Найти в Дзене

Лимфоузлы в брюшной полости

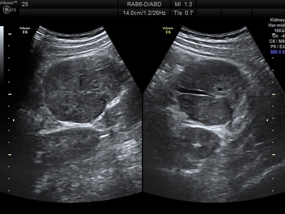
😷- Что то беспокоит? 😢- Доктор, у меня хронический пиелонефрит, видимо обострение. 👓Ок, будем посмотреть. Левая почка без особенностей, расположена внизу экрана. Селезёнка не изменена. 🌑А вот в верхней части видно образование округлой формы, сосудами по центру и воротами. При надавливании датчиком болезненно. Размером чуть больше 6см в диаметре. При смене положения подвижно, двигается с брыжейкой кишечника. Мезентериальная лимфоаденопатия. 🧫Чем оно вызвано? Варианты - инфекция и онкопроцесс, болезни крови хотя селезёнка спокойная, первым делом дообследование кишечника. #УЗД #УЗИ #sonography #ultrasound #пиелонефрит #лимфоузел

😷- Что то беспокоит?

😢- Доктор, у меня хронический пиелонефрит, видимо обострение.

👓Ок, будем посмотреть. Левая почка без особенностей, расположена внизу экрана. Селезёнка не изменена.

🌑А вот в верхней части видно образование округлой формы, сосудами по центру и воротами. При надавливании датчиком болезненно. Размером чуть больше 6см в диаметре. При смене положения подвижно, двигается с брыжейкой кишечника. Мезентериальная лимфоаденопатия.

🧫Чем оно вызвано? Варианты - инфекция и онкопроцесс, болезни крови хотя селезёнка спокойная, первым делом дообследование кишечника.

#УЗД #УЗИ #sonography #ultrasound #пиелонефрит #лимфоузел