Добавить в корзинуПозвонить
Найти в Дзене

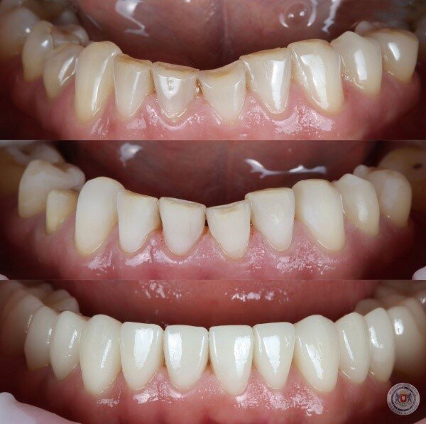
Виниры. Много ли обтачивать зубы? 8 часть.

Виниры. Много ли обтачивать зубы? 8 часть. Много ли нужно обтачивать зубы для установки виниров? Это один из наиболее часто задаваемых вопросов. Можно очень много рассказывать о том, что зубы обрабатываются незначительно. Но лучше один раз прочесть, чем сто раз услышать. Я специально поместил рядом 3 фото: На верхнем фото зубы до препарирования. На среднем зубы обработанные под виниры. На нижнем фото зубы с готовыми винирами. Глядя на эти 3 фото, расположенные рядом, Вы прекрасно поймёте, что для установки виниров обработка зубов, как правило очень незначительна. И конечно, что еще бросается в глаза, то что на верхнем и нижнем фото внешний вид зубов изменился очень сильно. Но иногда требуется значительная коррекция не только формы и цвета зубов, но и изменение высоты прикуса. Сильно ли обрабатываются зубы в этом случае? Совсем не сильно. Разницы практически нет. Для более полного восприятия мне бы хотелось показать Вам полностью пациента с лицом. Я раньше говорил, что лица пациентов я

Виниры. Много ли обтачивать зубы? 8 часть.

Много ли нужно обтачивать зубы для установки виниров?

Это один из наиболее часто задаваемых вопросов.

Можно очень много рассказывать о том, что зубы обрабатываются незначительно. Но лучше один раз прочесть, чем сто раз услышать.

-2

Я специально поместил рядом 3 фото:

На верхнем фото зубы до препарирования.

На среднем зубы обработанные под виниры.

На нижнем фото зубы с готовыми винирами.

Глядя на эти 3 фото, расположенные рядом, Вы прекрасно поймёте, что для установки виниров обработка зубов, как правило очень незначительна.

И конечно, что еще бросается в глаза, то что на верхнем и нижнем фото внешний вид зубов изменился очень сильно.

Но иногда требуется значительная коррекция не только формы и цвета зубов, но и изменение высоты прикуса.

Сильно ли обрабатываются зубы в этом случае?

Совсем не сильно.

Разницы практически нет.

Для более полного восприятия мне бы хотелось показать Вам полностью пациента с лицом.

Я раньше говорил, что лица пациентов я обычно не показываю.

Мало кто хочет показывать свои зубы до установки виниров.

Один пациент мне как то шутя сказал: пускай все думают, что мне повезло и я красивый родился.

Я подумал, что же делать?

И придумал.

-3

Я покажу на себе.

То есть покажу насколько были обработаны именно мои зубы для установки виниров.

У меня как раз случай, когда меняли и форму, и цвет и размер зубов.

И ооочень сильно завысили прикус.

Вот здесь это очень хорошо видно:

-4

Вот вы видите то, что было изначально.

Наверное, если бы я был просто посторонний пациент, а не врач стоматолог, то я бы наверное тоже не захотел, что бы мои не красивые зубы, до установки виниров кто то видел.

Вот обработанные верхние зубы.

-5

Как вы видите обработка минимальная.

Мне кажется, что они после обработки даже стали чуть красивее, чем были до этого.

На нижних зубах, как вы видите уже стоят виниры.

Вот вы видите примерку виниров:

-6

Я специально показал Вам примерку, что бы было наглядно видно насколько значительно был изменен размер зубов и соответственно высота прикуса.

Причем напомню, обработка зубов при этом минимальная.

Вот полностью обработанные готовые зубы за 5 минут перед самой установкой виниров:

-7

И наконец то Вы видите готовые, только что установленные виниры:

-8

Как Вы видите разница огромная:

-9

Перед Вами абсолютно другой человек:

-10

Причем изменилась не только улыбка.

За счет увеличения высоты прикуса поменялось все лицо.

Из старого дедушки, я стал еще ни чего себе мужчиной.

И заметьте обработка зубов была при этом минимальна.

Конечно каждый случай индивидуален.

И в одном случае, для создания красивой улыбки надо будет обработать зубы чуть сильнее.

В другом случае можно обойтись минимальной обработкой.

Кстати бывают случаи, когда у одного пациента одни зубы обрабатываются сильнее, а другие незначительно.

Но то, что я Вам сегодня показал даст представление о том, как примерно будут обработаны Ваши зубы, если Вы соберетесь ставить себе  виниры.

А показав пациента полностью с лицом, я показал Вам, насколько значительно изменитесь Вы после установки виниров.