Добавить в корзинуПозвонить
Найти в Дзене

Мы выращиваем зубы

Уверены, вы неоднократно слышали о клыках и других зубах, которые не выросли, а остались в десне. Ретенированные зубы. Часто на их месте в полости рта остаётся молочный зуб. Ретенированные зубы оказывают давление на соседние и провоцируют ряд проблем. Если воспаляются – пациент начинает испытывать сильную боль, давление в челюсти, в некоторых случаях онемение части лица. Что делать? Пытаться "вырастить" и поставить в нужное место. И у нас много таких кейсов, в которых удалось выполнить задуманное. Познакомиться с докторами ближе можно на нашем сайте.
Оглавление

Уверены, вы неоднократно слышали о клыках и других зубах, которые не выросли, а остались в десне.

Ретенированные зубы.

Часто на их месте в полости рта остаётся молочный зуб. Ретенированные зубы оказывают давление на соседние и провоцируют ряд проблем. Если воспаляются – пациент начинает испытывать сильную боль, давление в челюсти, в некоторых случаях онемение части лица.

Что делать?

Пытаться "вырастить" и поставить в нужное место. И у нас много таких кейсов, в которых удалось выполнить задуманное.

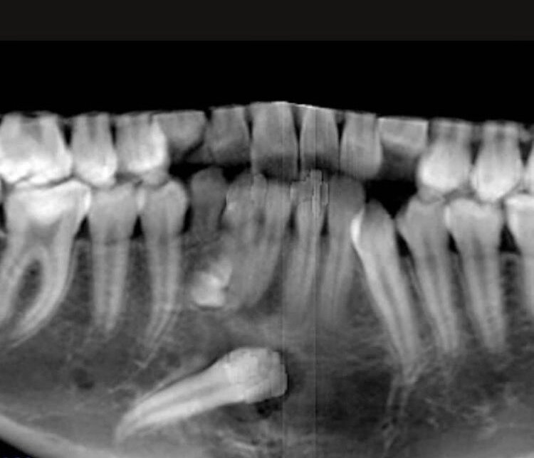
На фото кейс с клыком, который лежал в подбородке. Его «растили» наши доктора Дудина Ольга Александровна и Федосов Александр Викторович.
На фото кейс с клыком, который лежал в подбородке. Его «растили» наши доктора Дудина Ольга Александровна и Федосов Александр Викторович.

Познакомиться с докторами ближе можно на нашем сайте.

Ортодонт в данном случае без хирурга никуда! Коллегиальность, синхронность, немного удачи и доверие пациента обязательно приводят к успеху!
Ортодонт в данном случае без хирурга никуда! Коллегиальность, синхронность, немного удачи и доверие пациента обязательно приводят к успеху!