Добавить в корзинуПозвонить
Найти в Дзене
У меня интересно

Мужчина страдал от икоты целых 4 месяца. Ученые объяснили, в чем дело

Интересным случаем поделились врачи из Индии: к ним обратился 30-летний мужчина, который две недели страдал от сильнейшей головной боли, а также не мог перестать икать целых четыре месяца... Мужчина из Индии в течение четырех месяцев страдал от икоты — он не мог ни есть, ни спать Что произошло Индийский врач Нагасубраманьям Вемпалли из Всеиндийского института медицинских наук опубликовал медицинский отчет — в нем он описал любопытный медицинский случай, с которым ему пришлось столкнуться. К нему за помощью обратился 30-летний мужчина, который четыре месяца страдал от непрекращающейся икоты, и никто не мог помочь ему избавиться от нее. Первое, что сделали врачи — направили пациента сдавать кровь на анализ, но исследования не показали никаких отклонений. Тогда было решено направить мужчину на компьютерную томографию. Результаты показали странную область в головном мозге мужчины, поэтому врачи отправили его на дополнительное МРТ-сканирование, чтобы определить происхождение неизвестного пя
Оглавление

Интересным случаем поделились врачи из Индии: к ним обратился 30-летний мужчина, который две недели страдал от сильнейшей головной боли, а также не мог перестать икать целых четыре месяца...

Мужчина из Индии в течение четырех месяцев страдал от икоты — он не мог ни есть, ни спать

Что произошло

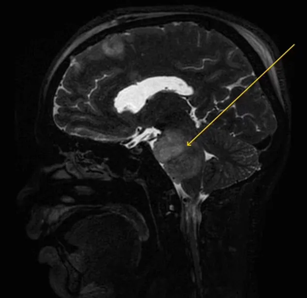
Индийский врач Нагасубраманьям Вемпалли из Всеиндийского института медицинских наук опубликовал медицинский отчет — в нем он описал любопытный медицинский случай, с которым ему пришлось столкнуться.

-2

К нему за помощью обратился 30-летний мужчина, который четыре месяца страдал от непрекращающейся икоты, и никто не мог помочь ему избавиться от нее. Первое, что сделали врачи — направили пациента сдавать кровь на анализ, но исследования не показали никаких отклонений. Тогда было решено направить мужчину на компьютерную томографию.

Результаты показали странную область в головном мозге мужчины, поэтому врачи отправили его на дополнительное МРТ-сканирование, чтобы определить происхождение неизвестного пятна.

Оказалось, что подсвеченная область в головном мозге является понтийской глиомой — это злокачественная опухоль, расположенная на стволе мозга. Из-за опасного расположения этот тип новообразования невозможно удалить хирургическим путем.

Чтобы облегчить симптомы, нейрохирурги провели операцию на мозге мужчины, чтобы нормализовать давление в черепе, которое было вызвано накоплением жидкости в мозге. А через восемь дней ему назначили курс лучевой терапии в попытке убить опухоль.

Удивительно, но четырехмесячная икота, из-за которой пациент не мог даже есть и спать начала исчезать после одного месяца лучевой терапии, отмечает доктор Нагасубраманьям Вемпалли. В медицинском отчете указано, что опухоль, скорее всего, влияла на часть ствола мозга, ответственную за контроль нервов и мышц, которые обычно вызывают реакцию икоты. При этом частая икота при раке головного мозга — частый симптом, однако специалистам еще не приходилось сталкиваться с таким длительным проявлением.

#индия #интересное #здоровье #наука #икота #болезни #медицина