Добавить в корзинуПозвонить
Найти в Дзене

Почему у звезд всегда «унитазные» виниры?

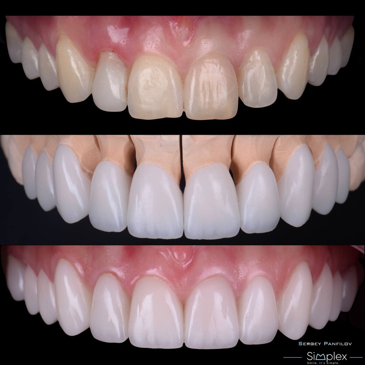
Почему же никто не делает натуральные улыбки? Зачастую слышу это мнение. Вы, думаю, тоже. А, может, о натуральных работах у звезд мало кто знает, потому что их от натуральных и не отличить? Да и обладатели таких улыбок, как правило, не спешат кричать на каждом углу о том, что они им достались не от природы. Как мы видим хорошую керамическую реставрацию? В нашем портфолио есть работы и с очень публичными личностями, но их изменившиеся улыбки в медиа пространстве не обсуждают. Как раз по причинам, которые описала выше. Керамика может выглядеть живо и естественно только тогда, когда ее автор, дентальный техник – это по-настоящему талантливый мастер: •Естественно-неровный прозрачный режущий край; •Пропорции, размеры, характер уголков реставраций; •Глубинные слои мамелонов; •Микрорельеф и выраженная текстура. Все эти малозаметные детали важны и вместе они создают ту самую ГАРМОНИЮ улыбки. А всем же очевидно, что пациент приходит не за винирами, а за УЛЫБКОЙ! На фото – индивидуальная керамик

Почему же никто не делает натуральные улыбки? Зачастую слышу это мнение. Вы, думаю, тоже.

А, может, о натуральных работах у звезд мало кто знает, потому что их от натуральных и не отличить? Да и обладатели таких улыбок, как правило, не спешат кричать на каждом углу о том, что они им достались не от природы.

Примеры керамических реставраций
Примеры керамических реставраций

Как мы видим хорошую керамическую реставрацию?

В нашем портфолио есть работы и с очень публичными личностями, но их изменившиеся улыбки в медиа пространстве не обсуждают. Как раз по причинам, которые описала выше.

-2

Керамика может выглядеть живо и естественно только тогда, когда ее автор, дентальный техник – это по-настоящему талантливый мастер:

•Естественно-неровный прозрачный режущий край;

•Пропорции, размеры, характер уголков реставраций;

•Глубинные слои мамелонов;

•Микрорельеф и выраженная текстура.

-3

Все эти малозаметные детали важны и вместе они создают ту самую ГАРМОНИЮ улыбки. А всем же очевидно, что пациент приходит не за винирами, а за УЛЫБКОЙ!

На фото – индивидуальная керамика от нашей зуботехнической лаборатории #simplexlab и доктора Панфилова.

Индивидуальная керамика от  зуботехнической лаборатории Simplexlab
Индивидуальная керамика от зуботехнической лаборатории Simplexlab

Горжусь!

С заботой о вас, #докторПерепеченкова

#Simplexclinic #стоматология #виниры #керамика #керамическиевиниры #реставрация #зубнойтехник