Найти в Дзене

Как самому понять, правильно ли поставлена пломба? Сколько времени может прослужить пломба? Как понять, пора ли менять пломбу?

Бывает, что при лечении зубов врачи иногда не обращают внимания на противоположную челюсть и проводят пломбирование без устранения такой неровности. Пациенту проведенное лечение чаще всего не причиняет неудобств, но и польза от него сомнительна. Вам может ничего не мешать при смыкании зубов (постукивании), но   во время жевания такие неправильно расположенные зубы вызывают необходимость у мышц и нижнечелюстного сустава отклоняться в сторону от своего обычного движения. При этом могут незаметно для Вас травмироваться и затем расшатываться другие зубы, появиться болезненность в суставе и многие другие сложно поддающиеся лечению заболевания. Для того чтобы этого не произошло, хороший специалист не ограничится осмотром только того зуба, который Вас беспокоит, но проведет оценку смыкания всех зубов, прикуса, работы сустава. Иногда, и это очень хорошо, врач предложит получить с Ваших зубных рядов слепки и изготовить гипсовые модели (рис. 3.7), с использованием которых объяснит, что происход

Бывает, что при лечении зубов врачи иногда не обращают внимания на противоположную челюсть и проводят пломбирование без устранения такой неровности. Пациенту проведенное лечение чаще всего не причиняет неудобств, но и польза от него сомнительна.

Вам может ничего не мешать при смыкании зубов (постукивании), но   во время жевания такие неправильно расположенные зубы вызывают необходимость у мышц и нижнечелюстного сустава отклоняться в сторону от своего обычного движения. При этом могут незаметно для Вас травмироваться и затем расшатываться другие зубы, появиться болезненность в суставе и многие другие сложно поддающиеся лечению заболевания.

Для того чтобы этого не произошло, хороший специалист не ограничится осмотром только того зуба, который Вас беспокоит, но проведет оценку смыкания всех зубов, прикуса, работы сустава.

Иногда, и это очень хорошо, врач предложит получить с Ваших зубных рядов слепки и изготовить гипсовые модели (рис. 3.7), с использованием которых объяснит, что происходит с зубами и как правильно подойти к их лечению.

Рис. 3.7. При постановке пломбы не лишним будет оценить смыкание зубов в различных положениях, а иногда с анализом гипсовых моделей зубных рядов в специальных устройствах.

Таким образом, даже постановка одной пломбы может потребовать весьма значительное время. Но самое главное, чтобы врач при лечении не пытался поставить «заплатку» на зуб, а подошел к решению Вашей проблемы с использованием тех знаний, которые он получил при своем обучении в вузе.

Сколько времени может прослужить пломба?

Это зависит от многих причин: пломбировочного материала, степени разрушения зуба, его состояния (живой или неживой), характера пищи, уровня личной гигиены и многого другого.

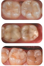
Тем не менее, средний срок службы пломбы из светоотверждаемых материалов около 3-5 лет. Затем необходима ее поправка или переделка, что чаще всего приходится делать из-за того, что края пломбы истираются (рис. 3.8) и на границе «пломба – зуб» возникает щель, в которую начинают попадать остатки пищи, микроорганизмы, разрушающие зуб еще больше.

Вы самостоятельно можете это обнаружить: скол пломбы, потемнение зуба, темная щель между ним и пломбой. Не стоит дожидаться, когда появится боль, а следует как можно быстрее обратиться за помощью.

При своевременной коррекции и замене пломбы в живых зубах могут стоять достаточно долго, но бывают ситуации, когда Пломбы пора менять, даже в живом зубе лучше применить другой метод восстановления, изготовить вкладку, накладку или даже коронку. Это необходимо в тех случаях, когда зуб разрушен значительно и существует риск того, что пломба будет часто выпадать, или может произойти откол стенки зуба (рис. 3.9).

-2

Рис. 3.8. Пломбы, нуждающиеся в замене по причине наличия щели между пломбой и стенками зуба, неправильной моделировки поверхности, откола части зуба на границе с пломбой. Если у Вас во рту есть похожие зубы с пломбами, Вам пора посетить стоматолога.

-3

Рис. 3.9. Внешний вид пломб, которые необходимо переделать на вкладку или коронку

Вкладка или накладка являются альтернативой пломбе.

Основное их отличие от пломбы в том, что они изготавливаются за пределами полости рта по оттиску или скану, полученному с Ваших зубов.