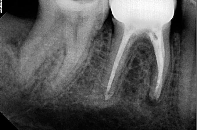
Всем привет. Я зубной техник и историю, которую сейчас расскажу, услышал от моего товарища стоматолога-хирурга. Случай из неотложки. Мой товарищ работает в областной стоматологической поликлинике и по неотложке оказывает помощь пациентам. И вот в одно из дежурств к нему приезжает пациент с сильной зубной болью и повышенной температурой. От себя скажу, что работа в неотложке - это тот еще стресс и напряжение, поскольку, во-первых пациентов бывает настолько много, что даже не продохнуть, а иной раз попадают настолько сложные пациенты, к которым нужно подходить очень основательно с заблаговременным планированием операции. Так вот, на оказание неотложной помощи к нему обратился пациент. Из жалоб были сильные боли зуба, которые длились порядка двух недель, но он не обращался за помощью, так как было некогда, да и стоматологов он ну очень уж боится. При осмотре пациента стоматолог-хирург заметил сильное воспаление и отек в шейном отделе. Достаточно широко рот открыть пациент не смог. И в
