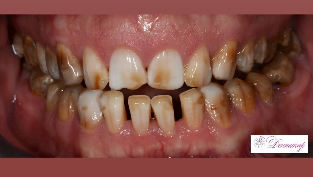
Признаки флюороза

Флюороз возникает на фоне переизбытка в организме соединений фтора, которые поступают из окружающей среды (в основном, воды) в вашем регионе проживания. Флюорозу могут быть подвержены взрослые и дети, люди с хроническими заболеваниями и сниженным иммунитетом. В зависимости от формы заболевания, степень поражения зубов может отличаться. Но к основным признакам флюороза относятся: Клиника "Дентикюр" специализируется на лечении флюороза. На консультации наш специалист определит форму и степень заболевания и сформирует четкий план лечения. Позвоните и запишитесь на консультацию!

Флюороз возникает на фоне переизбытка в организме соединений фтора, которые поступают из окружающей среды (в основном, воды) в вашем регионе проживания.

Флюорозу могут быть подвержены взрослые и дети, люди с хроническими заболеваниями и сниженным иммунитетом.

В зависимости от формы заболевания, степень поражения зубов может отличаться. Но к основным признакам флюороза относятся:

  • Пятна или характерные полосы на зубах (белые, желтоватые, коричневые), в ряде случаев - матовый оттенок эмали
  • Повреждения и дефекты (истирание, ямки) эмали
  • Хрупкие, склонные к разрушению зубы
  • Повышенная чувствительность

Клиника "Дентикюр" специализируется на лечении флюороза. На консультации наш специалист определит форму и степень заболевания и сформирует четкий план лечения.

Позвоните и запишитесь на консультацию!

  • Санкт-Петербург, ул. Чапаева, д.15 лит.Ж, тел. +7(911)7023311
  • Саранск, ул. Республиканская, д. 24, тел. +7 (937) 511-13-23